脑子歪了的女孩
病例信息
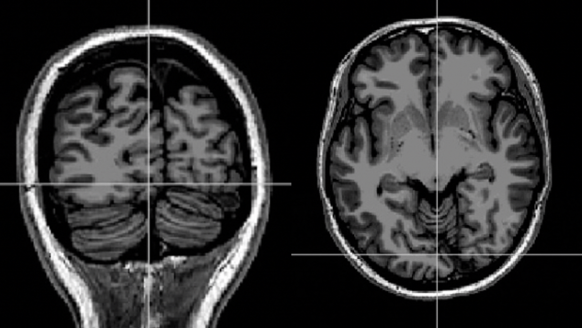
“脑子歪成这样,居然活得好好的”
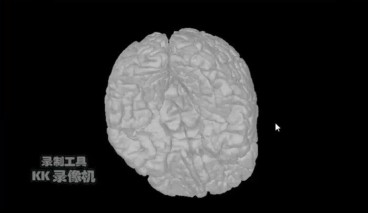
本例患者为一青年女性,知名大学在读,作为对照组参与临床实验在头部MRI检查时意外发现脑中线偏移(右移)、右脑枕部萎缩,左右脑枕部和小脑结构明显不对称,颞部轻微不对称。患者无任何自觉症状,运动能力正常,智力正常,无视觉和语言障碍,既往史无殊,家族史无殊。

处理分析
未治疗
总结与讨论
可能的脑结构畸形原因。
枕叶主要负责视觉处理,本例患者自述高度近视,但矫正视力正常,无视觉异常表现。小脑虽结构异常,但患者运动能力正常。可能的原因是?
其他值得讨论的地方请各位老师集思广益。





第一次发帖,认识有不准确之处还请各位前辈批评指正。
















































