持续高热40℃以上,病因何在?

患者,男,78岁,因“咳嗽、咳痰1月伴畏寒、发热1天”入院。
一、 病例特点:
1、现病史:患者本人及家属(儿子)共诉:近1月来无明显诱因出现咳嗽、咳痰,呈阵发性咳嗽,为白色粘稠样痰,量少,不易咳出,无痰中带血,于1天前出现畏寒、发热,具体体温未测,无寒战、盗汗,偶感头痛、头昏,无视物旋转、黑朦,感全身乏力明显,无心悸、胸闷、胸痛、呼吸困难,无咽痛、鼻塞、流涕,时感腹痛,无腹泻、恶心、呕吐等症状,病后曾到私人诊所行输液治疗3天,感上述症状无明显缓解,为求进一步系统诊治,于今日到我院就诊,门诊以“社区获得性肺炎,非重症?发热?”收住入院,病程中患者精神、饮食、睡眠欠佳,大小便如常,体重变化不详。
2、既往史:自诉有“胰腺炎”病史14年余,曾行相关手术,术后规律服用药物治疗(具体用药及剂量不详);否认“高血压、糖尿病、心脏病、脑梗塞”等病史,否认肝炎、结核、疟疾等传染病史,对“青霉素、头孢、地塞米松磷酸钠”药物过敏史,否认食物过敏史,否认重大外伤史及输血史,预防接种史不详。
3、体格检查:T:40℃,P:108次/分,R:21次/分,BP:138/87mmHg,血氧饱和度:96%(未吸氧状态下),患者一般情况欠佳,发育正常,营养中等,自动体位,推入病房,神志清楚,对答切题,查体合作。全身淋巴结未触及肿大,头颅五官外形无畸形,双侧瞳孔等大等圆,对光反射灵敏。咽部无充血,颈软,对称,无强直。胸廓发育正常无畸形,双肺呼吸音粗,未闻及干湿性啰音。心率108次/分,节律齐,未闻及早搏,各瓣膜听诊区未闻及病理性杂音。腹部平坦,全腹轻压痛,剑突下压痛明显,无反跳痛及肌紧张,移动性浊音阴性,肝区及肾区无叩痛。双下肢无浮肿,脊柱四肢无畸形,生理反射存在,病理反射未引出。
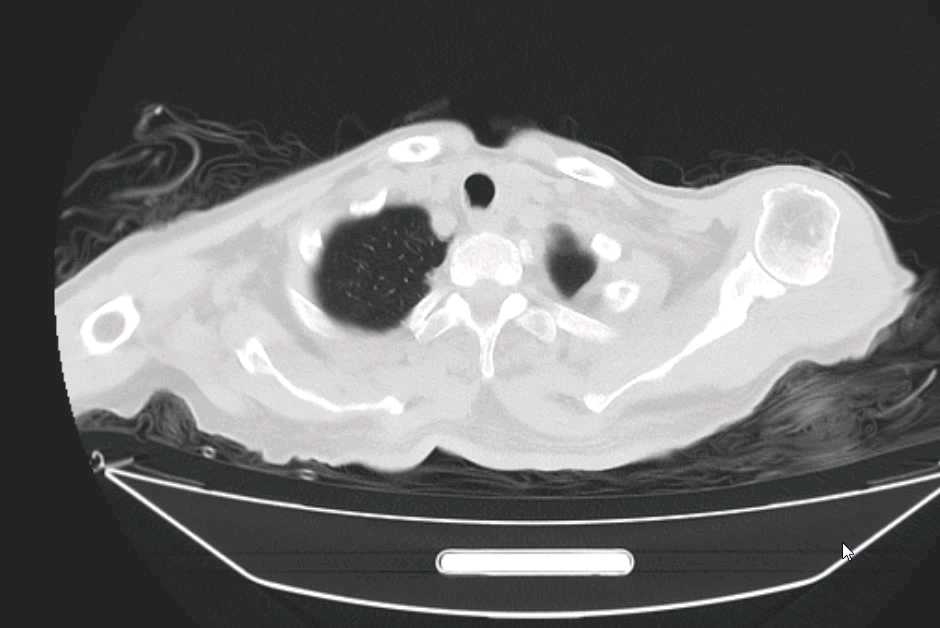
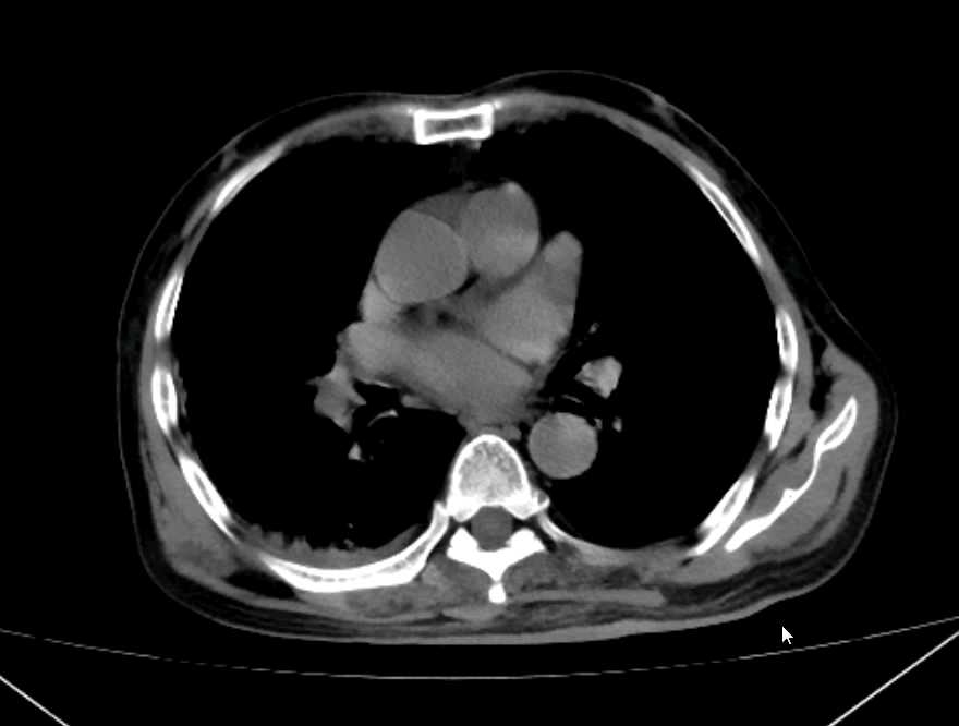
4、辅助检查:(2024-07-16)血常规示:白细胞计数:14.09x10^9/L↑;中性粒细胞绝对值:12.96x10^9/L↑;淋巴细胞绝对值:0.85x10^9/L↓;嗜酸性粒细胞绝对值:0.01x10^9/L↓;中性粒细胞百分比:92.00%↑;淋巴细胞百分比:6.00%↓;单核细胞百分比:1.90%↓;嗜酸性粒细胞百分比:0.10%↓;凝血功能示:纤维蛋白原降解:15.49ug/ml↑;D一二聚体:1.41ug/ml↑;心肌两项示:肌红蛋白:410.5ng/ml↑;N末端B型钠尿肽前体:3422pg/ml↑;呼吸道八联检查:甲型流感病毒:弱阳性+;电解质示:钠:130.7mmol/L↓;磷:0.55mmol/L↓;肝功能示:总胆红素:34.8umol/L↑;直接胆红素:14.7umol/L↑;间接胆红素:20.1umol/L↑;胆碱酯酶:4441U/L↓;肾功能示:尿素氮:8.54mmol/L↑;肌酐:171.9umol/L↑;血清胱抑素C:1.777mg/L↑;心肌酶四项示:肌酸激酶:352.3U/L↑;乳酸脱氢酶测定(速率法等):264.6U/L↑;α-羟丁酸脱氢酶:198U/L↑;心电图示:1、窦性心动过速;2、肢导联低电压;3、V6导联T波轻度改变。颅脑及双肺CT示:1、颅脑CT平扫未见异常,必要时请复查。2、左肺上叶下舌段及右肺中叶外侧段感染性病灶。3、心脏外形不大,主动脉壁及左侧冠状动脉走行区多发钙化斑。随机血糖:9.1mmol/L。







2024.07.17以下:
患者持续发热,激素,退热针,左氧氟沙星,派拉西林都无法退热,给予完善腹部ct及b超









随后于当日给予气管插管辅助呼吸

目前来看bnp持续升高及肾脏,心肌酶,降钙素原持续升高,原因何在?请各位从影像上分析: