简单骨折照书做,结果翻车了。
患者男,45岁,
主诉:摔伤致左小腿近端疼痛活动受限4小余入院。
既往史:2年前因左股骨开放骨折于我们行手术治疗。
辅助检查:DR及CT提示:左胫骨近端及腓骨头骨折。
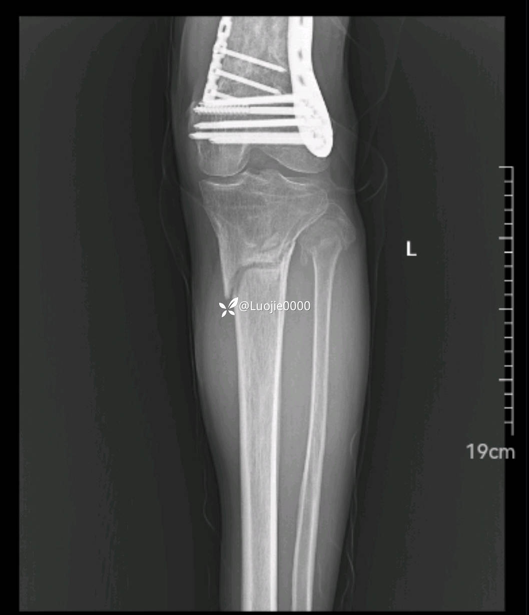
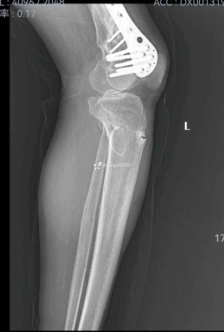
影像资料如下:








照书做没成功

切开复的位





总结:1.理论指导临床,临床结合实际;
2.尽力把每一台手术做到极致 ;
3.合理运用好手中的工具。
患者男,45岁,
主诉:摔伤致左小腿近端疼痛活动受限4小余入院。
既往史:2年前因左股骨开放骨折于我们行手术治疗。
辅助检查:DR及CT提示:左胫骨近端及腓骨头骨折。
影像资料如下:








照书做没成功

切开复的位





总结:1.理论指导临床,临床结合实际;
2.尽力把每一台手术做到极致 ;
3.合理运用好手中的工具。
