腋下瘙痒性红色斑块,考虑是?
chshn_420 推荐70+岁男性,因右侧腋下出现瘙痒性皮疹就诊。体格检查发现右侧腋窝有界限清楚的红棕色斑块。该患者在经验性治疗失败后进行了病理活检。


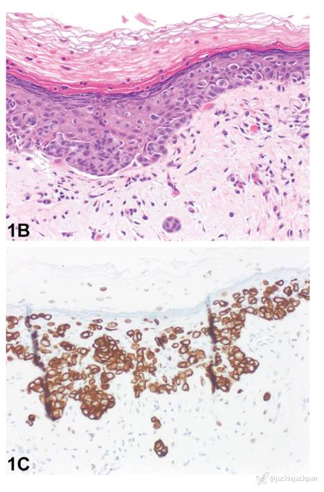
病理活检:表皮内原位癌伴有局灶性真皮侵犯。
免疫组化:在呈铅弹图案散布在整个表皮的大量上皮样细胞中,细胞角蛋白7(CK7)、CAM5.2 和CEA 染色呈阳性。CK5/6、p40和SOX10均为阴性。
Q1:最可能的诊断是?
A. 红癣
B. 刺激性接触性皮炎
C. 乳房外Paget病
D. 念珠菌性间擦疹
E. 反向银屑病
Q2:与该诊断可伴发的恶性肿瘤是?
A. 滤泡性甲状腺癌
B. 髓样血液恶液质
C. 甲状腺髓样癌
D. 乳腺癌
E. 髓母细胞瘤
Q3:进一步的检查发现病灶局限于皮肤且无其他潜在的恶性肿瘤,以下哪项是最合适的诊疗建议?
A. 放疗
B. 5-Fu乳膏
C. 手术切除(Mohs手术)
D. 咪喹莫特乳膏
E. 化疗
JAAD Case Reports 2024;52:52-4.
















































