31岁/男,间断性左下腹疼痛10天。胰腺尾部占位,请慧诊---结果公布~
过去的时光难忘怀 达人已点赞病例信息
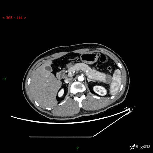
【患者信息】:31岁/男
【主诉】:间断性左下腹疼痛10天
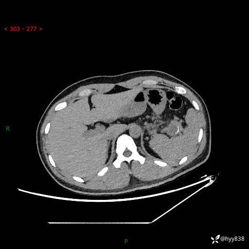
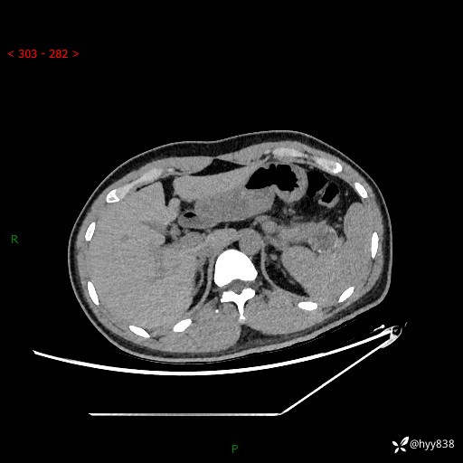
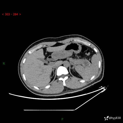
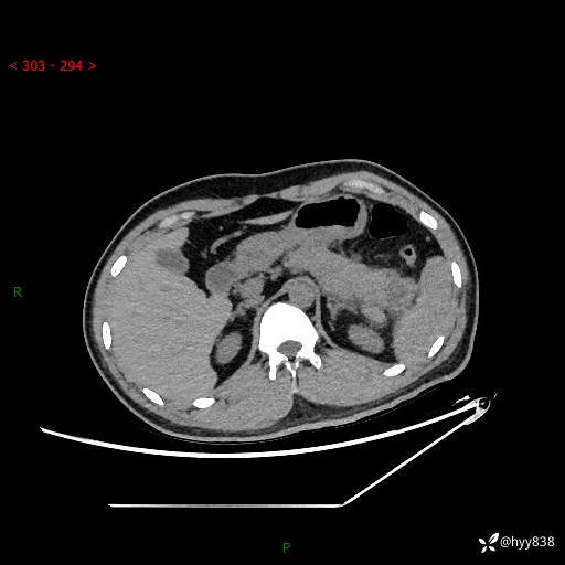
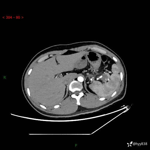
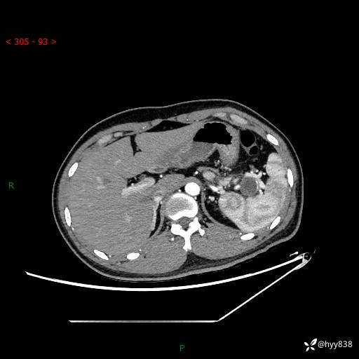
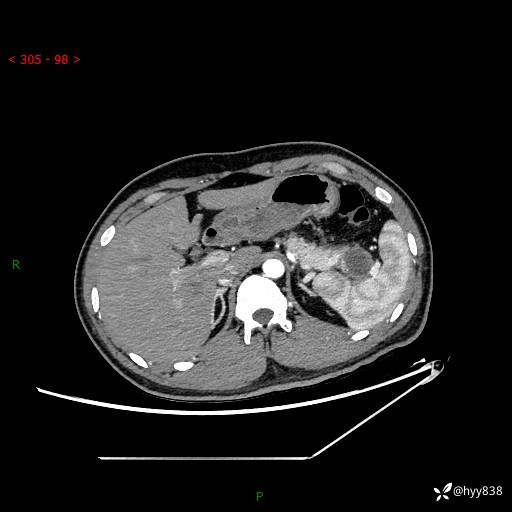
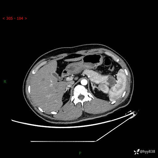
【现病史及既往史】: 患者10余天前无明显诱因出现左下腹部疼痛,呈间断性,无恶心,呕吐,无黄疸,腹泻症状,于当地医院就诊,行腹部C提示:胰腺尾部占位。2型糖尿病。现患者为求手术治疗,门诊以“胰腺肿物”收入院。 患者起病来,一般情况可,大小便正常,体重体力未见明显减轻。
【检查】:胰腺CT平扫+增强





















【临床诊断】:
【治疗经过及结果】:















































