反复左侧踝关节肿胀疼痛 4 月余
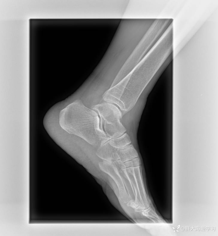
患者 4 月前无明显诱因出现左侧踝关节肿胀疼痛,活动受限,期间反复发作四次,均在我院治疗,治疗给予电针、中频脉冲、中药封包、小针刀治疗、(倍他米松注射液、维生素 B12 注射液、利多卡因注射液行关节腔注射),但每次都只能维持半个月左右就会发作,类风湿因子、抗 O、C 反应蛋白均正常,







跪求各位老师指导诊疗
患者 4 月前无明显诱因出现左侧踝关节肿胀疼痛,活动受限,期间反复发作四次,均在我院治疗,治疗给予电针、中频脉冲、中药封包、小针刀治疗、(倍他米松注射液、维生素 B12 注射液、利多卡因注射液行关节腔注射),但每次都只能维持半个月左右就会发作,类风湿因子、抗 O、C 反应蛋白均正常,







跪求各位老师指导诊疗
