年轻人请珍惜生命
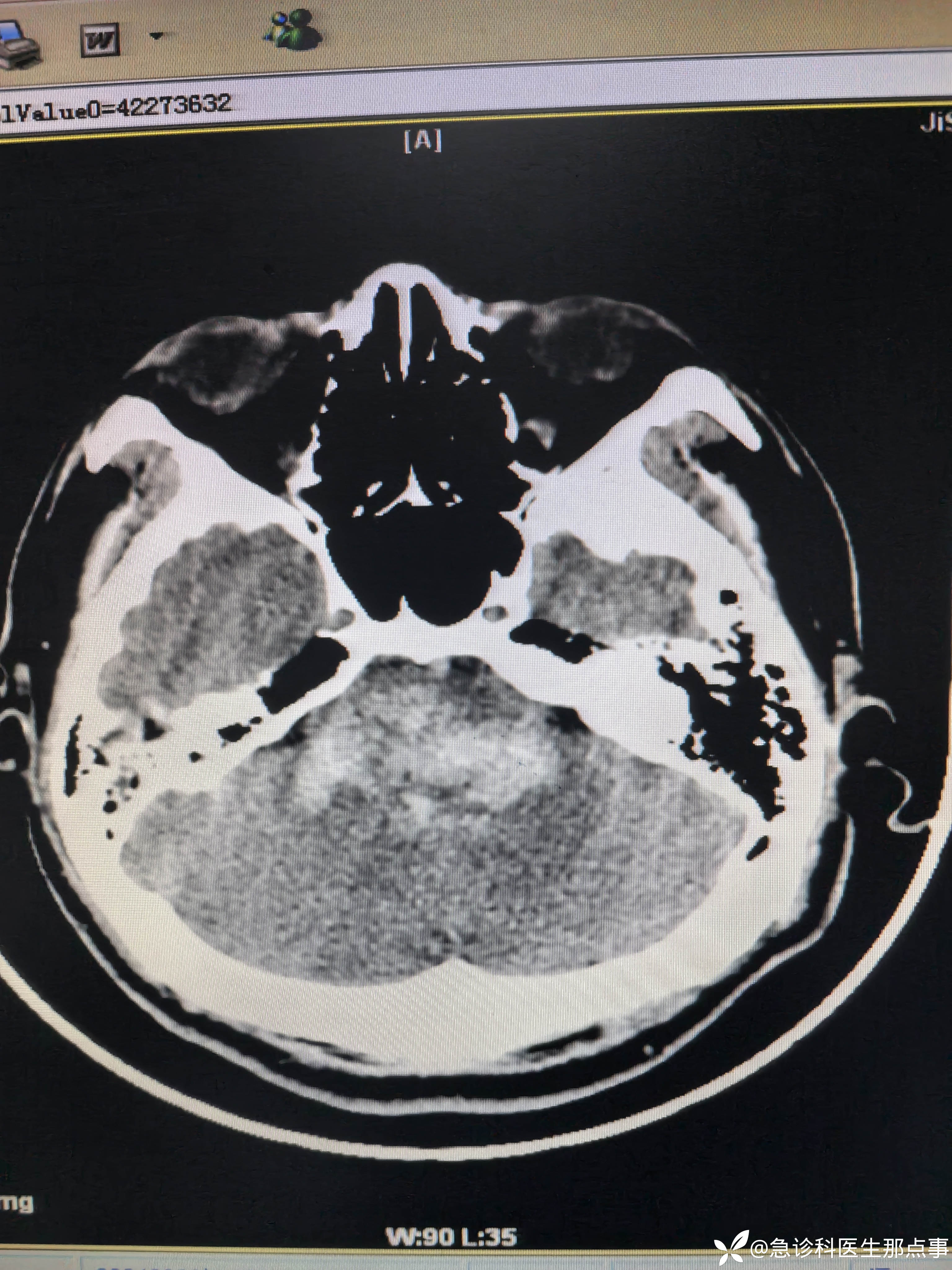
病例信息
【患者信息】:男,40岁
【主诉】:突发意识不清伴双下肢间歇性痉挛抽搐半小时。
【现病史及既往史】:高血压病,间断口服药物。
【检查】:血压235/114心率82指脉氧99%意识不清,口吐白沫,双下肢间歇性痉挛抽搐。




【临床诊断】:脑干出血
【治疗经过及结果】:监护,吸氧,甘露醇快速静滴。
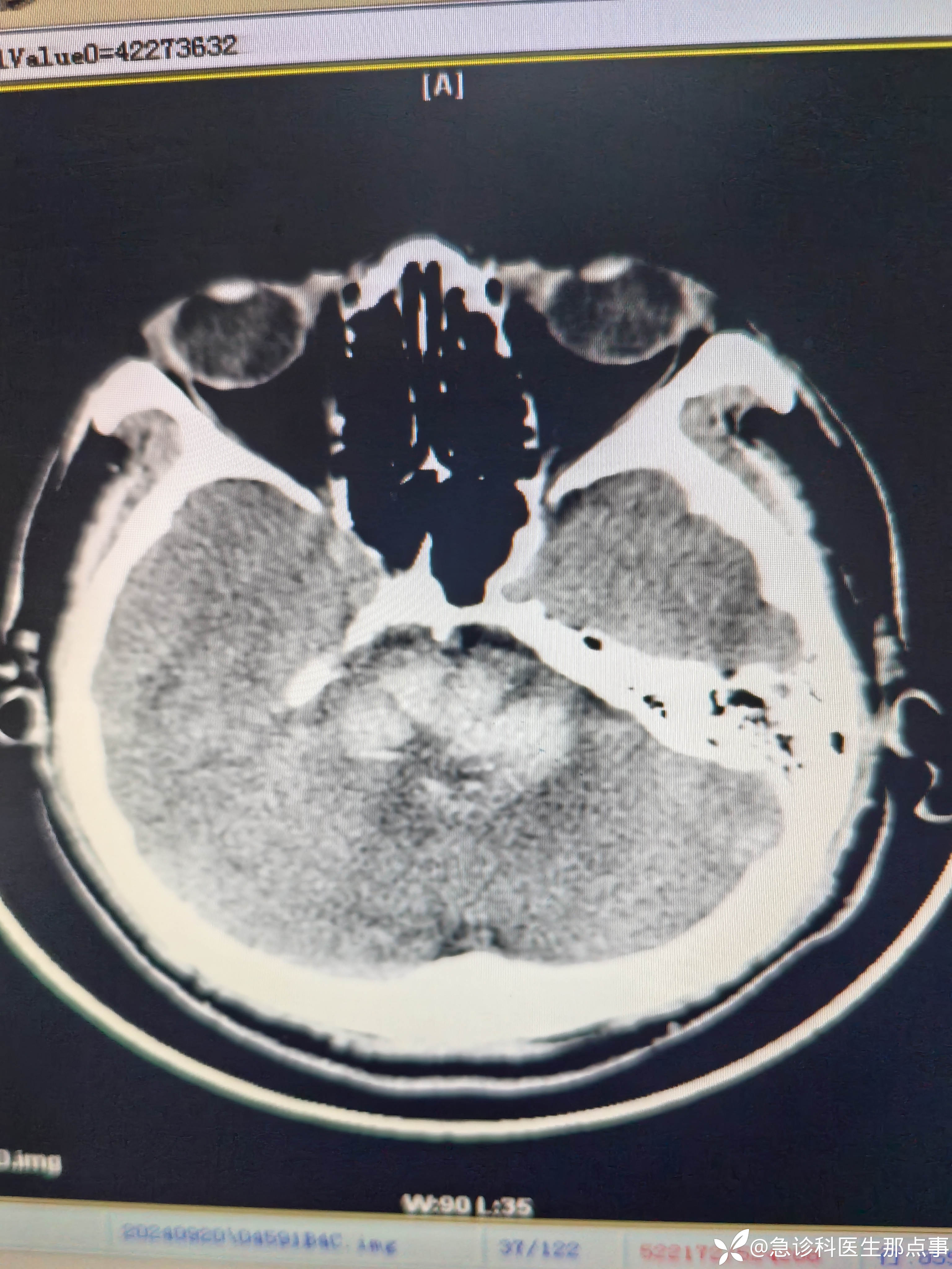
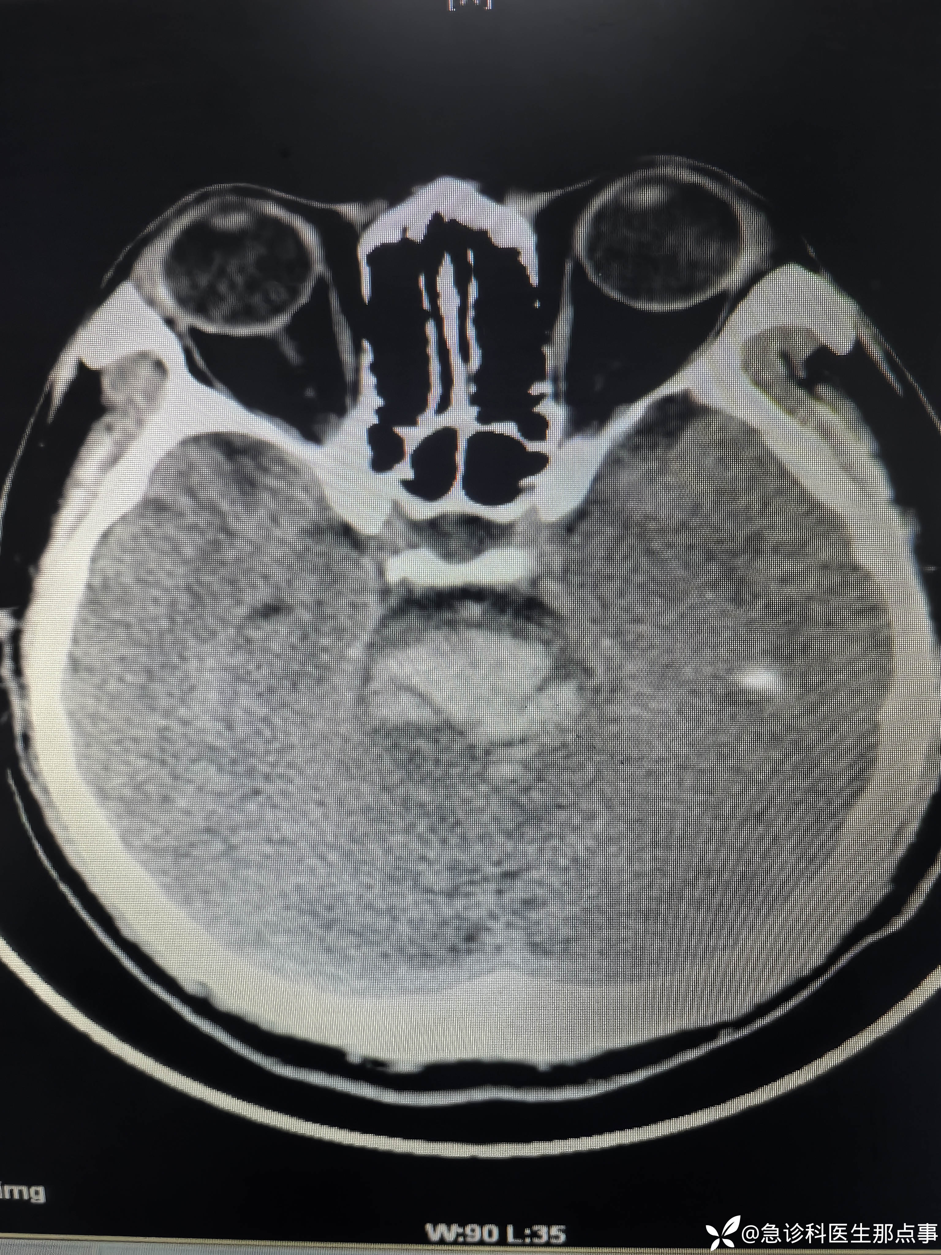
病例信息
【患者信息】:男,40岁
【主诉】:突发意识不清伴双下肢间歇性痉挛抽搐半小时。
【现病史及既往史】:高血压病,间断口服药物。
【检查】:血压235/114心率82指脉氧99%意识不清,口吐白沫,双下肢间歇性痉挛抽搐。




【临床诊断】:脑干出血
【治疗经过及结果】:监护,吸氧,甘露醇快速静滴。
