百日咳诊疗方案(2023年版)解读
病例介绍:
患者,女,13岁,“咳嗽伴发热2天”就诊。
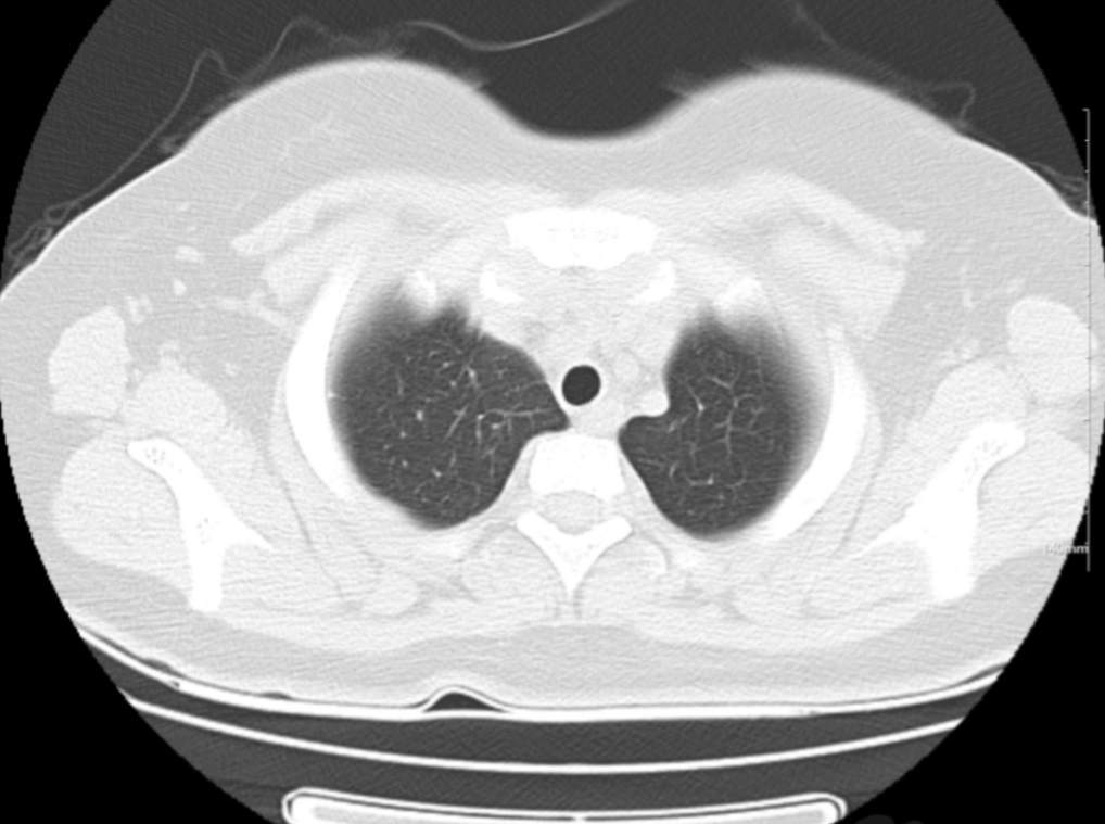
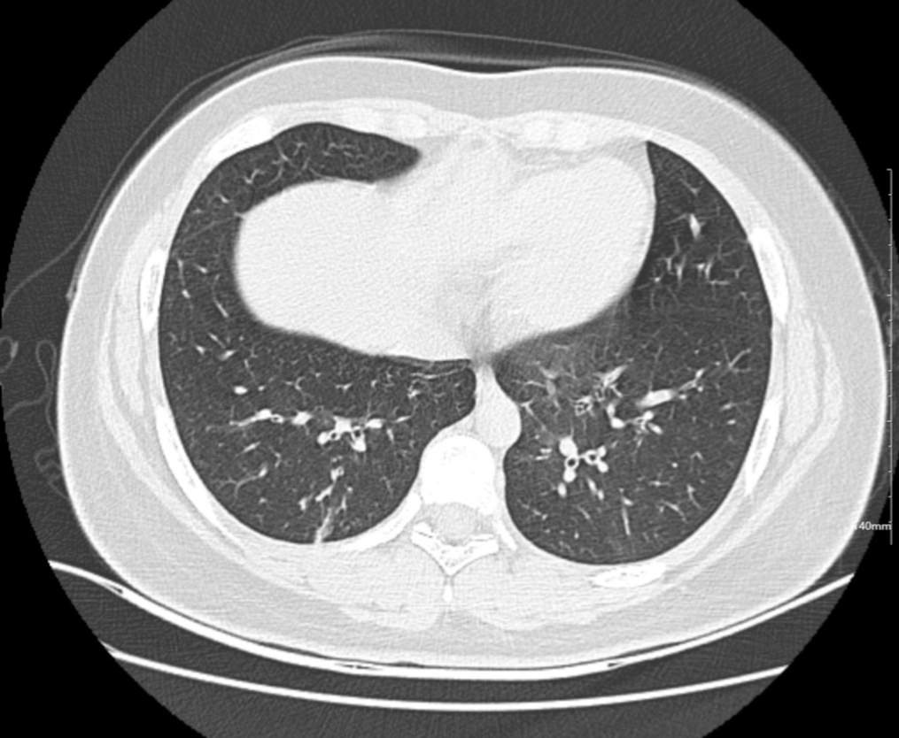
患者2天前出现阵发性咳嗽,咳绿脓痰,伴发热,体温最高达37.8℃(耳),偶有胸痛,无呼吸困难,无咯血盗汗,无寒战、惊厥,来我院门诊查胸部CT“两下肺模糊斑片影”,诊断为“肺炎”。
查体:T:37.8℃ P:96次/分 R:20次/分 BP:120/80mmHg,神志清,呼吸平稳,未见三凹征,口唇无发绀,颈静脉无怒张,两肺未闻及明显啰音,心率96次/分,心律齐,未闻及病理性杂音;腹软,双下肢无浮肿,NS(-)。
辅助检查:
血常规:白细胞17.22*10^9/L;中性粒细胞13.64*10^9/L;淋巴细胞1.77*10^9/L;嗜酸性粒细胞0.4*10^9/L;血红蛋白130g/L;血小板321*10^9/L;C反应蛋白(超敏)35.2mg/L;
生化:谷丙转氨酶 8U/L;谷草转氨酶 14U/L;乳酸脱氢酶 180U/L;肌酸激酶58U/L;肌酐 44μmol/L;尿素氮 2.23mmol/L;白蛋白 40.0g/L;钾3.23mmol/l;钠142.2mmol/l;磷1.18mmol/l;
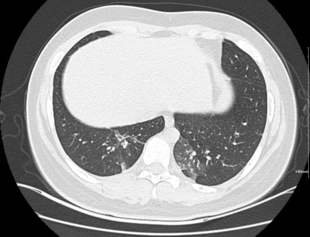
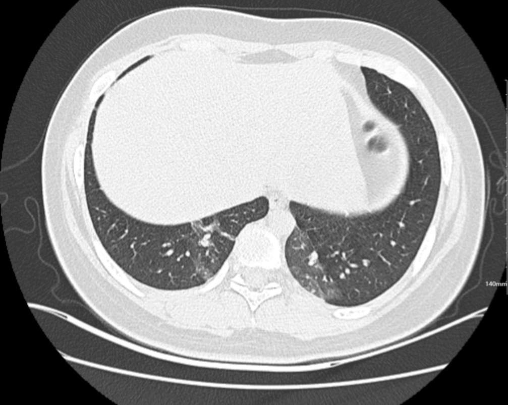
肺部CT:

















辅助检查:
呼吸道病毒谱核酸:腺病毒+,鼻病毒+,流感病毒、新冠病毒、呼吸道合胞病毒、肺炎支原体均阴性。
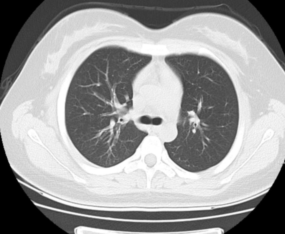
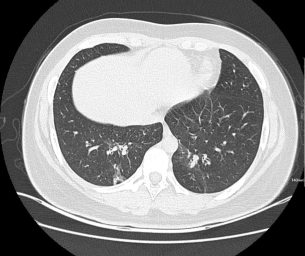
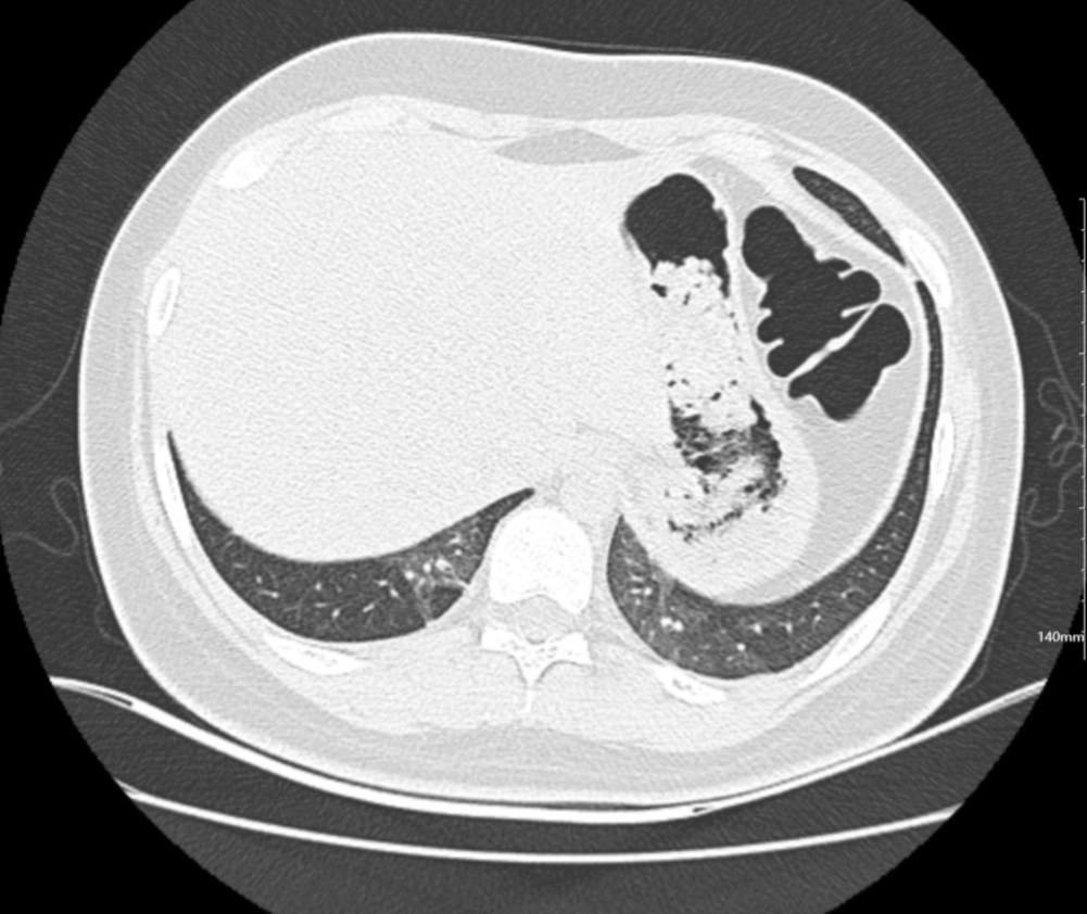
腺病毒肺炎大部分见于男性,显示双侧多灶性 GGO,图像上有斑片状实变,可能显示肺叶或节段性分布,提示支气管肺炎,类似于细菌性肺炎。过度充气和肺叶不张在婴儿和儿童中很常见。腺病毒肺炎的长期后遗症,如支气管扩张、闭塞性细支气管炎、单侧肺透亮综合征(Swyer-James-Macleod)等。
Koo H J , Lim S , Choe J , et al. Radiographic and CT Features of Viral Pneumonia[J]. Radiographics, 2018, 38(3):719-739.

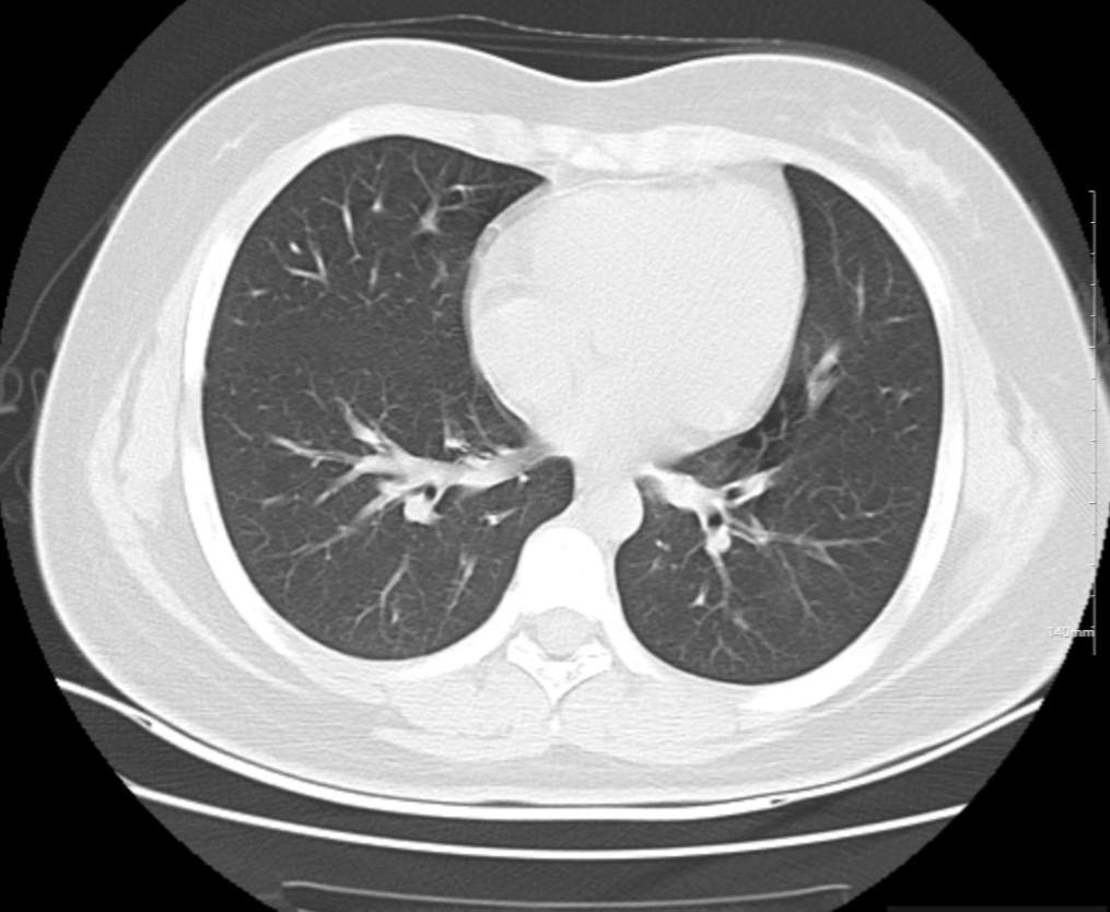
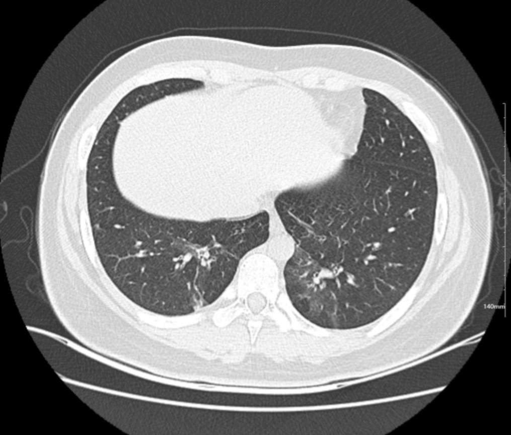
人类鼻病毒是呼吸道感染的主要病原体,在18%–26%的小儿患者和2%–17%的成年患者中有社区获得性感染性肺炎。鼻病毒是四季普通感冒的主要原因,但在春季和秋季更常见。在人鼻病毒A(18.6%),人鼻病毒B(21.4%)和人鼻病毒C(20.0%)之间,重症肺炎的发生率没有差异。
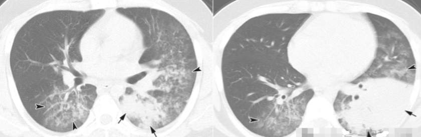
由鼻病毒引起的肺炎显示多个边界不清的GGO斑片状区域(箭),两肺小叶间隔增厚(箭头)。
图示为典型的鼻病毒性肺炎的CT表现。
Koo H J , Lim S , Choe J , et al. Radiographic and CT Features of Viral Pneumonia[J]. Radiographics, 2018, 38(3):719-739.

辅助检查:
该患者百日咳核酸:阳性。
诊断为:百日咳肺炎,腺病毒感染,鼻病毒感染,予阿奇霉素针抗感染治疗后体温恢复正常。

疾病概述
百日咳近年发病率
百日咳去年同期(2023年2月)发病例的538例到今年(2024年2月)的17105例,病死例也从去年2月的0例今年同期增长为8例。
中国疾病预防控制中心免疫规划中心数据,我国近几年百日咳发病率呈现明显上升趋势(见图1):2018 年、2019年、2020年、2021年报告发病率分别为1.59(22057例)、2.15(30027例)、0. 32(4475 例) 、0. 68(9611 例) ,较2015-2017年年均报告发病率0.55/10万分别上升了189. 09%、290.91%、-41. 82%(疫情防护)、23. 64%。

图1中国 2000-2021年百日咳报告病例数和发病率
百日咳发病率增多原因
现在检测技术的发展和接种疫苗后产生的免疫力衰减外还可能存在着群众对于“百日咳”的不了解,不能及时至医院就诊从而造成了小范围内的传播。
百日咳是什么病?
百日咳(Pertussis,Whooping Cough)是由百日咳鲍特菌(Bordetella Pertussis)感染引起的急性呼吸道传染病。属乙类传染性疾病。
百日咳鲍特菌, 又称百日咳杆菌, 属伯克霍尔德菌目,产碱杆菌科, 鲍特菌属。 百日咳鲍特菌为专性需氧菌, 革兰染色阴性, 为两端着色较深的短杆菌, 无鞭毛。
百日咳鲍特菌对理化因素抵抗力弱, 56℃ 30 分钟、 日光照射 1 小时、 干燥 3~5 小时可灭活, 对紫外线和一般消毒剂敏感。
百日咳传播途径
空气飞沫传播,当患者咳嗽、打喷嚏时会释放含有病原体的飞沫,他人吸入后易感染。以潜伏期(一般为7-14天)末到病后卡他期 2~3 周内传染性最强。发病年龄高峰从婴幼儿转移至青少年及成年人,青少年及成年人成为婴儿百日咳的主要传染源。
密切接触的传播,百日咳也可以通过直接接触患者的呼吸道分泌物传播,如亲吻或与感染者共用物品,尤其在家庭和集体生活环境中,密切接触增加了传播的风险。
百日咳合并感染多见
百日咳组婴儿检测出2种及2种以上病原阳性的比例高达56.9%(37/65),明显高于非百日咳组的15.1%(8/53);常见的混合感染病原为人鼻病毒/肠病毒(38.5%)、副流感病毒(18.5%)、呼吸道合胞病毒(10.8%)、冠状病毒(10.8%)和腺病毒(7.7%);百日咳发生混合感染四季均常见,以冬季最高(63.2%)。混合感染时患儿可出现发热和呼吸困难等表现,掩盖百日咳典型征象。
百日咳症状
卡他期(持续 1~2 周)的症状
咳嗽症状持续:
卡他期的初期咳嗽不剧烈, 随后进行性加重, 阵发性、 痉挛性特征逐渐明显.如无合并感染痰非脓性。
发热:
多无发热,或初期一过性发热
传染性极强:
表现为流涕、打喷嚏、流泪、咽痛、阵发性咳嗽等上呼吸道感染症状。
痉咳期临床表现(一般持续 2~6 周,亦可长达 2 个月以上)
1、咳嗽频繁
在痉咳期,特征性吸气性高调鸡鸣样回声。突然发作的连续数次呼气相咳嗽后伴有 1 次深长吸气。昼轻夜重,睡眠期间痉挛性咳嗽更为突出。

感染了百日咳的婴儿
2、肺部体征不明显
患儿肺部体征不明显, 肺部影像学也多没有明显异常。
3、频繁痉挛性咳嗽可由进食、 大笑或哭闹引起
昼轻夜重, 咳非脓性黏液痰, 伴有咳嗽后呕吐。常在咳嗽后出现呕吐,可致舌系带溃疡,面部、眼睑浮肿,眼结膜出血,鼻衄,重者颅内出血。
4、不同年龄段症状表现不同
新生儿和 6 月龄以下婴儿咳嗽后常会引起发绀、呼吸暂停、惊厥、心动过缓或心脏停搏。
青少年或成人百日咳患者,常无典型痉咳,表现为阵发性咳嗽和暂时性缓解交替。持续 2~3 周。
恢复期(持续数周或数月)
痉咳逐渐缓解,咳嗽强度减弱,发作次数减少,鸡鸣样吼声逐渐消失。
并发症
一、肺炎
多见于新生儿和 6 月龄以下婴儿,以肺炎最常见,亦可并发肺不张、气胸、纵隔气肿、皮下气肿、肺动脉高压、窒息和脑病等。
肺炎可原发于百日咳,也可继发于其他病毒(腺病毒、呼吸道合胞病毒)或细菌(肺炎链球菌、金黄色葡萄球菌、流感嗜血杆菌)感染。
二、其他并发症
肺动脉高压:可见于少数患儿,严重者可导致猝死。
百日咳脑病:主要发生于痉咳期,可表现为惊厥、抽搐、高热、昏迷等。恢复后可能会遗留偏瘫等神经系统症状。
重症百日咳
(1)百日咳患儿出现以下任意一条者即可诊断重症百日咳:
①精神萎靡,不能正常饮食或明显减少;
②频发发绀或窒息,抽搐,或疑诊百日咳脑病;
③持续存在气促,呼吸>70 次/min、心率>180 次/min;
④频繁出现或持续存在的低氧血症;
⑤WBC≥30×10^9/L,且具有肺动脉高压。
(2)百日咳患儿出现1个或多个器官功能障碍即可诊断危重症百日咳(临终状态的脏器功能衰竭不属于器官功能障碍的范畴)。
高风险百日咳
(1)低龄(≤3月龄);
(2)未接种或未全程接种含百日咳成分的疫苗;
(3)早产、低出生体重或新生儿Apgar评分<8;
(4)存在先天性心脏病等基础疾病者;
(5)WBC计数超过>20×10^9/L;
(6)发病后出现过呼吸暂停或发绀;
(7)混合感染或合并肺炎;
(8)免疫接种史不明确的来自农村地区的患儿;
(9)父母(或照顾者)受教育程度低,不能理解病情观察和实施一般呼吸道管理。
婴儿百日咳重症和死亡风险因素评估表

注:WBC:白细胞;NO:一氧化氮;ECMO:体外膜氧合;本表未罗列>1岁儿童百日咳重症或死亡的风险因素
检测与诊断
病原学检查方法
1、细菌培养鉴定
细菌培养:鼻咽部分泌物可培养到百日咳鲍特菌。卡他期或痉咳期早期鼻咽拭子标本阳性率高,病程3周以后阳性率较低。对于实验室要求高,基层医院难以达到条件。
2、分子生物学检测
核酸检测:鼻咽拭子或者鼻咽洗液标本中百日咳鲍特菌核酸检测阳性,发病3周内阳性率高。
3、血清学检查
血清学检查:末次接种含百日咳成分疫苗间隔超过1年的病例,单份血清百日咳鲍特菌特异性 PT-IgG 浓度超过诊断急性感染的标准阈值,对于咳嗽≥2~3周的百日咳病例诊断价值大。恢复期血清 PT-IgG抗体滴度较急性期呈4倍及以上升高(排除近期接种过疫苗),适用于回顾性诊断。
血常规检查指标
白细胞计数:在卡他期末及痉咳期可见白细胞增多,痉咳期最明显,多为(20~50)×10^9 /L,少数可达 70×10^9 /L 以上,以淋巴细胞为主,多见于婴幼儿。
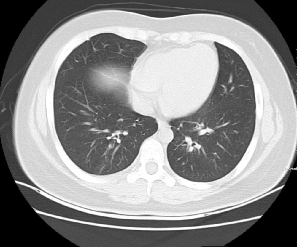
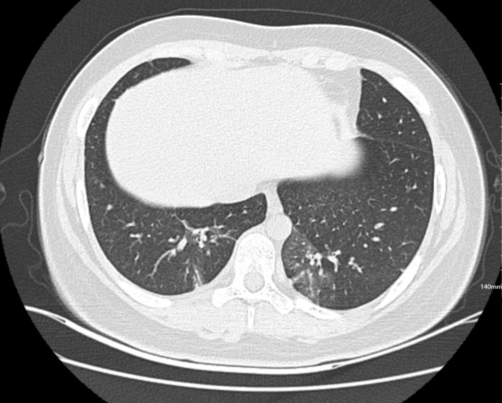
百日咳肺炎CT 表现
支气管血管束增粗且伴 < 2 个肺叶的磨玻璃密度影, 多提示为单纯性百日咳肺炎。(下图:支气管血管束增粗, 两肺下叶基底段少许磨玻璃密度影)
如出现肺内支气管血管束增粗, 伴≥3 个肺叶斑片影、亚段性实变及支气管气象时, 提示患儿病情较重,可能合并其他感染。

疑似病例:具有以下任一项者:
1.阵发性痉挛性咳嗽,病程≥2周;
2.婴儿有反复发作的呼吸暂停、窒息、紫绀和心动过缓症状,或有间歇的阵发性咳嗽,有百日咳流行病学暴露史或者确诊病例接触史;
3.大龄儿童、青少年、成人持续 2 周以上咳嗽,不伴发热,无其他原因可解释,有百日咳流行病学暴露史或者确诊病例接触史。
临床诊断病例:具有以下任一项者:
疑似病例,且外周血白细胞和淋巴细胞增多,明显高于相应年龄正常范围;
阵发性痉挛性咳嗽,病程≥2 周,与百日咳确诊病例有明确的流行病学关联(与首发或者继发病例发病间隔 5~21天)。
确诊病例(疑似病例或临床诊断病例,具有以下任一项者)
1.培养到百日咳鲍特菌;
2.百日咳鲍特菌核酸检测阳性;
3.PT-IgG 抗体阳性或恢复期较急性期滴度呈 4 倍及以上升高(排除婴幼儿 1 年内接种含百日咳成分疫苗或既往感染)。
鉴别诊断
1、百日咳样综合征
副百日咳杆菌、 呼吸道合胞病毒、 腺病毒及其他呼吸道病毒、 肺炎支原体、 肺炎衣原体等引起的呼吸道感染, 部分患者临床表现、 血常规、 肺部影像学表现可与百日咳类似。鉴别主要依靠病原学检查。
2、慢性咳嗽
支气管淋巴结结核、 气管支气管异物及其他病因引起的慢性咳嗽, 也可引起刺激性阵发性咳嗽, 但通常无典型咳嗽末吸气性鸡鸣样吼声。可根据血常规、 肺部影像学、 病原学进行鉴别。
治疗与预防
抗生素治疗
以往指南首推大环内酯类抗生素抗感染治疗。
阿奇霉素:<6 月龄婴儿 10 mg/kg/d, 疗程 5 天;≥ 6 月龄儿童第一天 10mg/kg( 最大剂量不超过500mg) , 顿服, 第 2~5天, 5mg/kg/d( 最大剂量不超过 250mg) , 顿服, 疗程 5 天;
成人第一天 500mg, 第 2~5 天, 250mg/d, 疗程 5 天。
据姚开虎教授课题组数据131例百日咳鲍特菌对于红霉素全部耐药,并且短疗程治疗难以完全清除百日咳鲍特菌。
首选甲氧苄啶-磺胺甲噁唑(Trimethoprim-Sulfamethoxazole,TMP-SMZ,复方新诺明)(2月龄以上患儿剂量为4/20mg/kg.次,每日2次;成人剂量160 /800mg/次,每日2次),14天疗程
如不能使用TMP-SMZ,可尝试选用β-内酰胺类抗菌药物(推荐哌拉西林他唑巴坦、头孢哌酮舒巴坦14天疗程;
喹诺酮类、四环素类抗菌药物个案有效,待数据完善。
抗生素不良反应管理:
TMP-SMZ禁忌症:过敏、妊娠、母乳喂养、2月龄以下,G6PD酶缺乏者(蚕豆病)、严重肝肾疾病、既往使用TMP-SMZ后出现血液疾病史、叶酸缺乏者、其他药物相互作用者(如,口服抗凝药(华法林)、环孢素、口服降糖药、利福平、氨苯砜、苯妥英、乌洛托品、血管紧张素转换酶抑制剂等)。
对症治疗:3种对症治疗药物(苯海拉明、地塞米松和沙丁胺醇)并没有预期效果。
重症百日咳的治疗
高WBC血症治疗、肺动脉高压治疗、免疫球蛋白治疗和糖皮质激素治疗等措施对重症患儿的干预效果和时机,以缓解病情或阻止病情进一步恶化。
通过交换输血来减少WBC计数预防死亡是一个合乎逻辑的方法,但病例对照研究没有显示确定的效果,Cherry的观察研究发现,换血治疗10例患儿,其中5例死亡,5例存活,2组患儿WBC峰值相似。
对危重症百日咳来说,重点要研究机械通气和ECMO等体外生命支持治疗措施的使用时机,以阻止疾病进展至临终状态的脏器功能衰竭,避免死亡。
百日咳的预防
公共卫生防控
疫苗:
我国使用的疫苗是白喉类毒素、 无细胞百日咳菌苗、 破伤风类毒素( DTaP) 三联疫苗。接种时间为 3 月龄、4 月龄、 5 月龄, 18 月龄时各接种 1 剂次。
通常疫苗接种 3~5年后保护性抗体水平下降, 12 年后抗体几乎消失(成人疫苗国内未上市)。
及时隔离患者:
隔离期为有效抗感染治疗后5天,未治疗者为痉咳后21天。
做好住院患者所在房间通风, 并按照《医疗机构消毒技术规范》 做好房间物体表面的清洁和消毒。接触患者时佩戴医用防护口罩, 并严格执行手卫生。
药物预防
对于接触史的以下人员建议药物预防(建议暴露后1~2 周内,药物预防剂量及疗程同治疗)。
未全程接种含百日咳成分疫苗的婴幼儿、家庭内和托幼机构的密切接触者、有明确接触史的幼托机构工作人员、婴幼儿看护者、新生儿病房医务人员。
















































