dxy logo
首页丁香园病例库全部版块
搜索
登录

病例【心胸】特别精彩病例|下胸部疼痛3天,这个肺气肿怎么啦

影像核医学版版主 · 发布于 2024-05-11 · IP 江西江西
1260 浏览
icon李梦杰huxi 等 4 位达人已点赞
这个帖子发布于 1 年零 197 天前,其中的信息可能已发生改变或有所发展。

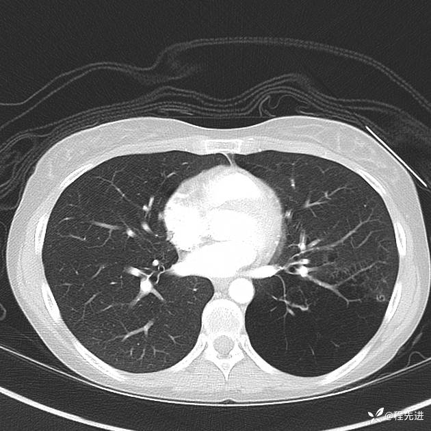
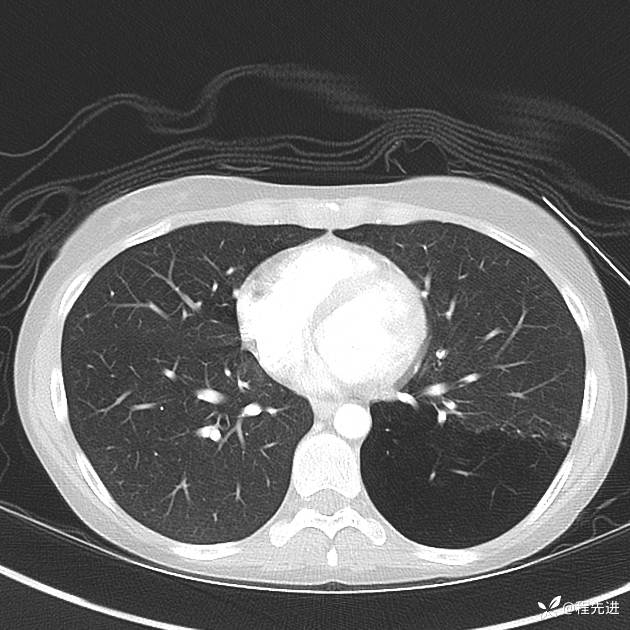
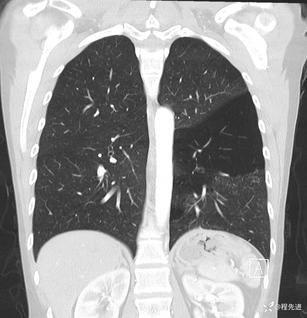
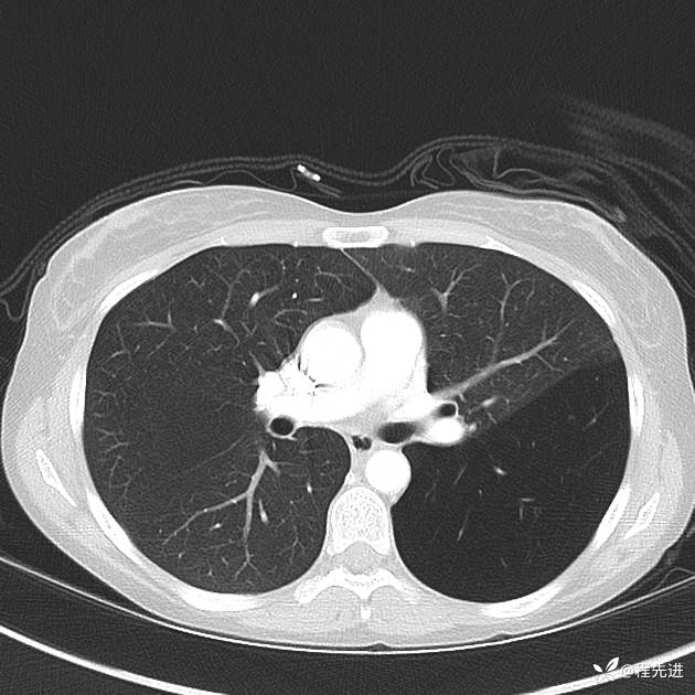
病例信息

患者性别:女

患者年龄:25岁

简要病史:下胸部疼痛3天

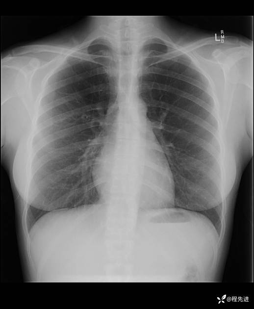
DR:

img

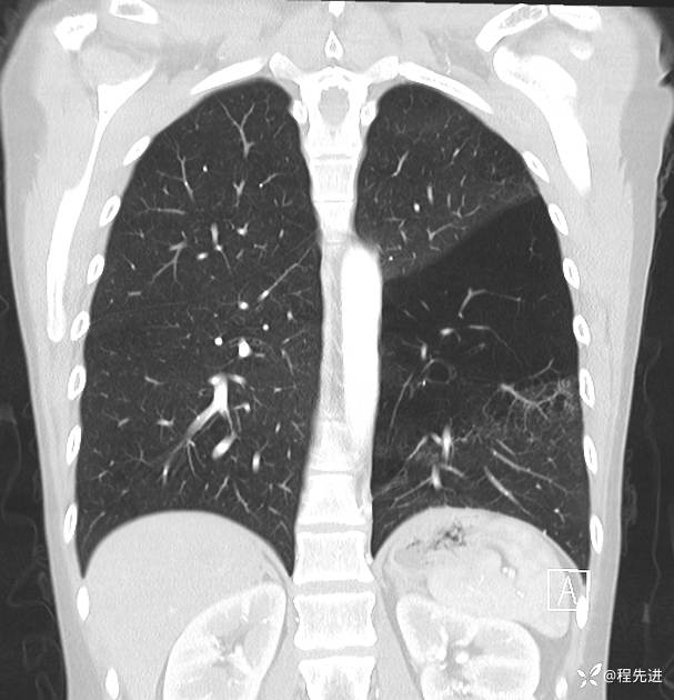
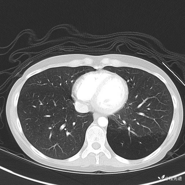
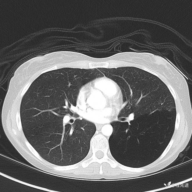
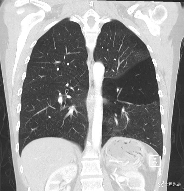
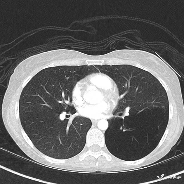
CT增强:

img
img
img
img
img
img
img
img
img
img
img
img
img
img
img
img
img

期待您的点赞支持!

期待您的精彩解读!

肺气肿 (111)
纠错
22 6 31
同行评议(0)
已评议
不开通精选
开通精选
精选已授权,待上线
评议结果暂未公布
参与评议
去邀请
NaN
病例完整NaN
临床实用NaN
诊疗科学NaN
学术价值NaN

全部讨论(0)

默认最新
avatar
22
分享帖子
share-weibo分享到微博
share-weibo分享到微信
认证
返回顶部