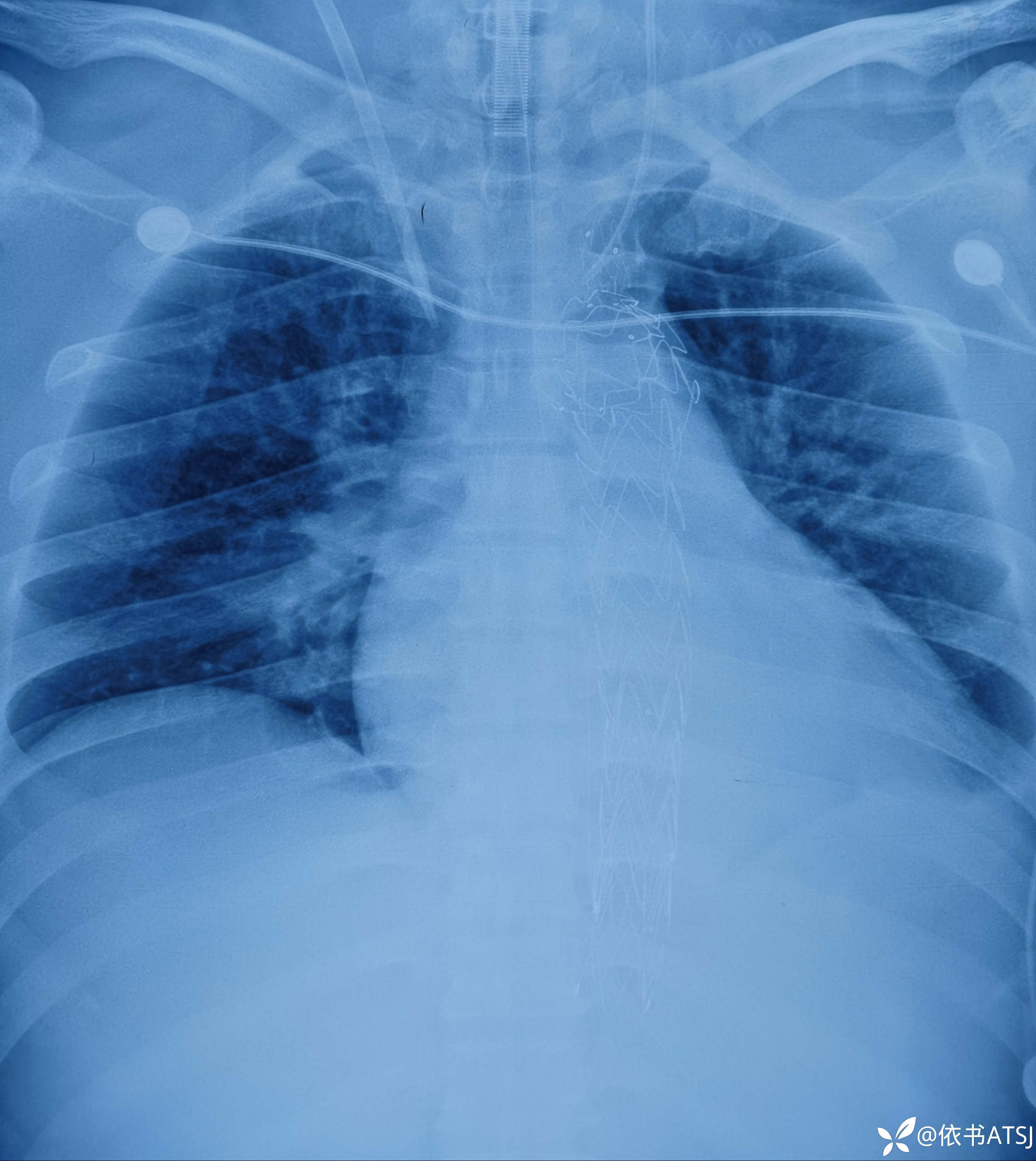
升主动脉-腹主动脉全程增粗,多个破口,累及肠系膜动脉、髂总动脉、髂内髂外动脉
Kimser 推荐



讨论:本例患者,34岁,体型肥胖,高血压3年余,未重视,未系统诊治,突发胸腹部疼痛入院,虽然放了根长长的支架,命保住了,尿量也不错,可是血肌酐高,短期内脱离不了透析,针对这一年轻患者的全程广泛主动脉撕裂、多个破口,各位老师,您认为非常有必要排查血管炎这一疾病吗?
Kimser 推荐



讨论:本例患者,34岁,体型肥胖,高血压3年余,未重视,未系统诊治,突发胸腹部疼痛入院,虽然放了根长长的支架,命保住了,尿量也不错,可是血肌酐高,短期内脱离不了透析,针对这一年轻患者的全程广泛主动脉撕裂、多个破口,各位老师,您认为非常有必要排查血管炎这一疾病吗?
