“假”心衰遇到腹膜刺激征阴性的“真”肠穿孔
病例信息
我们有时候太相信自己看到的而不相信自己看到的。
患者25岁,未婚男性,程序员,平时工作窝在电脑前写东西,运动较少,生活不规律,可乐代水饮,体重180,居住在单位宿舍,宿舍内有空调。因“腹泻、乏力12天,发热伴意识模糊1天”于2024-06-22 15:03入院。
患者入院前12天无明显诱因出现腹泻,稀水样棕褐色大便,4-6次/天,伴乏力,无腹痛、恶心、呕吐,无胸痛、胸闷、憋喘,无发热、咳嗽、咳痰,未行治疗。1天前其同事发现患者没上班、电话不接,遂到宿舍发现其意识模糊,可叫醒,体温:40℃,有大小便失禁,无呕吐,就诊于当地医院行胸腹CT检查:双肺炎症,心腔内低密度灶,脂肪肝,部分肠管扩张并气液平(片子就表现为心衰肺门周围阴影);血常规:血红蛋白43g/L,PCT:2.5ng/ml,总胆红素:47.8umol/L。给予退热、补液等治疗,患者家属为进一步治疗当天转入我院急诊,复查血常规:血红蛋白:42,血小板:121,前降钙素:3.2ng/ml,N端脑钠肽前体:1165pg/ml,D-二聚体:1.5,高敏肌钙蛋白I:686.74ng/L,总胆红素:52umol/L,未结合胆红素:29umol/L。给予纠正心衰、抗感染等治疗后,转入科室。
既往诉体健。吸烟史5年,1包/天;饮酒5年,2两/天。
查体:体温:36.5℃,心率:90次/分,呼吸频率:30次/分,血压:116/48mmHg,端坐位,双肺满布干湿性啰音。腹软,叩诊呈鼓音,无压痛、反跳痛。双下肢无水肿。
入院后完善辅助检查:




患者入科前两天的状态就是半卧位,昏昏沉沉的,从嘴里往外吐粉红色的泡沫,当我们看到他的BNP结果时,又有些怀疑,400多的BNP就心衰了?!


(谷丙、谷草正常)






06-24复查血常规:






血NGS:

外周血涂片:

06-23床旁胸片:

06-24床旁胸片:

处理分析
入科后先给予高流量,喘的还是很快,换无创,备插管。利尿改善心衰等,

到了06-24 18:00左右呼吸频率慢下来了,憋喘逐渐减轻,06-25就把无创去了
06-27做了床旁支气管镜:管腔通畅,分泌物不多
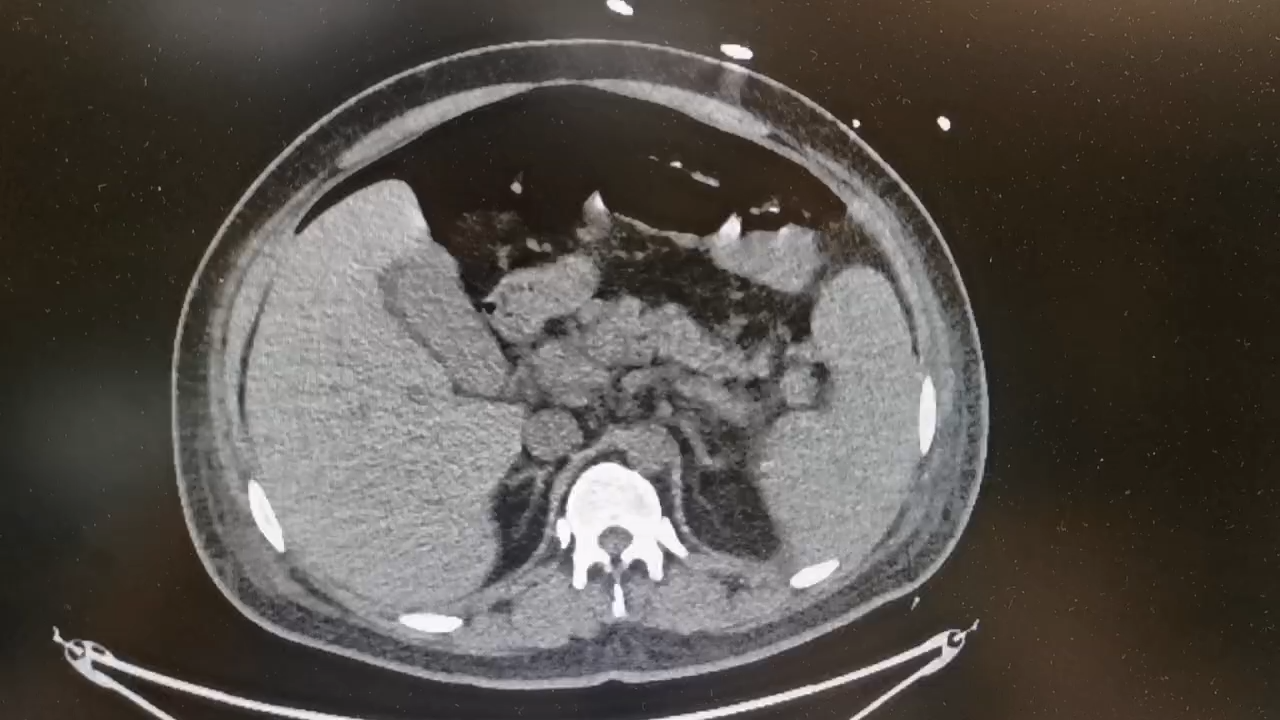
06-28患者已无任何不适,可以出去做检查了,去复查胸腹CT:




带着病人回病房后,一看片子,影像科老师说,捋了一遍没找到破口,再领着病人回CT室扫个盆部吧!


总结与讨论
如何用“一元论”解释病人的起病、发病过程?
这样的一个病人配不上>10000的BNP吗,

还需要完善哪些辅助检查,没有症状的穿孔该如何处理。