年轻男性视力下降查因
farica 推荐病例信息
患者信息】:年轻男性30岁
【主诉】:左眼前黑点5天,无诉闪光感
【现病史及既往史】:无特殊,无全身病,中高度近视史
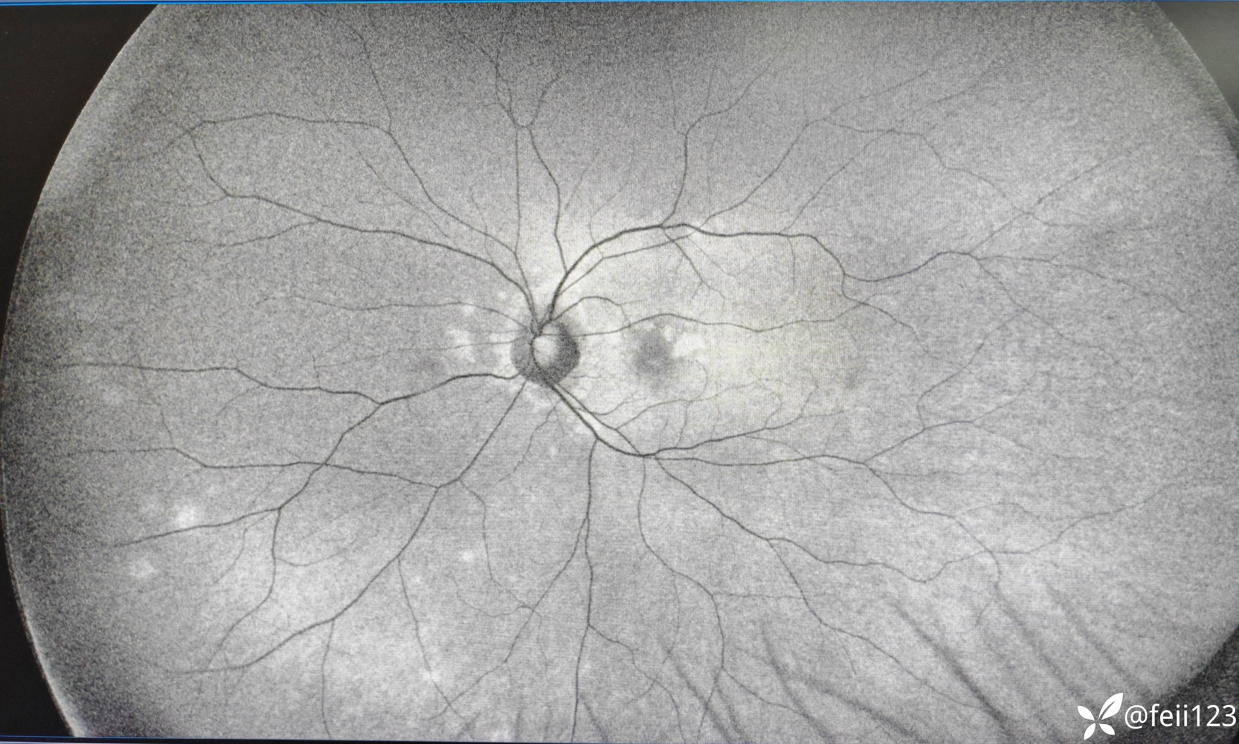
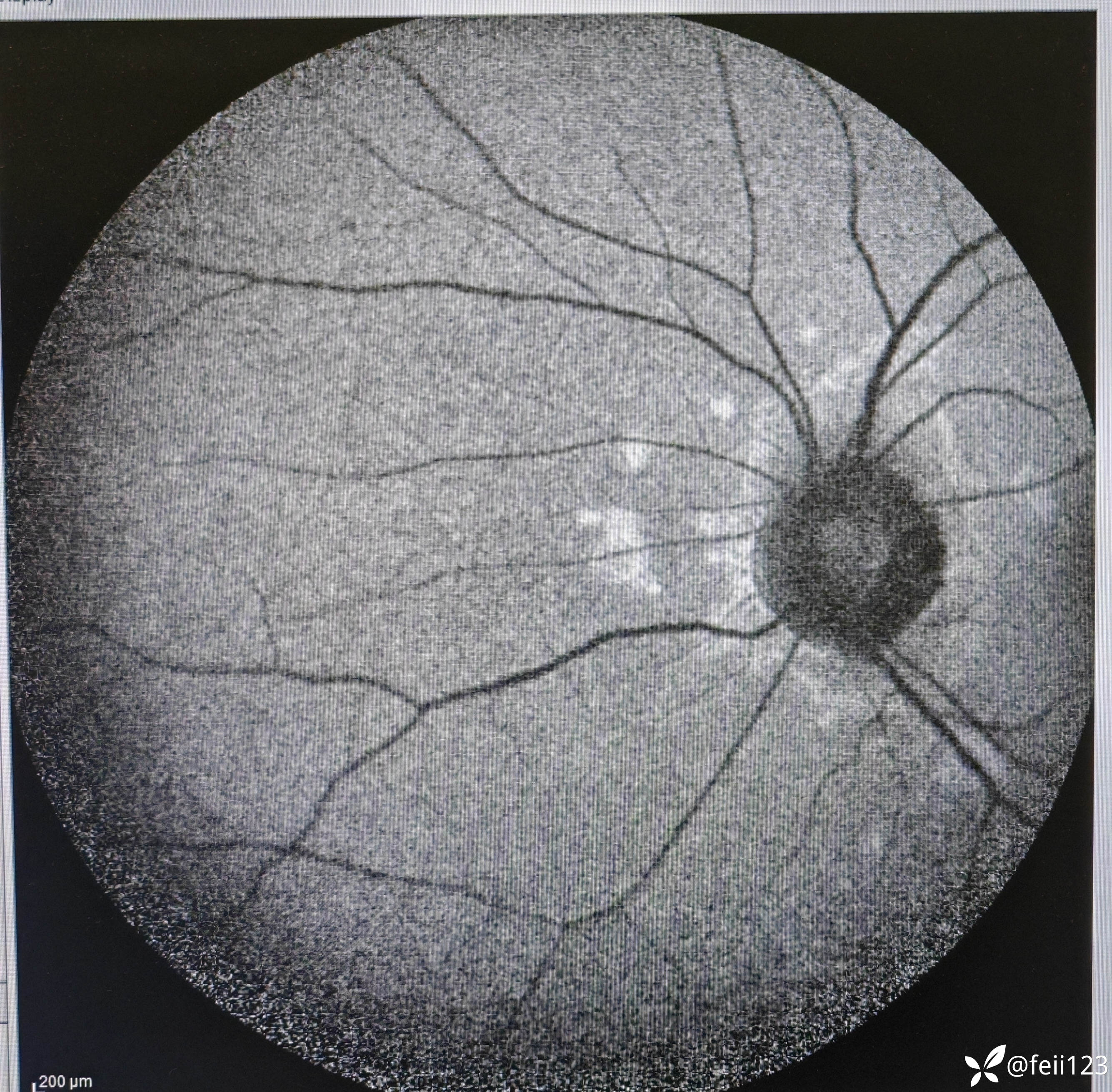
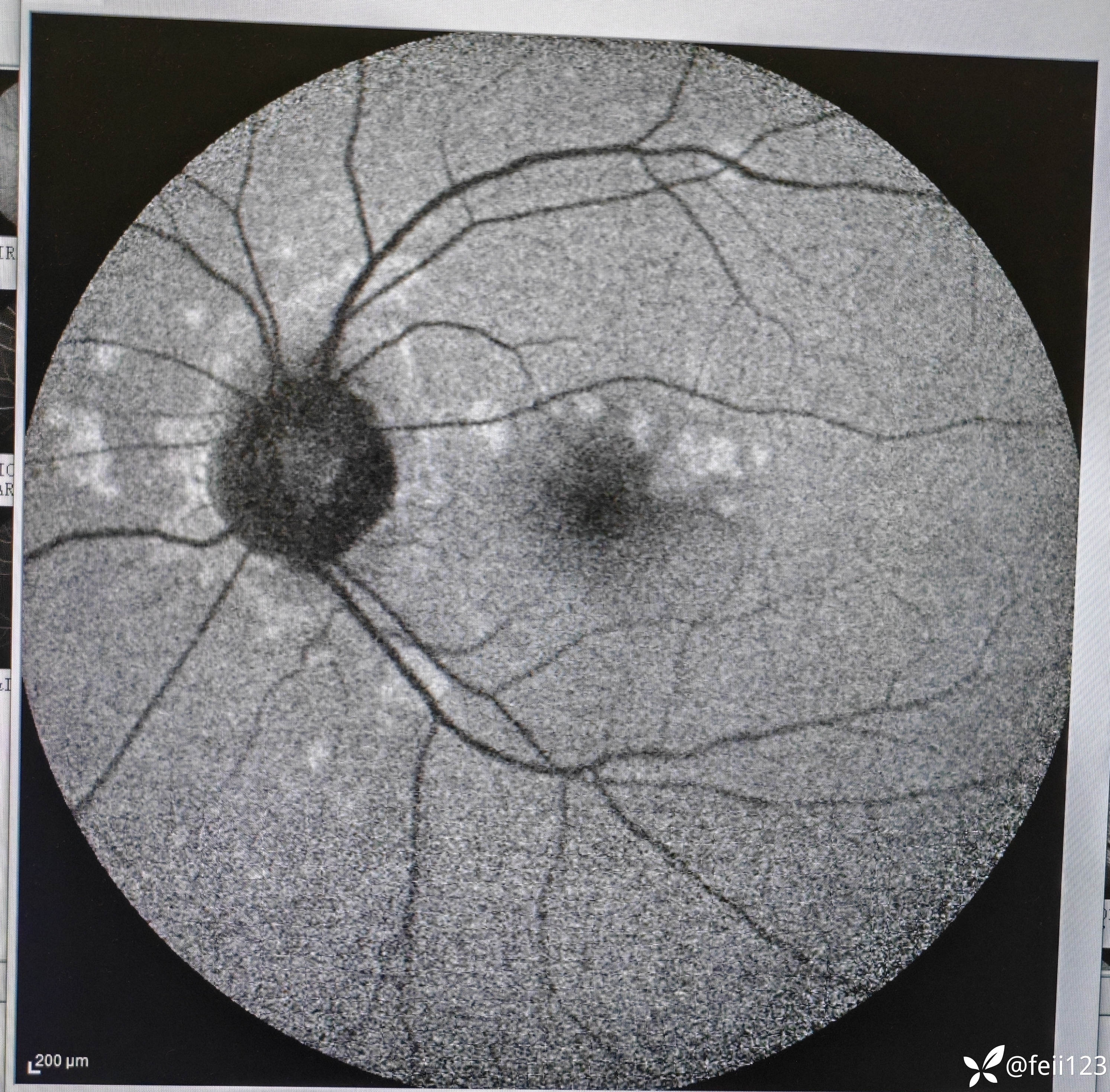
【检查】矫正视力右眼1.0左眼0.4,眼压正常15 16,眼前段未见异常,玻璃体清,眼底如图,左眼底可见后极部及鼻侧周边多个白点。
目前予激素口服治疗,未复查
总结与讨论
患者未完全确诊,想请教各位老师,这个患者的诊断,我考虑患者是白点综合症,但是AZOOR还是MEWDS还是其他比较有疑问,请大家指导




















farica 推荐病例信息
患者信息】:年轻男性30岁
【主诉】:左眼前黑点5天,无诉闪光感
【现病史及既往史】:无特殊,无全身病,中高度近视史
【检查】矫正视力右眼1.0左眼0.4,眼压正常15 16,眼前段未见异常,玻璃体清,眼底如图,左眼底可见后极部及鼻侧周边多个白点。
目前予激素口服治疗,未复查
总结与讨论
患者未完全确诊,想请教各位老师,这个患者的诊断,我考虑患者是白点综合症,但是AZOOR还是MEWDS还是其他比较有疑问,请大家指导




















