一路走来一路错
病例信息
患者宋XX,男,65岁,因“发作头晕头痛伴四肢无力”10天入院。
现病史:患者与10天前出现发作性头晕、视物模糊、觉右耳闷胀嗡鸣感,且前额部胀痛,程度较轻,同时伴有四肢无力绵软感,动作笨拙,每次症状持续月10分钟至半小时可缓解,每日发作数次,多于日间发作,偶有夜间发作,于当地卫生院型头颅CT检查未见出血,以“脑梗死”用药治疗2天,病情无缓解,病程中患者无视物双影,无恶心呕吐,无言语笨拙,无吞咽困难及饮水呛咳,无抽搐,无发热。
既往史:半年前行疝气手术治疗。1月前因左下肺炎症静点抗生素,偶有咳嗽咳痰。否认高血压、冠心病、糖尿病病史。
查体:BP 140/90mmHg 神清,言语流利,额纹对称,眼球活动自如,眼震(-),两侧瞳孔等大等圆,光反射灵敏,双眼粗测视力下降,双耳听力尚可,鼻唇沟对称,伸舌居中,颈软,两肺呼吸音粗,未闻及啰音,四肢肌力肌张力正常,两侧巴彬斯基征(-)。
初步诊断:短暂性脑缺血发作?
治疗:双抗,降脂,对症。
处理分析
入院第2日
患者诉头晕、行走不稳,恶心欲吐,右侧肢体无力,行走向右侧偏斜,右侧视物不清,伴有右耳耳鸣,头顶部胀痛,觉心烦,症状持续数分钟好转。
查体:神清,言语流利,反应迟钝,左右辨别差,计算力尚可,右侧颞部偏盲,右侧肢体肌力4级,两侧巴彬斯基征(-)
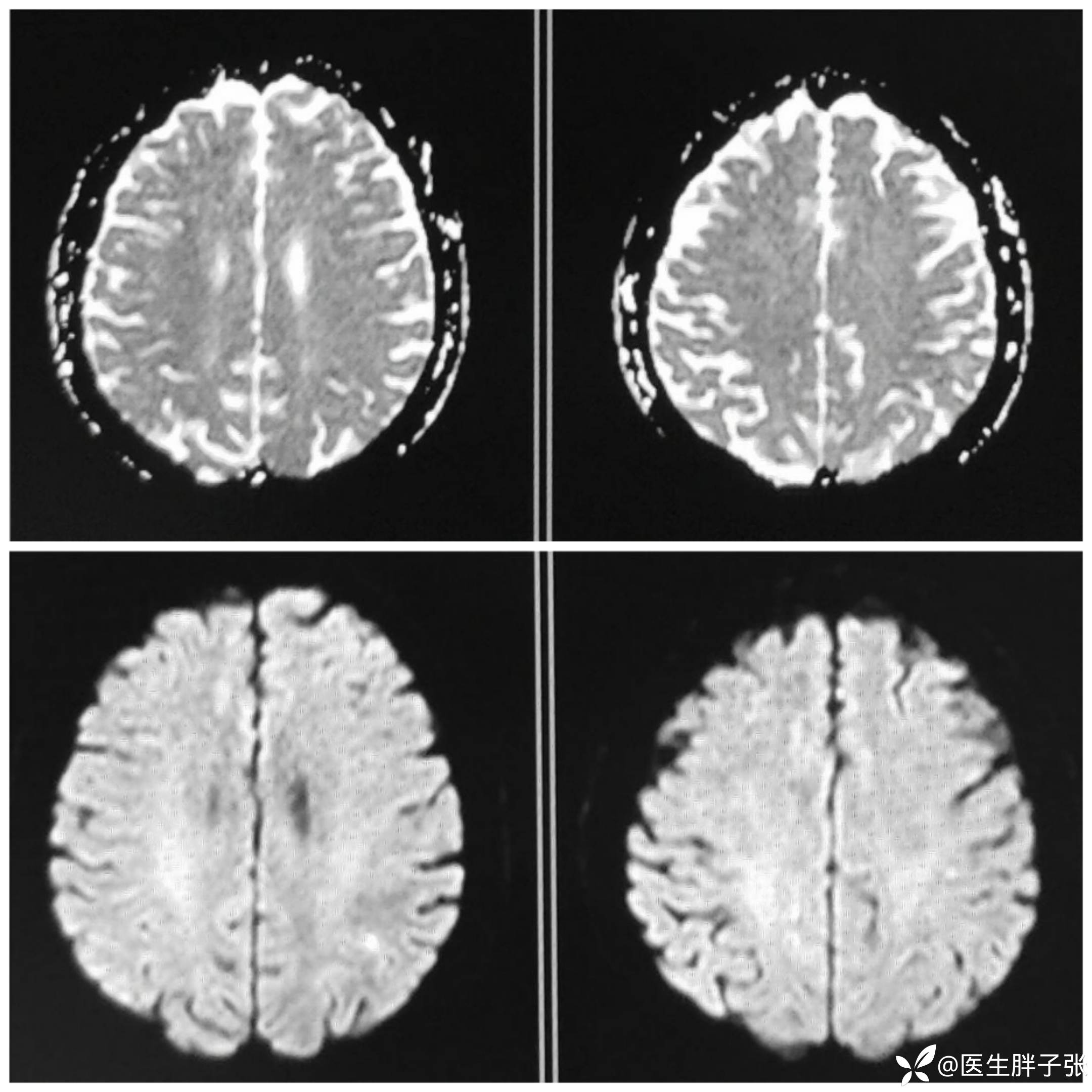
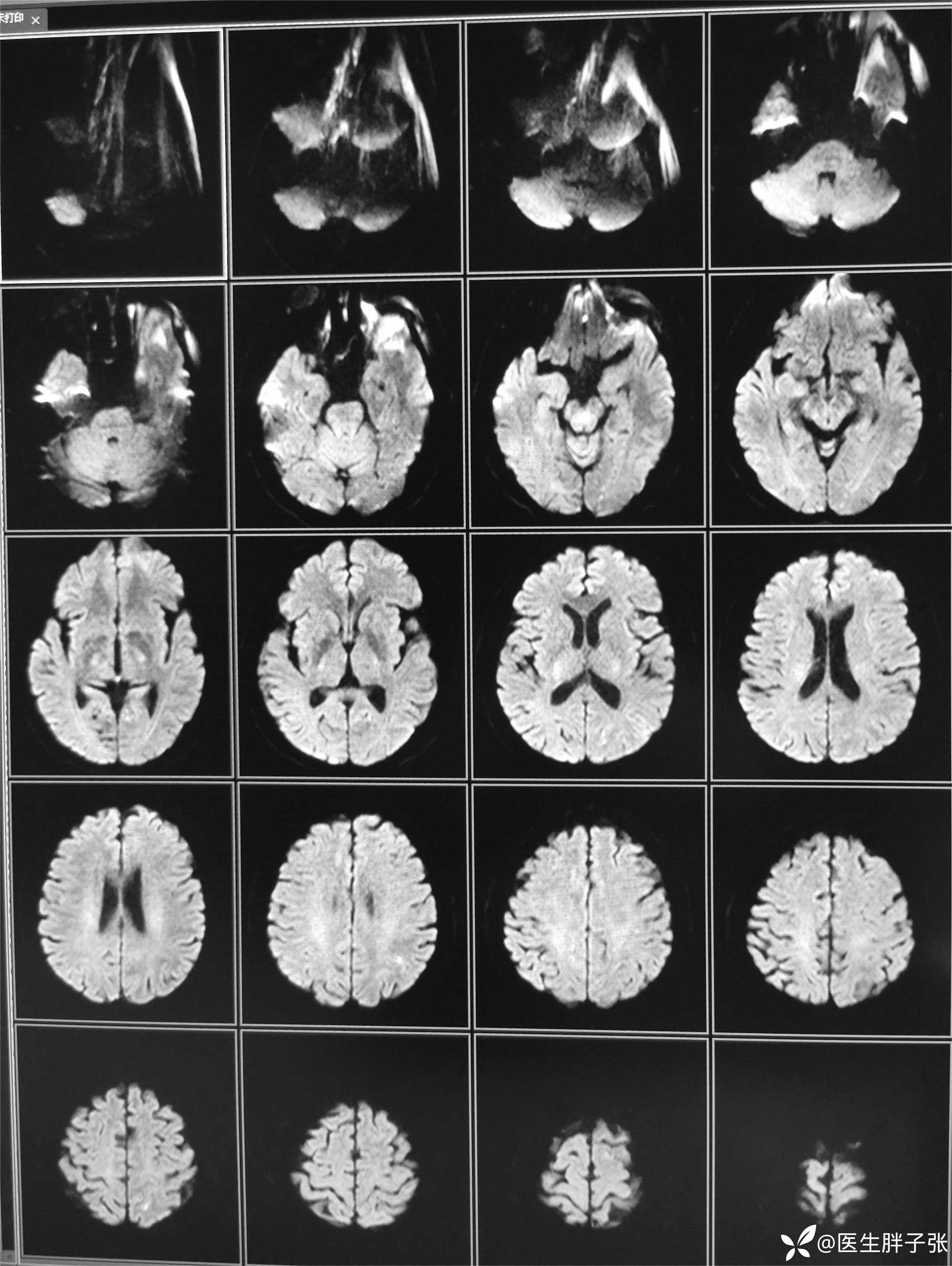
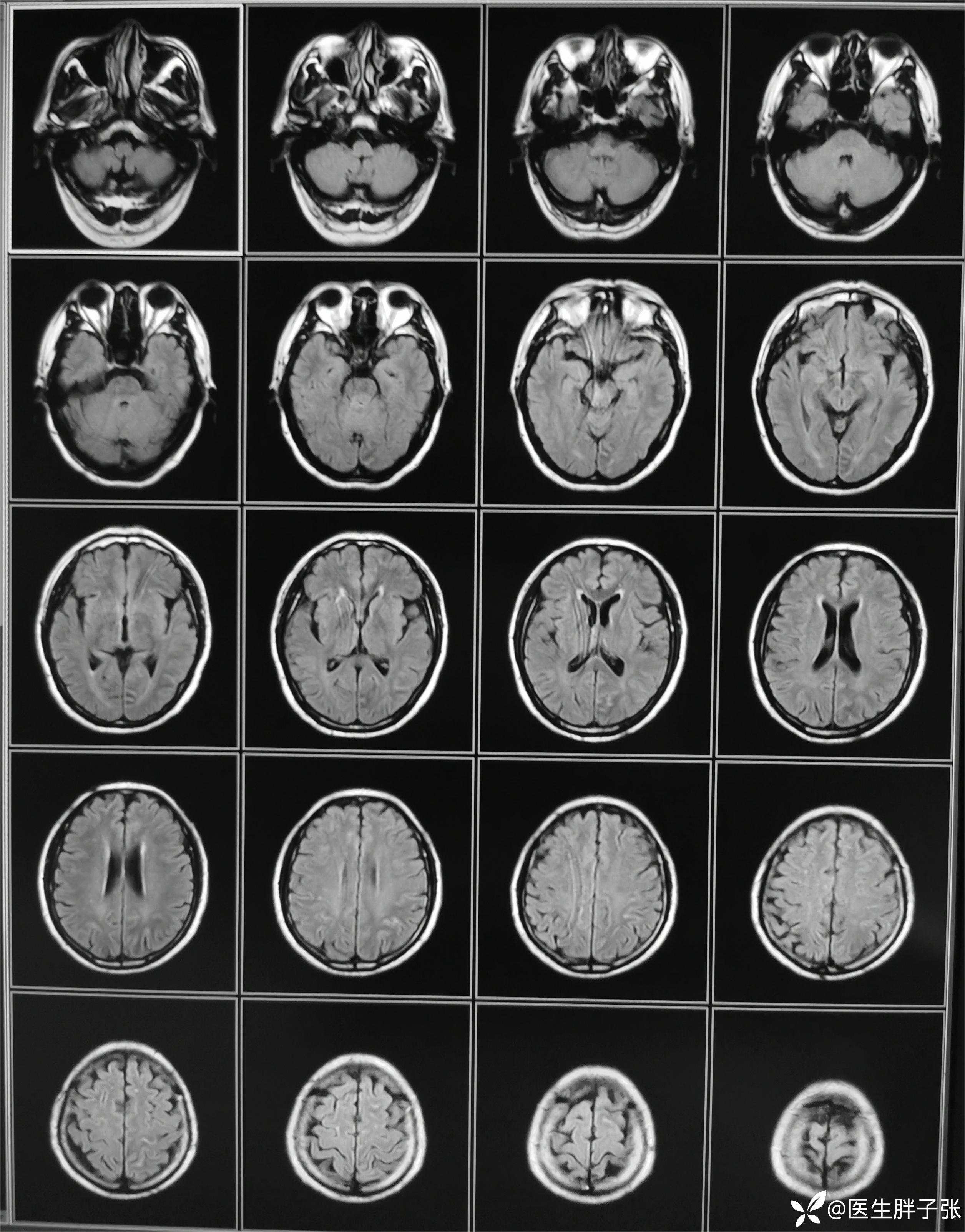
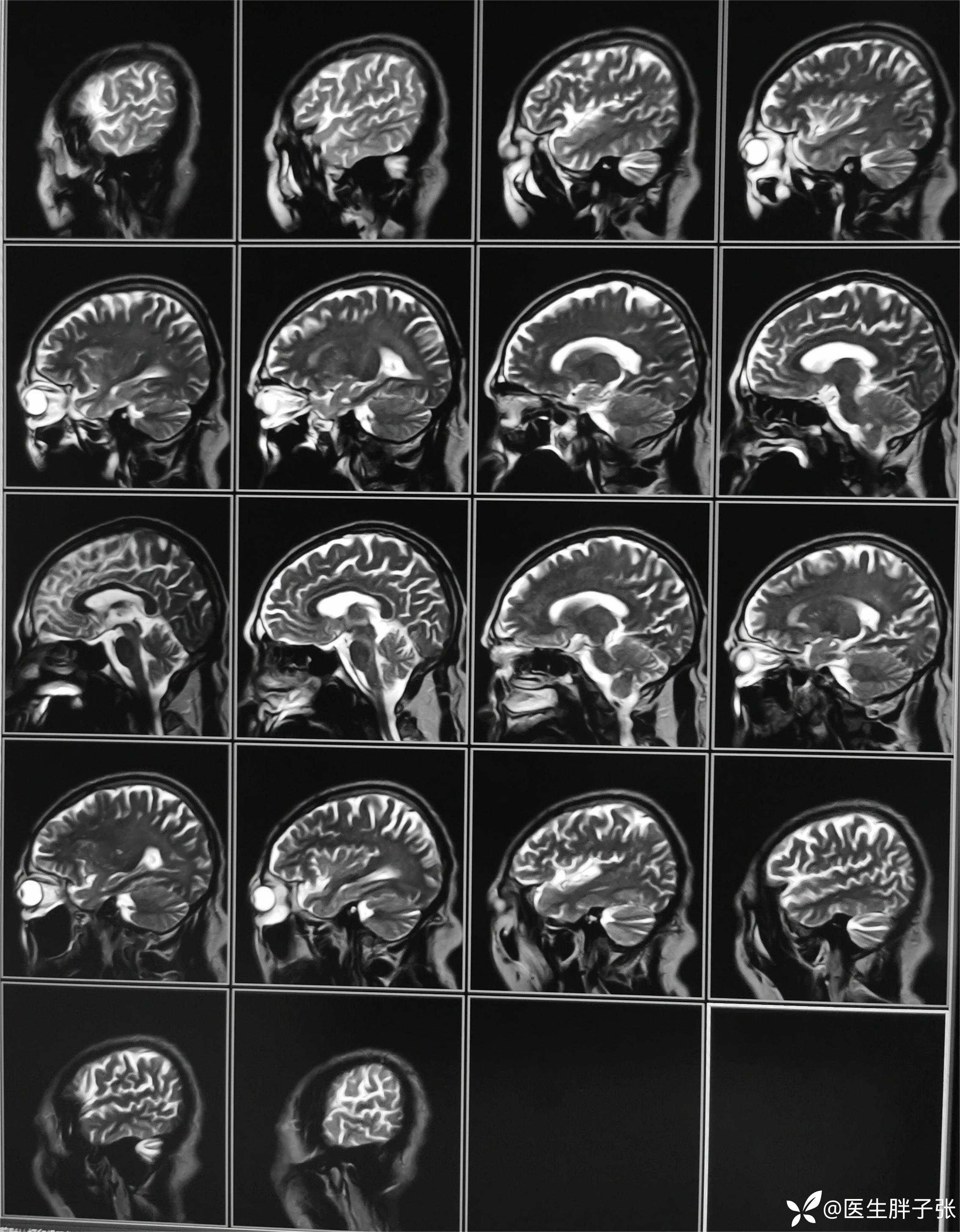
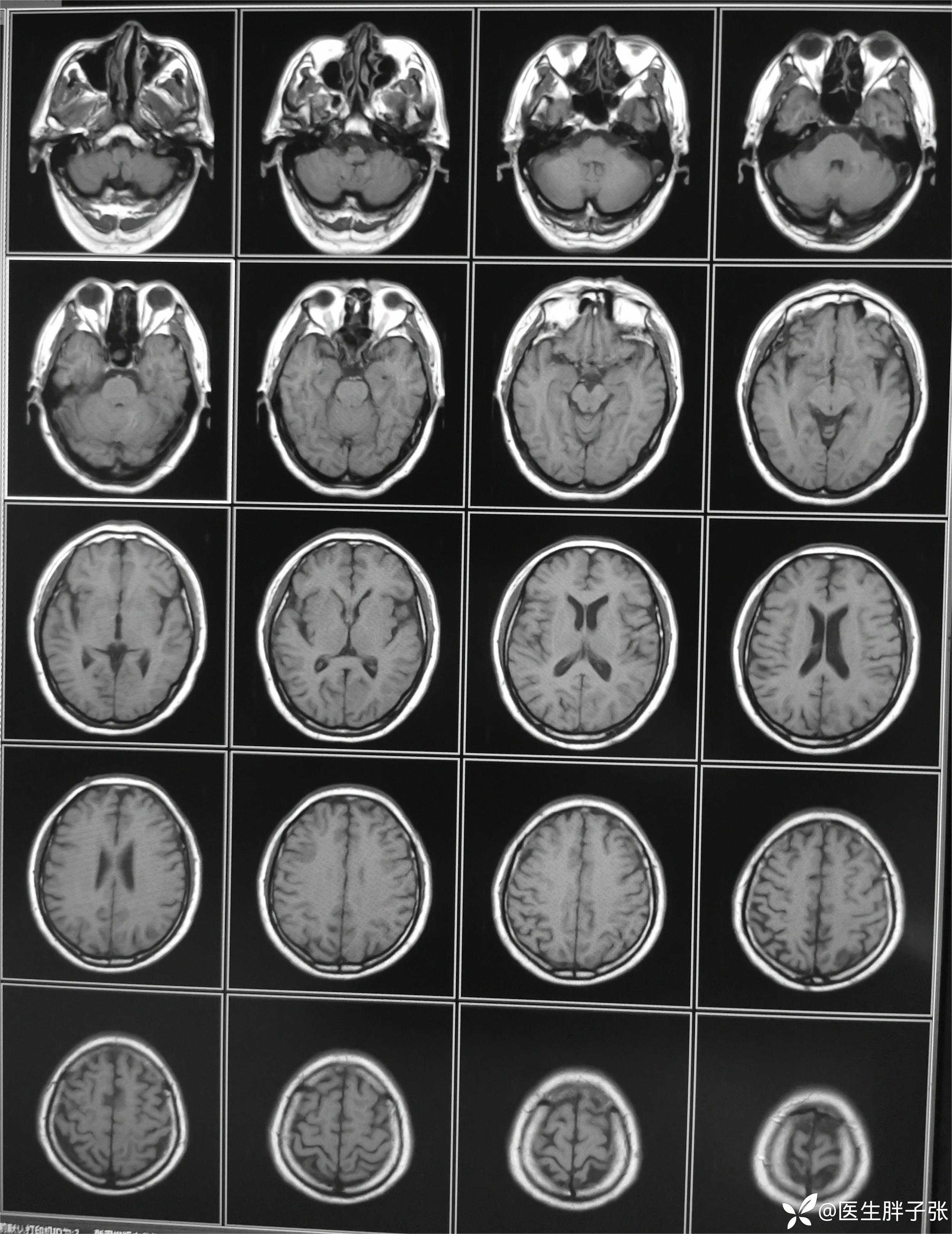
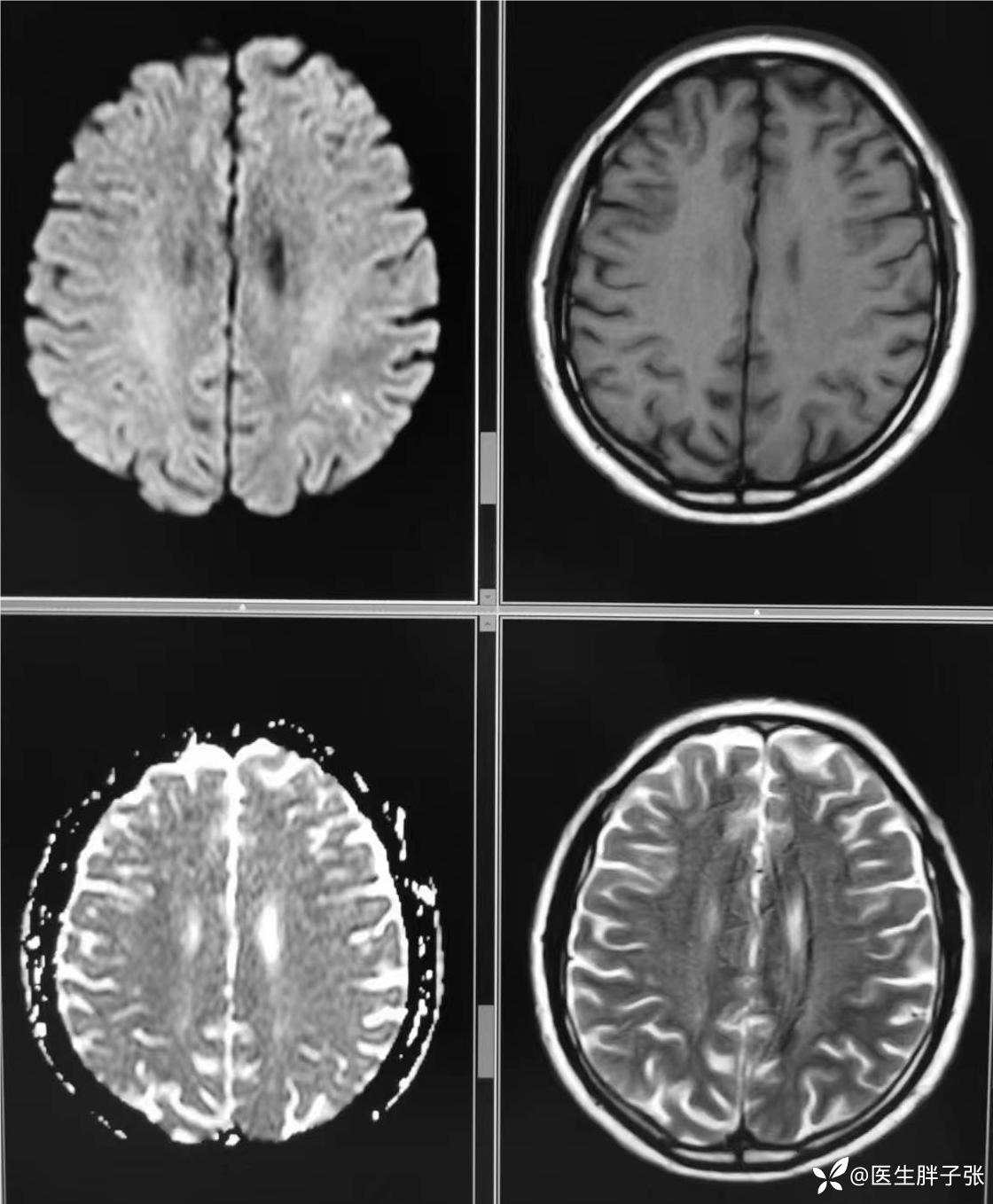
颅脑MR回报左侧顶叶新近梗死灶;多发腔隙性脑梗死及缺血灶;MRA未见异常。








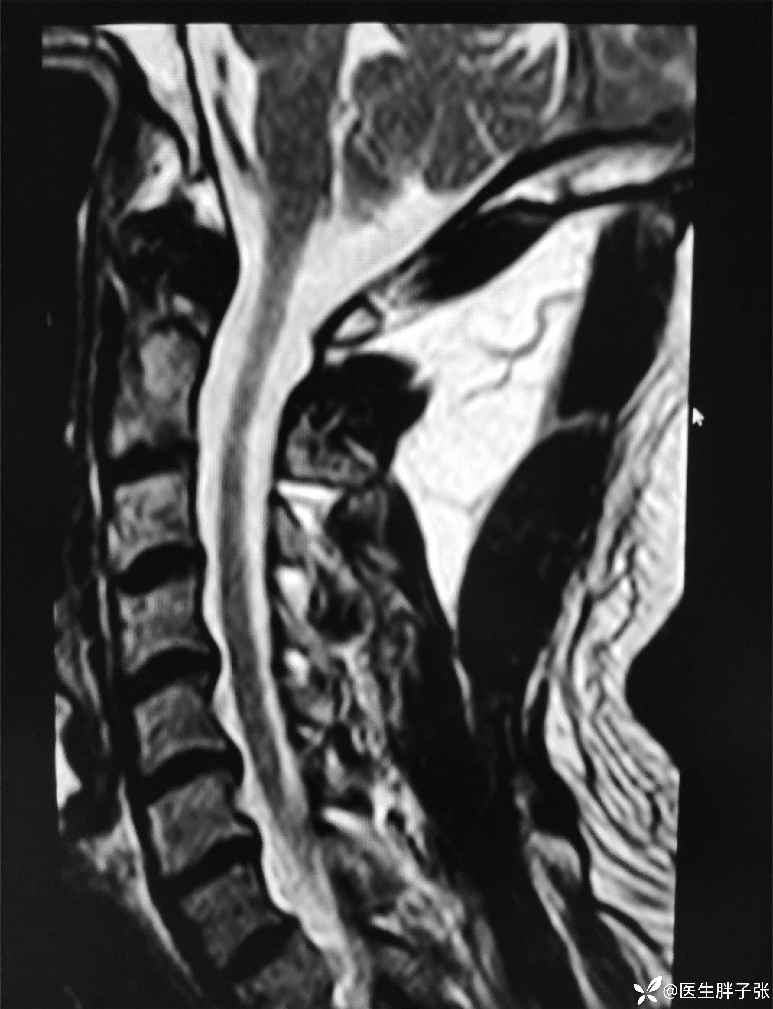
颈椎MR回报




考虑为进展性脑卒中,建议完善血管、心脏相关检查。给予氯吡格雷负荷剂量、阿托伐他汀负荷剂量口服,给予补液。
入院第2日
夜间19:20
患者如厕过程中突发意识不清,站立不能,恶心呕吐数次,呈非喷射状,呕吐物为胃内容物,将患者转移至病床,侧卧位防止误吸。查体:呈中度昏迷状态,两侧瞳孔等大等圆,直径约3.0mm,光反射迟钝,颈强直,颏胸间距约3指,四肢肌张力低,四肢肌力查体不合作,右侧巴彬斯基征(±)。
测床旁血糖:6.8mmol/l。心电图窦性心律,P波增宽,V1异常Q波。
给予甘露醇注射液250ml快速静点。
于19:30
患者意识转清,诉头痛,为全头部胀痛,头晕,为全头部昏沉不适,追问病史:患者诉入院1月前因“新冠感染”住院治疗,静点药物13天后好转,其后觉周身无力,劳动耐力较前明显下降。与入院10天前出现发作性头晕及周身乏力。反复追问患者均否认外伤史,否认发作性意识不清,否认记忆力改变。
于19:40
患者意识清醒,诉头部昏沉感,查体:神清,言语流利,额纹对称,记忆力正常,计算力减退,可计算100-7,不能计算93-7,时间定向力正常,空间定向力正常,手指辨认正常,复杂执行能力减退,不能执行左手摸右耳动作,眼震(-),瞳孔等大等圆,粗测水平视野及垂直视野正常,鼻唇沟对称,伸舌居中,颈强直,颏胸间距3指,右侧肢体肌力4级,两侧巴彬斯基征(-)。
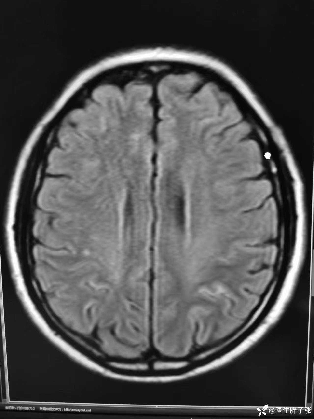
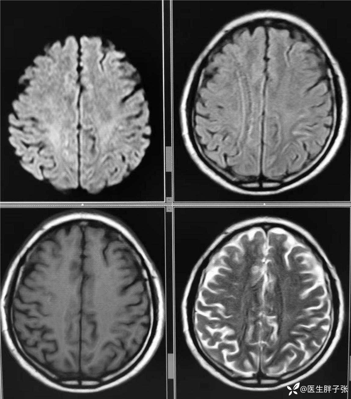
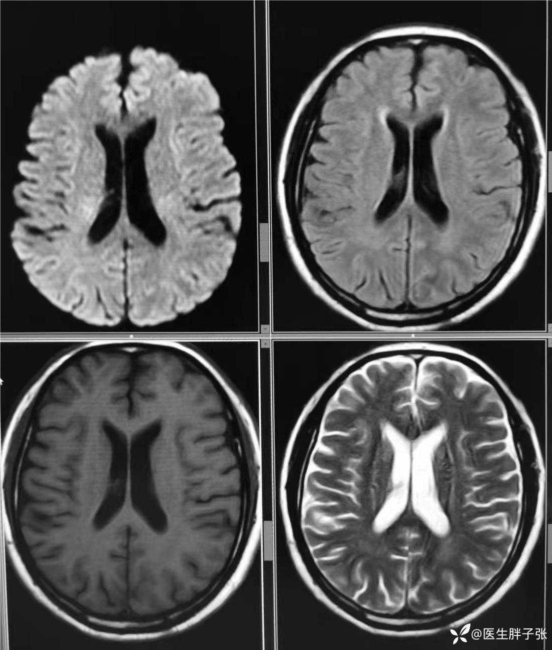
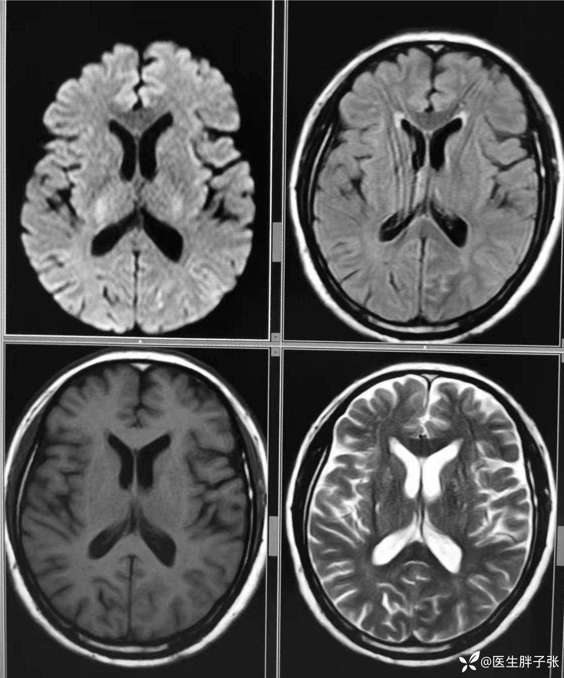
再次查看核磁,考虑患者左侧顶枕叶及右侧枕叶脑组织存在混杂信号。















结合患者应用甘露醇后症状缓解,值班医生认为存在静脉窦血栓可能。
入院第3日
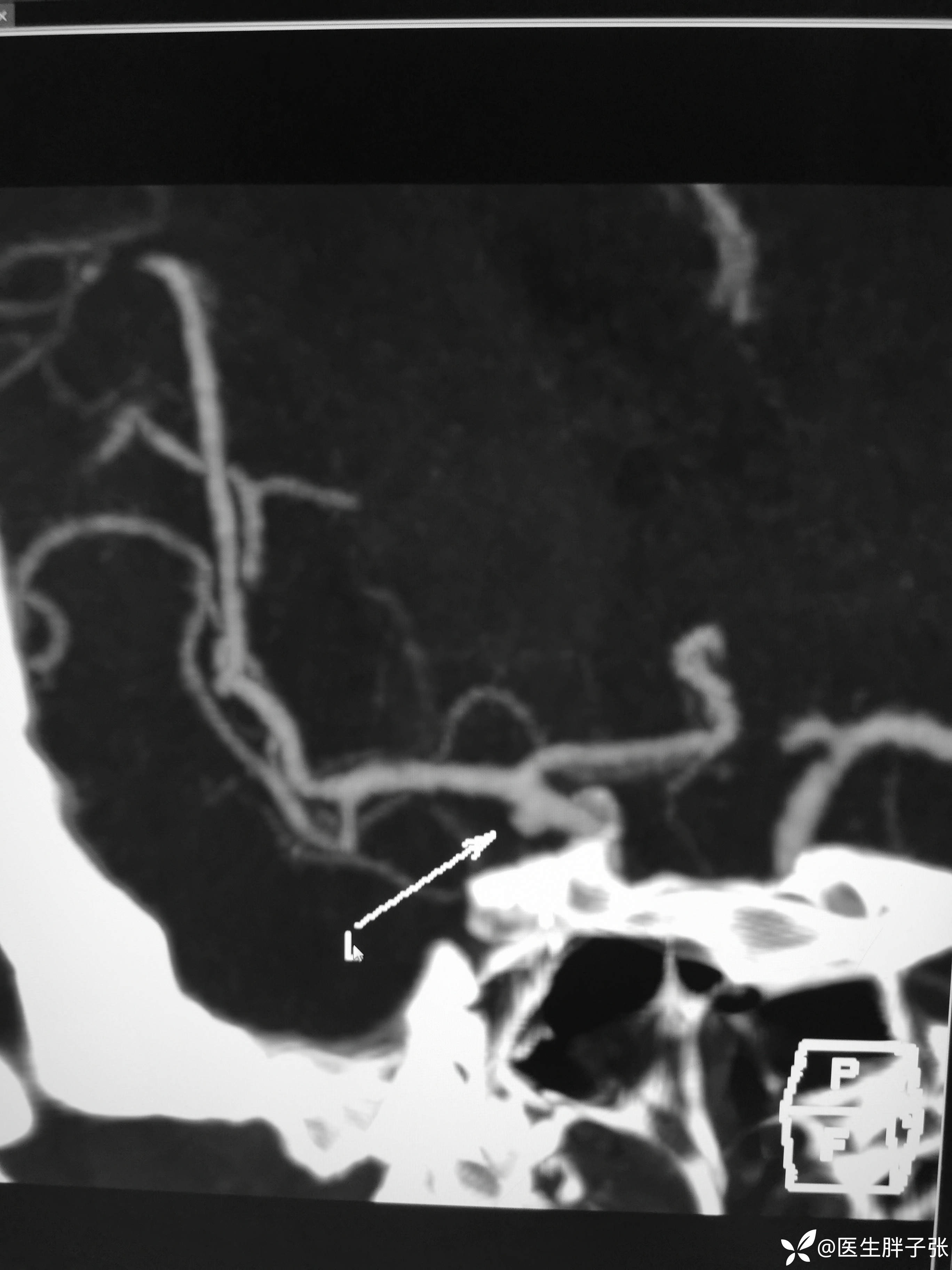
头颈部CTA提示左侧椎动脉闭塞、右侧椎动脉开口中度狭窄、左侧颈内动脉动脉瘤。








MRV:右侧侧窦纤细,充盈浅淡,上矢状窦后部成窗。


查房意见:颅脑MR存在顶叶新近梗死,椎动脉作为责任血管的梗死可能性大。患者存在前驱感染,需除外颅内感染、自免脑、副肿瘤可能。
入院第3日 腰穿
压力>330mmH2O。 白细胞总数 30.0,中性粒细胞:75%淋巴细胞:25%。糖:2.63mmol/l
入院第4日
患者头痛明显,给予呋塞米静脉注射后好转。
血、脑脊液副肿瘤抗体回报:未见异常。
复查头颅CT,值班医生认为仍存在脑肿胀




入院第5日
患者头痛明显,恶心呕吐,诉双眼视物不清,存在视幻觉,自诉看见有人在自己右侧平躺着,诉看见医生衣服上有树叶飘落。双耳听力减退,记忆力减退,不能回忆昨日发生事情,反应迟钝。
给予甘露醇、呋塞米脱水降颅压。
入院第7日
外送脑脊液基因二代测序未见异常。
自身免疫性脑炎抗体未见异常。
入院第8日
出院并转诊天津XX医院,未能明确诊断。家属诉DSA检查未见静脉窦血栓。
出院12天后就诊协和医院
完善脑脊液检查
外观:无色透明 细胞总数:487 白细胞总数:136 单核:19.1% 多核:80.9%
0.5ml收集白细胞总数:800,淋巴比例10%,单核比例10%,中性粒细胞比例:80%,激活淋巴细胞阴性,激活单核细胞阴性,浆细胞阴性,新鲜红细胞未见,细胞溶解未见。
葡萄糖:1.9mmol/l、氯化物:120mmol/l、蛋白:0.51g/l、乳酸:10.3mmol/l
可见大体积细胞及细胞团
脑脊液结论:中性粒细胞性炎症,可见异型细胞,符合肿瘤。



最终结果:脑膜癌
总结与讨论
最初诊断为TIA,完善核磁后诊断脑梗死,期间有怀疑静脉窦血栓,甚至做检查除外了自免脑和感染性脑炎,但始终没想过脑膜癌。
仍有问题不明:
问题1:最初的症状+影像,您考虑什么诊断?为什么?
问题2:核磁可见的梗死灶是恰巧发现的还是与脑膜癌有相关性?
问题3:最初核磁看到的脑肿胀样的改变,原因可能是什么?
问题:4:诊疗过程中如何能早一些考虑到脑膜癌可能?
















































