dxy logo
首页丁香园病例库全部版块
搜索
登录

病例体检胃肠镜检查重要性

消化内科医师 · 发布于 2024-04-06 · IP 福建福建
6392 浏览
这个帖子发布于 1 年零 232 天前,其中的信息可能已发生改变或有所发展。

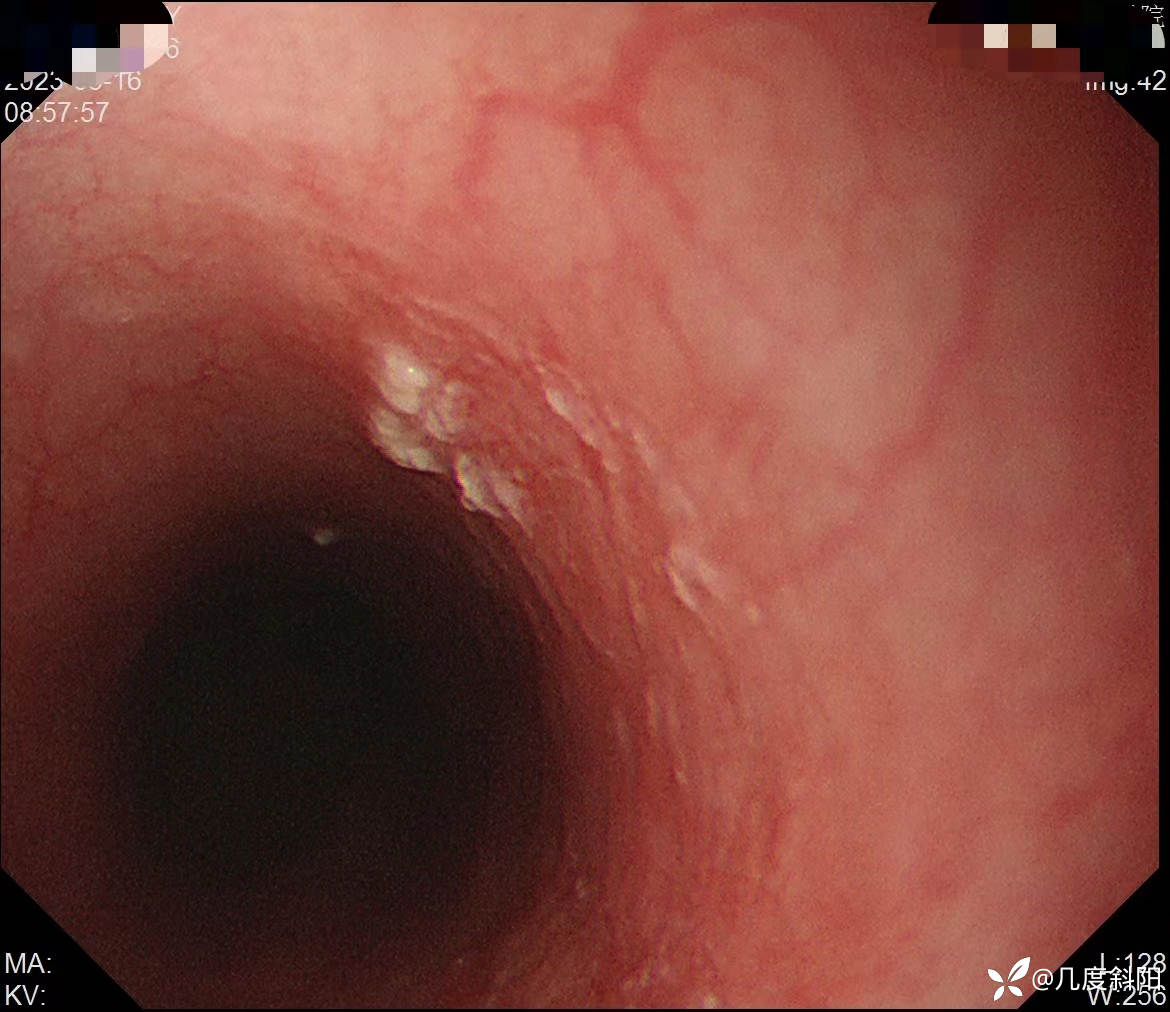
49岁男性,平素无明显消化道症状,单位体检勾选了胃肠镜检查,胃镜检查示食管中段距门齿约30cm有直径约0.6cm黏膜浅糜烂灶,表面覆少许白色膜状物,活检后病理提示早癌,到本省某三甲医院做了ESD.

img
img
img

该帖还没有疾病标签去添加
9 5 12
同行评议(0)
已评议
不开通精选
开通精选
精选已授权,待上线
评议结果暂未公布
参与评议
去邀请
NaN
病例完整NaN
临床实用NaN
诊疗科学NaN
学术价值NaN

全部讨论(0)

默认最新
avatar
9
分享帖子
share-weibo分享到微博
share-weibo分享到微信
认证
返回顶部