高血压性视网膜病变(Hypertensive Retinopathy)
Pranav Modi; Tasneem Arsiwalla.
最后更新:2023 年 7 月 4 日。
继续教育活动
控制不佳的高血压 (hypertension,HTN) 会影响多个系统,如心血管、肾脏、脑血管和视网膜。对这些系统的损伤被称为靶器官损伤 ( target-organ damage,TOD)。高血压影响眼部,导致 3 种类型的眼部损伤:脉络膜病变、视网膜病变和视神经病变。本活动回顾了高血压性视网膜病变的病因和病理生理学,并强调了跨专业团队在其管理中的作用。
目标:
- 确定高血压性视网膜病变的分期。
- 回顾高血压性视网膜病变的表现。
- 概述高血压性视网膜病变的治疗和管理方案。
- 描述高血压性视网膜病变患者改善医疗协调和预后的跨专业团队策略。
介绍
控制不佳的高血压 (hypertension,HTN) 会影响多个系统,例如心血管、肾脏、脑血管和视网膜。对这些系统的损伤被称为靶器官损伤 ( target-organ damage,TOD)。[1] 高血压影响眼部,导致 3 种类型的眼部损伤:脉络膜病变、视网膜病变和视神经病变。[2] 当视网膜血管因血压升高而受损时,便发生了高血压性视网膜病变 (hypertensive retinopathy,HR) 。有大量证据表明,高血压性视网膜病变可预测 TOD 引起的系统致残率和死亡率。[1] Erden 等人的一项研究表明,视网膜病变发病率的增加与高血压的严重程度和持续时间相关。[3]
病因
除了原发性和继发性高血压,还有其他因素在高血压性视网膜病变的发生中发挥了重要作用。与欧洲人相比,加勒比地区非裔高血压性视网膜病变的患病率更高,女性的患病率高于男性。遗传因素也发挥了作用,某些基因型与高血压性视网膜病变风险增加相关。[4] Pontremoli 等人研究了与高血压性视网膜病变相关的遗传因素,发现血管紧张素转换酶等位基因的缺失有更高的风险发生高血压性视网膜病变。[5] Poulter 等人的研究表明,[6]吸烟被认为与重度或恶性高血压性视网膜病变密切相关。患者肾功能障碍(持续微量白蛋白尿和肌酐清除率低)已被证明是高血压性视网膜病变和终末器官损伤的标志。[7] Uckaya等人发现与血浆瘦素(leptin)的相关性,观察到高血压性视网膜病变患者的血浆瘦素水平较高,并推测其与血管内皮损伤相关。[8]
流行病学
Erden 等人的研究表明,高血压的严重程度和持续时间与高血压性视网膜病变的发病率成正比。在他们的研究中,高血压性视网膜病变的发病率为66.3%[3]。Kabedi等人称全部高血压患者的高血压性视网膜病变的发病率为83.6%,并发现慢性肾病是预测严重高血压性视网膜病变的最有意义的因素。[1] 根据 Del Brutto 等人进行的研究,37% 的高血压患者记录为 1 级高血压性视网膜病变,17% 的高血压患者为 2 级高血压性视网膜病变。[9]
病理生理
视网膜血管具有独特的特征,这使其有别于其他血管[10]:
- 缺乏交感神经支配
- 血流自主调节
- 存在血液-视网膜屏障
因此,血压 (blood pressure,BP) 升高直接转嫁到最初收缩的血管。然而,血压的进一步升高克服了这种代偿性张力,随之而来的是肌层和内皮的损伤。
高血压性视网膜病变有以下分期[2]:
血管收缩期
在此期,局部自动调节机制开始发挥作用。这会导致血管痉挛和视网膜小动脉变窄,明显可见小动脉与小静脉比值降低(正常 = 2:3)。在老年动脉硬化患者中,由于受累血管节段不能变窄,因此会出现局灶性小动脉变窄。
硬化期
血压持续升高会导致血管壁发生某些变化:
- 内膜:增厚
- 中层:增生
- 小动脉壁:玻璃样变
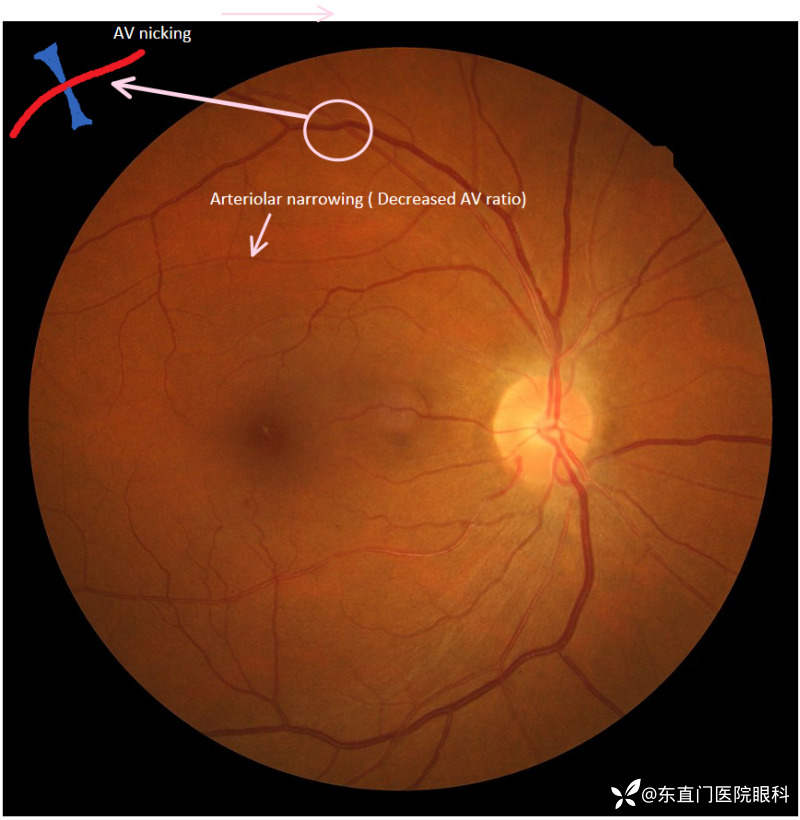
这会导致严重的小动脉狭窄、动静脉(arteriovenous,AV)交叉改变以及反光增宽、加强(银丝样和铜丝样)。由于血管共享共同外鞘,当增厚的小动脉与小静脉交叉并随后压缩小静脉时,就会发生动静脉交叉改变。反过来,静脉在动静脉交叉的远端便会出现扩张和迂曲。
渗出期
见于血压严重升高的患者;其特征是血脑屏障破坏,血液和血浆渗漏到血管壁中,破坏了自主调节机制。此期会出现视网膜出血(火焰状和斑点状)、硬性渗出形成、平滑肌细胞坏死以及视网膜缺血(棉絮斑)等视网膜体征。
恶性高血压
严重的颅内高压会导致视神经缺血并水肿(视乳头水肿)。此外,脉络膜小动脉发生纤维蛋白样坏死,导致脉络膜毛细血管节段性梗死。这导致了:
- Elschnig斑(Elschnig's spots):被覆的视网膜色素上皮 (retinal pigment epithelium,RPE) 呈黄色
- Siegrist条纹(Siegrist's streak):脉络膜梗死上方的RPE增生
- 神经感觉 RPE 脱离
这些体征被称为脉络膜病变。
病史和体格检查
临床特征 [4]
高血压性视网膜病变通常没有症状,根据眼底镜特征进行诊断。以下是高血压性视网膜病变的体征。
AV 交叉改变
- Salus 征:视网膜静脉与小动脉交叉时发生偏向。
- Gunn征:AV交叉两侧的视网膜静脉逐渐变细。
- Bonnet 征:AV 交叉远端视网膜静脉淤积。
动脉改变
- 动静脉比值降低至1:3(正常比值为2:3)
- 小动脉反光的改变(反光呈铜丝样和/或银丝样)
视网膜变化
- 视网膜出血:
- 斑点样出血:视网膜内层出血
- 火焰状出血:出血发生在视网膜浅层
- 视网膜渗出:
- 硬性渗出:视网膜内脂质沉积
- 软性渗出:也称棉絮斑,因神经纤维缺血而出现
黄斑变化
因围绕黄斑硬性渗出沉积导致黄斑星芒形成。
视神经改变
视盘肿胀(也称为高血压性视神经病变【hypertensive optic neuropathy】)
在Wong等人的一项研究中,他们发现某些视网膜体征与中风风险增加相关。体征包括动静脉压迹(AV nicking)、局部小动脉狭窄(当其伴有动脉硬化时)、微血管瘤、棉絮斑、视网膜出血(斑点状和火焰状)以及动静脉比值降低。[11]
评估
分类
以下是基于间接眼底镜或 +90 D镜眼底检查的高血压性视网膜病变的分类系统。
Keith-Wagner-Barker 分类
- 第 1 组:视网膜小动脉轻微收缩
- 第 2 组:第 1 组 + 视网膜小动脉局部狭窄 + 动静脉压迹
- 第 3 组:第 2 组 + 火焰状出血 + 棉絮斑 + 硬性渗出
- 第 4 组:第 3 组 + 视盘肿胀
Scheie 分类
用于高血压性视网膜病变
- 0 期:无明显异常
- 1 期:弥漫性小动脉变窄
- 2 期:1 期 + 局部小动脉收缩
- 3 期:2 期 + 视网膜出血
- 4 期:3 期 + 硬性渗出 + 视网膜水肿 + 视盘肿胀
用于动脉硬化
- 0 期:正常
- 1 期:小动脉反光增宽
- 2 期:1 期 + 动静脉交叉改变
- 3 期:小动脉呈铜丝样
- 4 期:小动脉呈银丝样
治疗/管理
筛查高血压性视网膜病变的主要目的是视网膜血管是常规检查中唯一可见的血管。高血压性视网膜病变和脉络膜病变是在眼部很容易看到的长期升高的高血压的影响,这反映了其他系统中发生的血管变化。眼科医生和全科医生应合作,以确保高血压患者得到有效筛查,并及时进行管理以降低眼部和全身致残率和致死的风险。[12] 然而,Henderson 等人指出,即使在控制了血压和其他血管危险因素后,高血压性视网膜病变仍与中风风险增加相关。[2]
高血压性视网膜病变的管理取决于疾病的严重程度:
- 轻度高血压性视网膜病变:治疗包括控制血压并定期监测。
- 中度高血压性视网膜病变:转诊至医生对于排除其他相关因素(如糖尿病)以及检查任何心血管异常至关重要。必须进行常规医疗,包括血压控制和监测。
- 重度高血压性视网膜病变:需要紧急治疗并转诊,因为其与死亡率的相关性最强。应监测其他系统(如肾脏、心血管和大脑)以排查有无TOD体征。
需要注意的重要一点是,血压应以可控的方式降低。这对于防止视神经和大脑等重要器官的缺血性损伤至关重要。
鉴别诊断
发生视盘肿胀的其他疾病包括:
- 糖尿病性视乳头病变
- 视网膜中央静脉阻塞
- 前部缺血性视神经病变
- 视神经视网膜炎
酷似慢性高血压性视网膜病变的疾病包括:
- 糖尿病性视网膜病变
- 视网膜静脉阻塞
- 高粘滞综合征
- 眼缺血综合征
- 放射性视网膜病变
预后
慢性高血压性视网膜病变很少导致显著视力丧失。当高血压得到治疗时,视网膜的改变可以停止。然而,小动脉狭窄和动静脉改变仍持续存在。对于未经治疗的恶性高血压,诊断后 2 个月内死亡率高达 50%,1 年末死亡率接近 90%。[13] 高血压性视网膜病变的视力丧失是因为长期视乳头水肿后继发性视神经萎缩,或者渗出性视网膜脱离后的视网膜色素改变。
并发症
并发症包括[14]:
- 视网膜动脉阻塞
- 视网膜静脉阻塞
- 视网膜小动脉大动脉瘤(macroaneurysms)
- 糖尿病视网膜病变 (diabetic retinopathy,DR):患者既有高血压性视网膜病变,又有DR,被称为混合性视网膜病变(mixed retinopathy)。高血压也是 DR 进展的主要危险因素。
- 前部缺血性视神经病变
- 年龄相关黄斑变性
- 青光眼
- 视网膜小动脉栓塞
- 视网膜前膜形成
- 黄斑囊样水肿
提高医疗团队的成果
高血压对多个系统产生影响,医生、医师助理、执业护士、眼科医生、肾病医生以及心脏病医生之间进行医疗协调,以确保高血压早期发现并控制以改善患者预后,这很重要。需要告知高血压患者,他们应定期与眼科医生进行随访,以进行全面的眼部评估。此外,需要对患者进行关于抗高血压药物依从性重要性的教育。[15] (V级)
预后
对于大多数患者,只要高血压得到治疗,高血压性视网膜病变就不会导致视力丧失。但是,如果血压仍未予以治疗,可能会在短时间内导致视力丧失。视力丧失的原因要么是由于视网膜色素改变,要么是继发于视神经萎缩,这两种情况都是不可逆的。[16](V级)

高血压性视网膜病变,由Pranav Modi提供
参考文献
1.Kabedi NN, Mwanza JC, Lepira FB, Kayembe TK, Kayembe DL. Hypertensive retinopathy and its association with cardiovascular, renal and cerebrovascular morbidity in Congolese patients. Cardiovasc J Afr. 2014 Sep-Oct;25(5):228-32. [PMC free article] [PubMed]
2.Henderson AD, Bruce BB, Newman NJ, Biousse V. Hypertension-related eye abnormalities and the risk of stroke. Rev Neurol Dis. 2011;8(1-2):1-9. [PMC free article] [PubMed]
3.Erden S, Bicakci E. Hypertensive retinopathy: incidence, risk factors, and comorbidities. Clin Exp Hypertens. 2012;34(6):397-401. [PubMed]
4.Chatterjee S, Chattopadhyay S, Hope-Ross M, Lip PL. Hypertension and the eye: changing perspectives. J Hum Hypertens. 2002 Oct;16(10):667-75. [PubMed]
5.Pontremoli R, Sofia A, Tirotta A, Ravera M, Nicolella C, Viazzi F, Bezante GP, Borgia L, Bobola N, Ravazzolo R, Sacchi G, Deferrari G. The deletion polymorphism of the angiotensin I-converting enzyme gene is associated with target organ damage in essential hypertension. J Am Soc Nephrol. 1996 Dec;7(12):2550-8. [PubMed]
6.Poulter NR. Independent effects of smoking on risk of hypertension: small, if present. J Hypertens. 2002 Feb;20(2):171-2. [PubMed]
7.Biesenbach G, Zazgornik J. High prevalence of hypertensive retinopathy and coronary heart disease in hypertensive patients with persistent microalbuminuria under short intensive antihypertensive therapy. Clin Nephrol. 1994 Apr;41(4):211-8. [PubMed]
8.Uckaya G, Ozata M, Sonmez A, Kinalp C, Eyileten T, Bingol N, Koc B, Kocabalkan F, Ozdemir IC. Is leptin associated with hypertensive retinopathy? J Clin Endocrinol Metab. 2000 Feb;85(2):683-7. [PubMed]
9.Del Brutto OH, Mera RM, Viteri EM, Pólit J, Ledesma EA, Cano JA, Plaza KJ, Zambrano M, Costa AF. Hypertensive retinopathy and cerebral small vessel disease in Amerindians living in rural Ecuador: The Atahualpa Project. Int J Cardiol. 2016 Sep 01;218:65-68. [PubMed]
10.Chaine G, Kohner EM. [Hypertensive retinopathy]. J Fr Ophtalmol. 1983;6(12):995-1005. [PubMed]
11.Wong TY, Klein R, Couper DJ, Cooper LS, Shahar E, Hubbard LD, Wofford MR, Sharrett AR. Retinal microvascular abnormalities and incident stroke: the Atherosclerosis Risk in Communities Study. Lancet. 2001 Oct 06;358(9288):1134-40. [PubMed]
12.Fraser-Bell S, Symes R, Vaze A. Hypertensive eye disease: a review. Clin Exp Ophthalmol. 2017 Jan;45(1):45-53. [PubMed]
13.Keith NM, Wagener HP, Barker NW. Some different types of essential hypertension: their course and prognosis. Am J Med Sci. 1974 Dec;268(6):336-45. [PubMed]
14.Bhargava M, Ikram MK, Wong TY. How does hypertension affect your eyes? J Hum Hypertens. 2012 Feb;26(2):71-83. [PubMed]
15.Wolz J, Audebert H, Laumeier I, Ahmadi M, Steinicke M, Ferse C, Michelson G. Telemedical assessment of optic nerve head and retina in patients after recent minor stroke or TIA. Int Ophthalmol. 2017 Feb;37(1):39-46. [PubMed]
16.Do DV, Wang X, Vedula SS, Marrone M, Sleilati G, Hawkins BS, Frank RN. Blood pressure control for diabetic retinopathy. Cochrane Database Syst Rev. 2015 Jan 31;1:CD006127. [PMC free article] [PubMed]
披露:Pranav Modi 声明与不符合条件的公司没有相关的财务关系。
披露:Tasneem Arsiwalla声明与不符合条件的公司没有相关的财务关系。
Copyright © 2024, StatPearls Publishing LLC.
本文翻译自Hypertensive Retinopathy - StatPearls - NCBI Bookshelf (nih.gov)

Siegrist条纹,源于 https://eyewiki.org/Siegrist_Streaks_and_Elschnig_Spots


以上三张图片源自https://www.slideshare.net/slideshow/hypertensive-retinopathy-248796921/248796921


















































