论仔细退镜的重要性
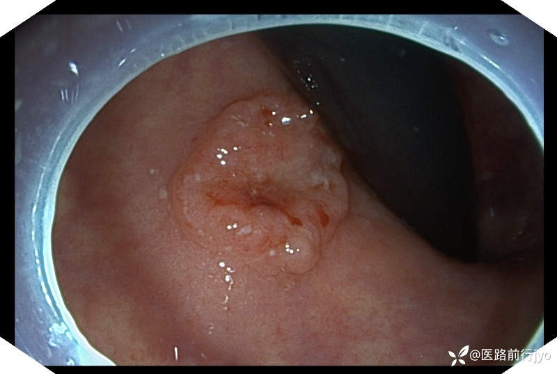
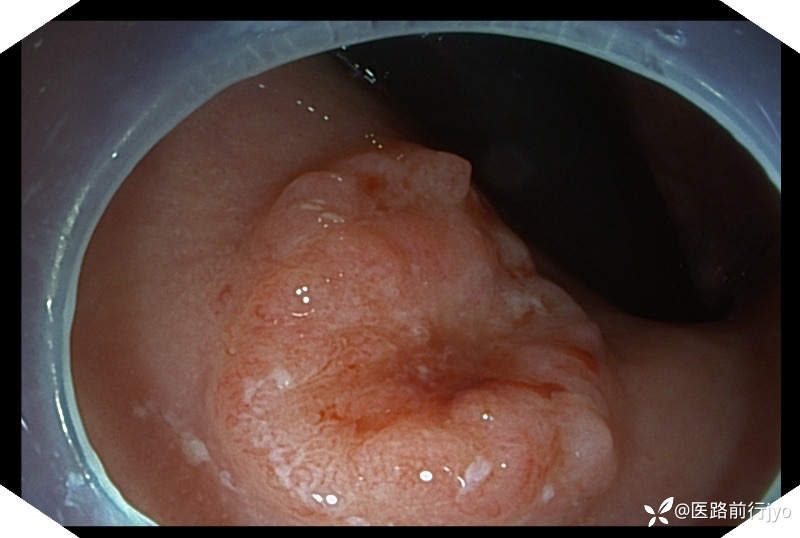
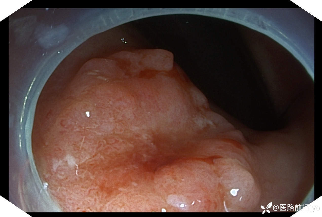
今日上午一例肠镜:患者 女 67岁 患者肠道清洁好,乙状结肠仅发现1枚小息肉,本准备退镜收工,退镜到肛门口突然看到一隆起性小片粘膜,立即倒镜观察考虑直肠早期癌变,距肛周约1cm的大小约1.6cmx1.3cm椭圆形欠规则隆起,中央凹陷伴自发性出血,活捡5块,质脆,易出血。考虑诊断:直肠粘膜不规则(11a+11c)隆起(考虑直肠癌可能)






追踪病理
今日上午一例肠镜:患者 女 67岁 患者肠道清洁好,乙状结肠仅发现1枚小息肉,本准备退镜收工,退镜到肛门口突然看到一隆起性小片粘膜,立即倒镜观察考虑直肠早期癌变,距肛周约1cm的大小约1.6cmx1.3cm椭圆形欠规则隆起,中央凹陷伴自发性出血,活捡5块,质脆,易出血。考虑诊断:直肠粘膜不规则(11a+11c)隆起(考虑直肠癌可能)






追踪病理
