“祸从口入”为高考学子拆弹

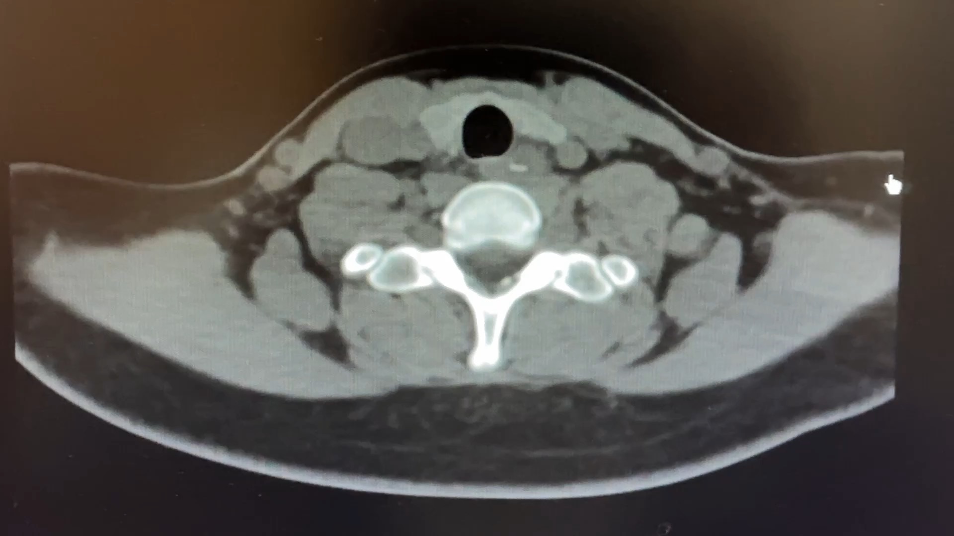
患者 女 19岁 高三学生,吃鸭肉不小心吞入🦴骨头出现异物感、胸痛1小时入院,入院后CT如下。


CT所见:食管高密度异物,有穿孔的表现,邻近血管约3mm。
急诊胃镜下顺利取出。

总结
食管异物取出前尽量不进食水,不用吃二甲硅油散和利多卡因胶浆、麻醉深度尽量深一点,看清楚刺入食管部分便于游离出食管壁,避免恶心导致异物扎更深导致二次损伤。取异物过程中尽量保护食管、可视化操作避免盲拉,咽部黏膜避免划伤、夹持不稳坠入气管。
患者 女 19岁 高三学生,吃鸭肉不小心吞入🦴骨头出现异物感、胸痛1小时入院,入院后CT如下。
CT所见:食管高密度异物,有穿孔的表现,邻近血管约3mm。
急诊胃镜下顺利取出。
总结
食管异物取出前尽量不进食水,不用吃二甲硅油散和利多卡因胶浆、麻醉深度尽量深一点,看清楚刺入食管部分便于游离出食管壁,避免恶心导致异物扎更深导致二次损伤。取异物过程中尽量保护食管、可视化操作避免盲拉,咽部黏膜避免划伤、夹持不稳坠入气管。