探案丨大好青年被夺走光明,谁是罪魁祸首?
沫沫沙鸥 达人已点赞一、病史简介
患者男性,20岁,江西人,2022-06-29入住我院感染病科。
主诉:发热盗汗4月,左眼视力丧失、腹痛3月。
现病史:
- 2022年2月起 无诱因出现发热,Tmax 38℃,伴夜间盗汗,无咳嗽咳痰咯血气促等,未诊治。
- 2022年3月初 自觉左眼球突出伴疼痛,左眼视力进行性下降,至3月下旬左眼彻底失明;右眼正常。就诊于南昌某眼科医院,检查:左眼全周睫状体脱离,眼部MRI:左眼脉络膜黑色素瘤可能。转诊至南昌某三甲医院,行头颅增强MRI:左侧眼底占位,考虑肿瘤性病变,原发性黑色素瘤可能性大。全身骨显像:T12-L2、右侧第7后肋、左侧第5肋椎关节代谢异常活跃。胸腹增强CT:两肺散在结节,两侧胸膜增厚并多发结节、团块影,考虑转移瘤,纵隔及右侧腋窝淋巴结增大、转移瘤可能;腹膜增厚,腹盆腔、腹膜后多发结节,提示肿瘤转移。
- 2022-03-30 行CT引导下胸膜结节穿刺活检,病理:(胸膜肿块)肉芽肿性炎,坏死组织中见个别可疑阳性杆菌,特殊染色:PAS(-)、抗酸染色(±)。2022-04-03查T-SPOT A/B :43/>50(阴性对照/阳性对照: 0/>100),考虑结核感染可能、左眼原发性黑色素瘤不除外。2022-04-05复查头颅增强MRI:左侧眼底占位,考虑肿瘤性病变,原发性黑色素瘤可能大,双侧大脑半球脑白质内少许缺血样病灶。
- 2022-04-07 转诊至江西省胸科医院,予异烟肼、利福平、乙胺丁醇、吡嗪酰胺标准四联抗结核,因恶心、呕吐等胃肠道反应较大停乙胺丁醇及吡嗪酰胺。2022-04-11 出现腹胀腹痛,伴排气排便停止,考虑肠梗阻,予禁食、停所有口服药物,异烟肼、利福平、左氧氟沙星、阿米卡星静滴抗结核,腹痛逐渐好转,排便排气恢复正常。2022-04-24 行支气管镜,刷检未见肿瘤细胞,支气管肺泡灌洗液Xpert.RIF/MTB:检出结核分枝杆菌复合群,极低浓度;利福平耐药基因未检出。予异烟肼、利福平、吡嗪酰胺、左氧氟沙星口服出院。
- 2022-05-30 再发腹胀腹痛,排气排便尚可,左眼疼痛加重伴溢脓,再次就诊于江西省胸科医院,查血肌酐明显升高:327.6μmol/L,抗结核方案调整为异烟肼、利福喷丁、吡嗪酰胺。腹痛无好转,2022-06-12 转入江西省人民医院住院,予禁食、胃肠减压、补液等治疗后,腹痛腹胀好转,抗结核方案调整为异烟肼、利福平、左氧氟沙星。06-19 复查血肌酐下降至:168μmol/L,半流质饮食,进食后仍腹胀,无腹痛,排气排便通畅。为进一步明确眼部病灶、腹痛原因及治疗来上海就诊,2022-06-29收入我院感染病科。
- 患病以来,精神夜眠可,胃纳差,小便无殊,偶有排气排便停止,体重近5月下降9kg。
既往史:否认高血压、糖尿病等慢性病史。
二、入院检查(2022-06-29)
【体格检查】
- T 36.5℃ P 100次/分 R 20次/分 BP 108/75mmHg
- 神志清,精神萎,消瘦体型(身高170cm,体重40kg,BMI 13.8),全身皮肤无黄染,浅表淋巴结无肿大。左眼充血、失明,无明显溢脓,瞳孔对光反射消失。颈软,双肺呼吸音清。心瓣膜区未及杂音。腹稍膨隆,质韧,无压痛,无反跳痛及肌卫,肝脾肋下未及,肝肾区无叩击痛,肠鸣音4次/分,四肢脊柱无畸形,双下肢不肿,脑膜刺激征阴性。
【实验室检查】
- 血常规:WBC 8.31X10^9/L,N 77.4%,Hb 90g/L,PLT 213X10^9/L;
- 炎症标志物:hs-CRP 41.8mg/L,ESR 26mm/H,PCT 0.32ng/mL;
- 肝肾功能:ALT/AST 10/17 U/L,LDH 203 U/L,白蛋白 46g/L,尿素 8.2mmol/L, sCr 206μmol/L,空腹血糖 4.3mmol/L;
- 粪常规(-);
- 尿常规:蛋白 2+,葡萄糖 3+,白细胞酯酶: 阴性,红细胞计数: 1/μL,白细胞计数: 8/μL,细菌计数: 0/μL ;
- T-SPOT A/B :40/72(阴性对照/阳性对照: 0/180);隐球菌荚膜抗原、G试验、GM试验、EBV-DNA、 CMV-DNA均阴性;
- 细胞免疫:CD4淋巴细胞计数 382cells/μL,CD4/CD8 1.9;
- 肿瘤标志物:胃泌素释放肽前体 169pg/mL,鳞状上皮细胞癌抗原 7.2ng/mL,其余(-);
- 自身抗体:抗核抗体 颗粒1:100,其余(-);
- 甲状腺功能(-)。
【辅助检查】
- 06-29 心电图:窦性心动过速。
- 06-29 心超:静息状态下超声心动图未见异常。
三、临床分析
患者20岁男性,发热盗汗5月,左眼失明、间歇性腹胀腹痛3月,入院查hs-CRP、ESR升高。综合目前资料,诊断和鉴别诊断考虑如下:
- 播散性结核感染累及左眼、肺、胸膜、腹腔、骨、淋巴结:青年男性低热、盗汗、消瘦、腹胀腹痛、左眼失明,T-SPOT A/B :40/72 ,外院CT提示双肺、胸膜多发结节团块影,腹膜增厚,纵隔、腋窝淋巴结增大,骨显像提示胸腰椎及肋骨代谢异常活跃;支气管肺泡灌洗液Xpert.RIF/MTB:检出结核分枝杆菌复合群;胸膜活检病理为肉芽肿性炎,抗酸染色(±)。如从一元论角度出发,首先考虑结核感染累及左眼、肺、胸膜、腹腔、骨、淋巴结。外院抗结核治疗两月余,效果欠佳,可能与患者辗转多家医院、频繁更换抗结核方案、治疗欠规范、缺乏强效抗结核治疗有关,也和患者结核感染严重、就诊不及时、发现晚、故治疗非常困难相关。后续应予强效、规范抗结核治疗,可考虑完善PET/CT评估结核病灶全身累及范围,并注意肠梗阻等并发情况的处理。
- 结核感染累及肺、胸膜、腹腔、骨、淋巴结,合并左眼肿瘤:外院多次MRI均提示左眼黑色素瘤,从一元论考虑,黑色素瘤的可能性小,但不能完全排除结核感染合并左眼肿瘤可能,入院后可完善PET/CT以资鉴别,必要时完善眼部活检明确诊断。
四、进一步检查、诊治过程和治疗反应
- 2022-06-30 予异烟肼0.3g qd+利福平0.45g qd+利奈唑胺0.6g qd po+莫西沙星0.4g qd ivgtt抗结核,安素口服加强肠内营养。泌尿系彩超:双肾皮质回声增强。
- 2022-06-30 眼科会诊:左眼结膜睫状充血,角膜明,前房Tyn(+++),瞳孔后粘连,晶状体混,眼底窥不清。考虑左眼视网膜脱落、脉络膜脱落可能大、葡萄膜炎、白内障,不考虑左眼肿瘤;左眼预后差,有眼球萎缩风险,予妥布霉素地塞米松滴眼。
- 2022-07-01 血NGS回报(06-29 采样):检出结核分枝杆菌复合群核酸序列9条。因患者无咳嗽咳痰,未送检痰病原学检查。

- 2022-07-01 完善PET/CT:结合病史,考虑为肉芽肿性病变广泛累及左侧眼球、胸内及右侧腋窝淋巴结、两肺、双侧胸膜及腹盆腔腹膜可能,请结合临床;双侧胸腔及腹、盆腔少量积液。考虑全身播散性结核感染。

- 2022-07-01 外院胸膜活检病理切片我院病理科会诊:(胸膜肿块)经油镜仔细查找,查见约4条抗酸杆菌阳性菌,符合肉芽肿性炎;特殊染色:抗酸(+)。

- 2022-07-06 仍有进食后腹胀,普外科会诊考虑不全性肠梗阻,建议继续抗结核,随访腹盆CT,如梗阻症状加重,予禁食、胃肠减压、补液等。
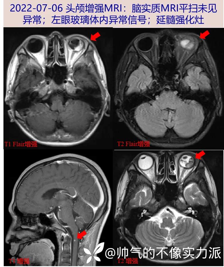
- 2022-07-06 完善头颅增强MRI:脑实质未见异常;左眼玻璃体内异常信号;延髓强化灶。神经内科会诊考虑延髓病变待查,予加用维生素B1、B12各1支qd肌注,必要时完善腰椎穿刺。

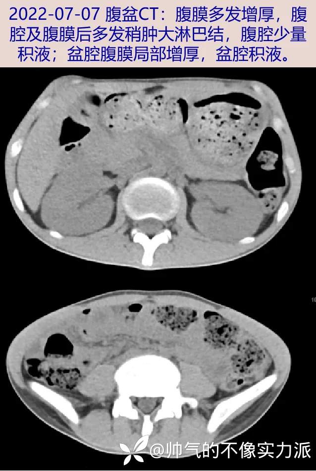
- 2022-07-07 随访腹盆CT:腹膜多发增厚,腹腔及腹膜后多发稍肿大淋巴结,腹腔少量积液;盆腔腹膜局部增厚,盆腔积液。

- 2022-07-07 粪mNGS回报(07-02 采样):未检出结核分枝杆菌复合群核酸序列。
- 2022-07-12 腹胀好转,无腹痛,无发热,复查血常规:WBC 6.28×10^9/L,N 75%,ESR 14mm/H,hs-CRP 8.1mg/L,PCT 0.22ng/mL,血液指标基本正常,肾功能较前好转:肌酐 181μmol/L。予出院,继续异烟肼0.3g qd+利福平0.45g qd+利奈唑胺0.6g qd+莫西沙星0.4g qd po抗结核,门诊随访。
出院后随访
- 出院后继续异烟肼0.3g qd、利福平0.45g qd、利奈唑胺0.6g qd、莫西沙星0.4g qd po抗结核至今;
- 2022-08-10 复查胸部CT:两肺感染,考虑肉芽肿性病变累及胸膜;纵隔肿大淋巴结,两侧少量胸腔积液。腹盆CT:腹膜多发增厚,腹腔及腹膜后多发稍肿大淋巴结,腹盆腔少量积液,盆腔囊性灶,较2022-7-7片大致相仿。
- 2022-11-17 随访胸部CT:两肺感染,考虑肉芽肿性病变累及胸膜,较前22-08-10整体好转,个别新增或扩大。腹盆CT:腹膜多发增厚,腹腔及腹膜后多发稍肿大淋巴结,盆腔囊性灶较前22-08-10缩小,盆腔少量积液。左眼仍为失明状态,无疼痛、溢脓,眼科门诊随访建议结核感染控制后择期行整形手术。
- 2023-01-09 复查胸部CT:两肺感染,考虑肉芽肿性病变累及胸膜,纵隔肿大淋巴结,两侧少量胸腔积液,较前22-11-17总体好转。腹盆CT:腹膜多发增厚,腹腔及腹膜后多发稍肿大淋巴结,较前(22-11-17)好转。
- 2023-03-08 腹胀腹痛明显好转,逐步恢复正常饮食,未再发肠梗阻,无发热盗汗,体重较出院前增长12kg(身高170cm,体重52kg, BMI 17.9);随访WBC 7.26×10^9/L,N 55.9%,ESR 5mm/H,hs-CRP 10.8mg/L ;肾功能恢复正常, sCr 86μmol/L ;胸部CT:两肺感染,考虑肉芽肿性病变累及胸膜,纵隔肿大淋巴结,两侧少量胸腔积液,较前23-01-09稍有吸收。腹盆CT:腹膜多发增厚,腹腔及腹膜后多发稍肿大淋巴结,部分病灶较前23-01-09稍好转。




五、最后诊断与诊断依据
最后诊断:
- 播散性结核感染累及左眼、肺、胸膜、腹腔、骨、淋巴结
诊断依据:
20岁男性,慢性起病的低热、盗汗、消瘦、腹胀腹痛,左眼失明,T-SPOT A/B :40/72 ;支气管肺泡灌洗液Xpert.RIF/MTB:检出结核分枝杆菌复合群;胸膜活检病理:查见约4条抗酸杆菌阳性菌,符合肉芽肿性炎,抗酸染色(+);血NGS检出结核分枝杆菌复合群核酸序列9条;PET/CT提示为肉芽肿性病变广泛累及左侧眼球、胸内及右侧腋窝淋巴结、两肺、双侧胸膜及腹盆腔腹膜可能。经异烟肼、利福平、利奈唑胺、莫西沙星强效抗结核后腹胀腹痛好转,从半流质饮食恢复为正常饮食,左眼疼痛好转、未再溢脓,无发热盗汗,体重增加、营养状态明显好转、贫血纠正,炎症标志物较前下降,随访胸腹盆CT见双肺及胸膜病灶逐步好转,腹膜增厚、腹盆腔肿大淋巴结也逐步好转。综上所述,考虑播散性结核感染累及左眼、肺、胸膜、腹腔、骨、淋巴结诊断成立。
六、经验与体会
- 结核分枝杆菌(Mycobacterium tuberculosis,MTB)是一种古老而常见的病原体,最常见的感染部位是肺。在肺外结核中,眼结核相对较少见。不同国家地区的流行病学数据稍有差异,印度的一项纳入了1005例患者的研究显示1.39%的患者眼部受累及,美国的一项纳入了10524例患者的研究显示1.4%患者眼部受累及,而在中国,眼结核在所有结核感染患者中的占比可达4%。2005年中国一项纳入了1752例葡萄膜炎患者的研究显示,0.7%的葡萄膜炎是由结核感染所致。本案例患者以低热盗汗为首发症状,但未予重视,错过了早诊断早治疗的好时机,等到发现时已是全身播散性结核,最终左眼失明,造成了难以挽回的损失,对患者今后的生活质量、身心健康影响很大,非常可惜。这也提示我们临床医生需要有全局观,对于局灶病损,要考虑到是否为全身系统性疾病累及,及时、全面地进行排查。
- 腹腔结核可累及腹腔各脏器、腹腔淋巴结、腹膜,可表现为腹胀腹痛、腹部包块、恶心呕吐、停止排气排便,伴发热、盗汗、消瘦等全身消耗症状。腹腔结核易形成腹腔内器官广泛粘连,常引起不同程度的肠梗阻,在规范、强效抗结核的同时,还应予充分的营养支持(必要时肠外营养),积极纠正低蛋白血症、贫血,维持水电解质平衡。对内科保守治疗无效、或内科治疗后梗阻反复发作者,应外科手术。本案例患者收入我科后予异烟肼、利福平、利奈唑胺、莫西沙星强效抗结核,同时予安素肠内营养,患者的全身情况显著好转,腹胀腹痛也逐步减轻,从半流质过渡到正常饮食,内科保守治疗获得了比较令人满意的效果。
- 利奈唑胺属恶唑烷酮类抗菌药物,具有强大的抗分枝杆菌作用,其抗结核分枝杆菌的最低抑菌浓度(MIC)值为0.125~1 mg/L。荟萃分析结果显示,在广泛耐药结核病(extensively drug-resistant TB,XDR-TB)患者中,利奈唑胺治疗组的痰培养阴转率和治疗成功率分别达到93.2%和67.4%。我国的一项回顾分析显示,使用含利奈唑胺的方案可以使XDR-TB患者获得良好治疗结果的可能性几乎高出27倍。本案例患者在江西当地辗转于四家医院,先后使用利福平、利福喷丁、异烟肼、乙胺丁醇、吡嗪酰胺、左氧氟沙星、阿米卡星等多种抗结核药物,疗效不是非常令人满意,故我们考虑耐药结核病可能,给予异烟肼、利福平、利奈唑胺、莫西沙星方案,取得了较好的临床疗效,同时患者也未发生骨髓抑制、神经毒性等药物不良反应,再次验证了利奈唑胺在难治性结核病诊疗中的重要价值与地位。
















































