天塌的一天(根尖孔外器械分离)
患者青年男性
主诉:要求补牙
现病史:患者一年前于外院行口腔治疗,具体治疗项目不详,现自觉口内充填物脱落,来我科要求充填。
检查:14牙冠远中大面积缺失,窝洞内见粉红色充填物,拍摄根尖片如下

后续患者回忆起初诊医生让其复诊换药充填,但因个人原因未按时复诊,现决定于我科行后续治疗。
告知治疗所需时间、费用及相关并发症等,签署同意书,开始治疗。
计划14RCT+冠修复
处理:
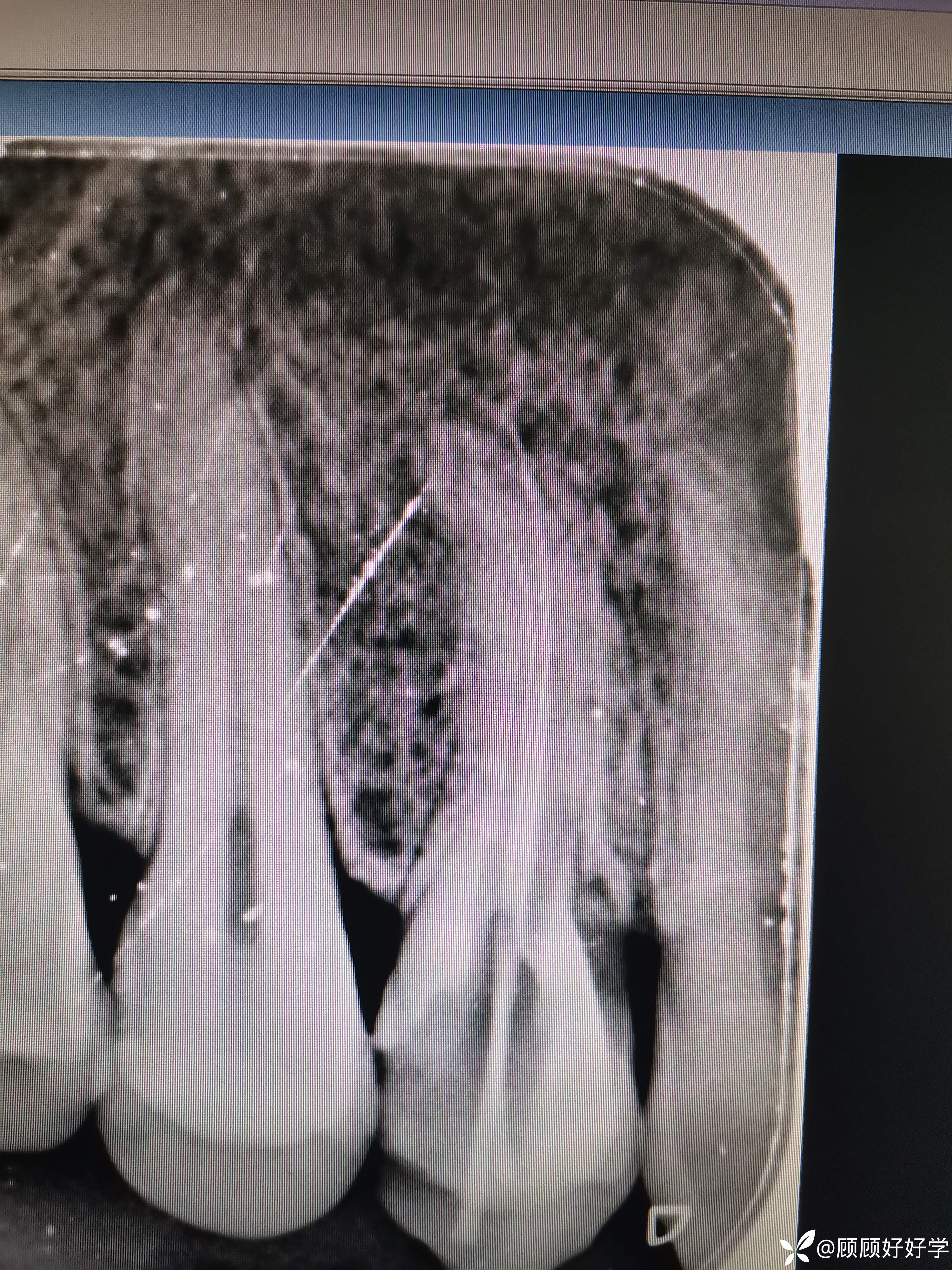
第一次:手扩锉08号K锉疏通颊根至工作长度0.0,记为20mm;10号K锉疏通困难,更换C锉,疏通至根测仪0.0 ,换回10K锉,到达根测仪0.0后取出,发现2mm左右锉尖消失,拍摄根尖片如下

出现器械分离,但10号锉及C锉均可至根测仪0.0,按照经验自觉已经建立旁路;腭根根中1/3下段不同;于是封药,常规医嘱后待下次复诊尝试取出分离器械及疏通腭根。
第二次(今天)
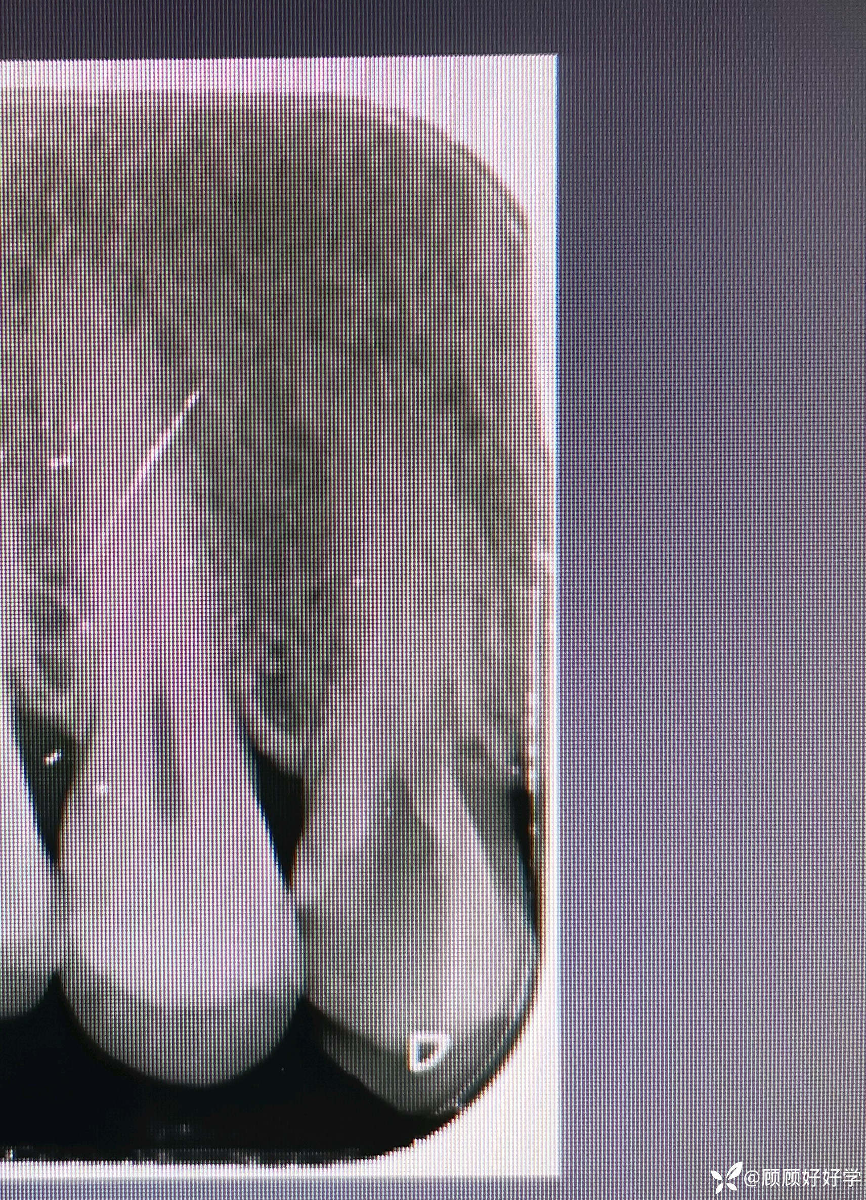
08号K锉进入颊根确定旁路,根测仪可至0.4,更换10号K锉、C型锉、15号H锉疏通均至0.2左右,测得数据22mm,机扩畅通锉反转,止动片21mm左右,期间生理盐水超声荡洗交替进行。再使用10K锉根测时可至0.0,且手感自觉根管内畅通,插诊拍摄根尖片检查如下


此时才发现将分离机械推出根尖孔
整个人都是后背一凉
腭根已疏通完毕,机扩至2004,现封药预约下次复诊。
后续:
与患者沟通,告知患者出现分离器械,观察封药期间是否出现异常状况。后续疼痛或出现脓肿拔除患牙,如保牙意愿强烈,可尝试根尖手术,但创伤较大。
患者决定观察
思考:
本来以为跟之前去分离器械一样,但没想到今天会出现推出去的状况。
避免的几个节点,第一个是出现器械分离后,因为该患者本身无明显症状,偶尔疼痛但可以接受,所以一开始就不要取出,充填后观察;第二个是在建立旁路时应该每更换一只锉都拍摄根尖片,当出现锉尖下移时及时停止;第三个是当时建立直线通路时,因拍摄的根尖片及口内观察所见,没有在完全直视分离器械的状态下操作,担心去除根管内牙本质过多而造成根裂,但无法直视应该提醒自己不要盲目操作,而不是自觉有了几次取出经验而盲目进行;第四个是在第一次插诊断丝拍摄根尖片时,在发现根尖孔外高密度影是,自认为是诊断丝超出,判定旁路已经建立,可以继续操作,但当时应该就已经出现分离器械滑出根尖孔,应该再拍摄无诊断丝的根尖片,两者对比判断下一步操作;第五个,当发现根管难以疏通时,统一更换新锉,不要心存侥幸继续使用科内未计数看起来还算完好的锉。
现在思考是否出现侧穿,以及后续应该如何处理超出根尖孔外的分离器械。
焦虑
















































