从餐桌到手术台:鱼刺如何引发主动脉损伤
病例信息
患者58岁,男性,因“进食后胸骨后隐痛1天”急诊来院。患者来院前一天晚6时有吃鱼,自觉被鱼刺卡喉后,吞食较多量饭菜以及食醋,餐后自觉始终胸骨后隐痛不适。第二天下午先至社区医院就诊,查胸部CT提示食管内异物。于晚6时至我我院急诊,行胸腹主动脉CTA后见食管中段线状异物。结合患者病史考虑异物为鱼刺。患者既往体健,否认慢性病史。

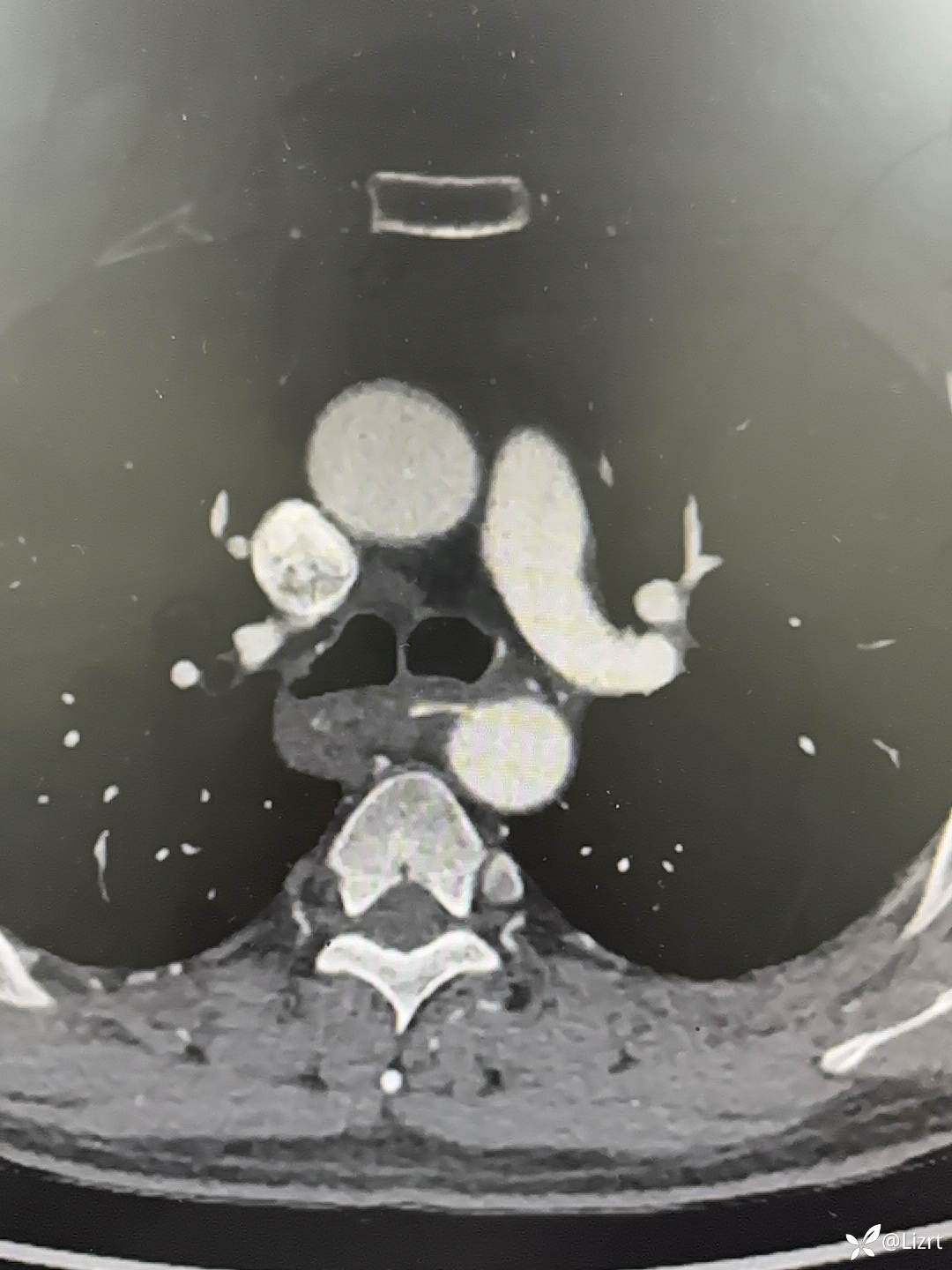
食管中段(T5水平)异物,穿透食管,刺入临近主动脉。

胸腹主动脉CTA,可见食管中段的高密度异物影,主动脉周围渗出不明显。
处理分析
急诊会诊后诊断食管内异物、主动脉损伤。联合消化内科行急诊手术。方案为腔内覆膜支架联合胃镜下鱼刺取出。术中先行主动脉造影,明确主动脉损伤位置,指导支架放置。自右侧股动脉进入GORE C-Tag 28-28×150mm胸主动脉覆膜支架准备。考虑鱼刺可能扎破支架覆膜,遂先消化内科胃镜下取出鱼刺后,再立即释放支架。术后禁食观察1周后,复查泛影葡胺食管造影提示未见造影剂外溢,开放饮食。2周后复查胸腹主动脉CTA,提示支架在位,形态良好。

消化内科胃镜下取出的鱼刺

术后2周,复查胸腹主动脉CTA,胸主动脉支架在位通畅。

胸腹主动脉CTA三维重建


术后泛影葡胺食管造影,提示未见造影剂渗出。
总结与讨论
在现实生活中,遇到异物卡喉,如鱼刺,许多人会采用一些传统的“土方法”来尝试解决,例如喝醋、吞馒头、大口吃饭等。尽管这些方法偶尔可能有效,但这些做法是不正确的。
首先,我们来看看哪些是错误的方法,应当避免:
1. 饭团吞咽
传统的做法是,一旦喉咙被鱼刺卡住,就赶紧吃一个大饭团,越大越好,一口吞下,希望将鱼刺包裹起来,带入胃中。实际上,这种方法并不科学。吞咽饭团不仅可能导致噎住,还可能使得鱼刺更深地插入食管,更难以取出。甚至像该病例一般,穿透食管损伤周围的重要器官或结构,如主动脉,引起严重后果。
2. 大量饮水
当喉咙被鱼刺卡住后,不应不停地喝水或汤和饮料。因为喉咙里已经有鱼刺,持续的吞咽动作很容易使鱼刺移动,甚至导致鱼刺卡得更深,这样做的危害是相当大的。因此,通常只需简单漱口后,就应该准备去医院就诊。
3. 手指抠挖
如果鱼刺卡在喉咙里,不要轻易使用工具或用手指去抠挖喉咙。这样不仅可能引起反胃和呕吐,还可能加深鱼刺的位置,使症状更加严重。
4. 大量喝醋
喝醋并不能真正软化鱼刺。因为醋只能在被卡的位置短暂停留,效果非常有限,而且可能会耽误治疗的最佳时机。
那么,当“卡鱼刺”时,我们应该如何正确处理呢?
1. 首先,我们应该停止进食,并尝试轻轻咳嗽几次,同时观察鱼刺是否在喉咙的浅表位置。有时候,一些小的、浅位的鱼刺可以通过咳嗽的方式被咳出。
2. 可以使用勺子轻轻压住舌头,以便在充足的光线下检查舌根、扁桃体和咽后壁。如果能够看到鱼刺,并且它位于较浅的位置,可以尝试使用镊子或筷子小心地夹出。
3. 如果你无法看到鱼刺的具体位置,或者在尝试吞咽流食后感到疼痛加剧,异物感更加明显,这时应立即前往医院就诊。在医生的指导下取出鱼刺,以避免可能的严重后果。
















































