【心胸】特别精彩病例|口干、眼干、牙齿片状脱落10年,无双侧腮腺肿大
病例信息
【患者信息】:女,49岁
【主诉】:口干、眼干、牙齿片状脱落10年,无双侧腮腺肿大
【现病史及既往史】:活动后气促半年,近一个月气促加重伴发热,体温最高达39℃
【检查】:
查体:颈部淋巴结可触及肿大,舌面干燥,双肺呼吸音粗,双肺可闻及细小音
实验室检查:血常规提示血沉72mm/h,CRP18.93mg/L;抗核抗体1:1601均质型,免疫球蛋白G17.53g/L↑,免疫球蛋白M0.29g/L↓,抗SSA阳性,癌抗原阴性,抗酸杆菌阴性
患者女,49岁主诉:现病史:
辅助检查:气管镜未见异常,病理提示右肺下叶基底段黏膜慢性炎性改变,镜检可见纤毛柱状上皮
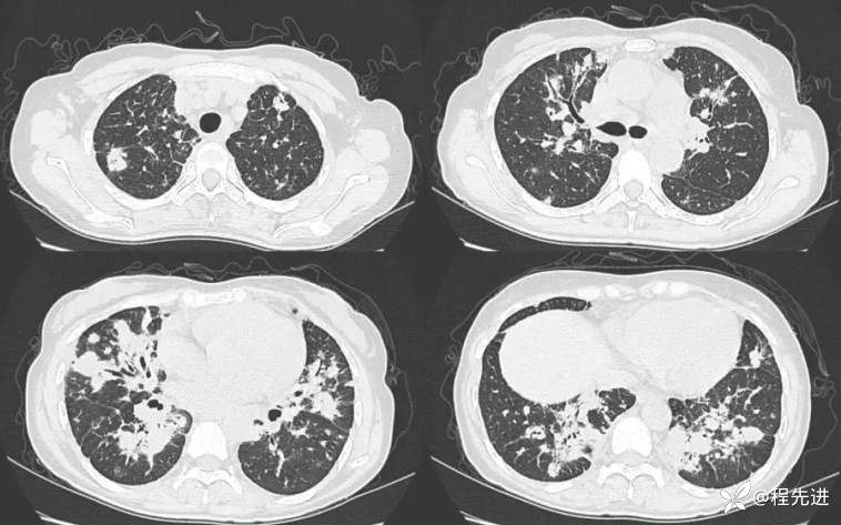
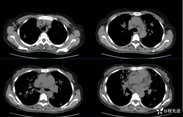
CT检查:


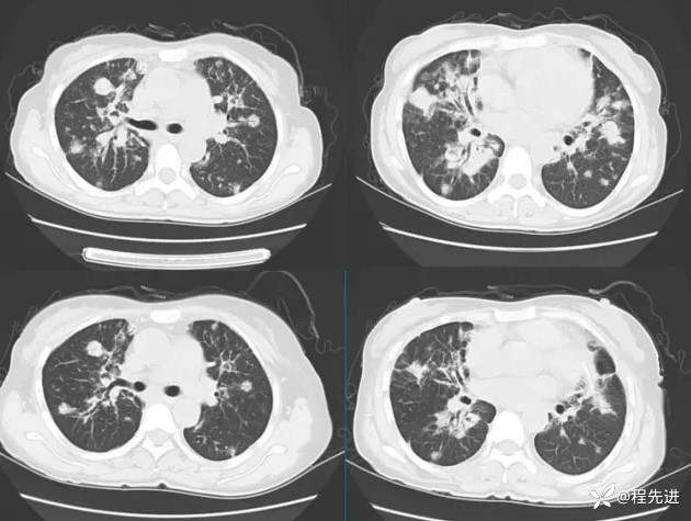
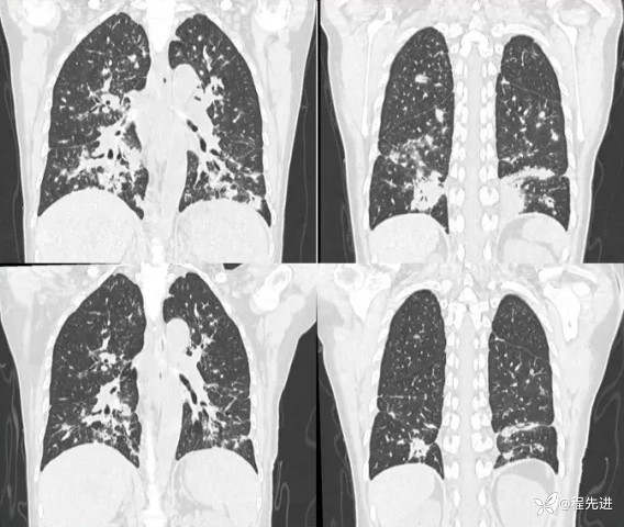
静滴激素、丙种球蛋白及环磷酰胺治疗26天后(上排治疗前,下排治疗后):

















































