青年男患,双肺弥漫磨玻璃影,如何鉴别?(有结果)
患者性别:男
患者年龄:29岁
主诉:间断性咳嗽咳痰4月,气促1周。
简要病史:患者4月前因受凉后出现间歇性咳嗽,咳少许黄白相间泡沫痰,易咳出,无气促胸闷,无恶寒发热,自行予“三九感冒灵、连花清瘟胶囊、肺力咳”等药物治疗后稍缓解, 未予系统诊治。直至1周前开始出现气促胸闷, 上腹部隐痛, 烧心,无恶寒发热, 无寒战抽搐,无呼吸困难及意识障碍;无胸痛,无心悸、夜间阵发性呼吸困难,无水肿、少尿。经口服用药后未见明显缓解,遂就诊我院急诊内科,完善胸部CT提示:肺炎。拟“肺炎”收治住院。病来精神、饮食及睡眠可,二便正常,体重无变化。既往史:平素体健;否认“肝炎、结核及伤寒”等传染病史。否认“糖尿病、心脏病”等病病史。无食物药物过敏史。
体格检查: T: 36.5℃, P: 101次/分, R; 16次/分, BP: 130/8mmHg,SP02:86%(未吸氧情况下)。发育正常,营养中等,安静面容,神清合作。全身表浅淋巴结未触及。口唇无发绀, 咽无充血,扁桃体不大。颈静脉无充盈, 肝颈静脉回流征阴性。胸廓对称无畸形,双肺呼吸音粗, 双肺可闻及散在湿性啰音, 无哮鸣音。心界不大,心率101次/分, 律齐, 各瓣膜听诊区未闻及杂音。腹软, 全腹无压痛,无反跳痛及肌紧张,肝脾未及,移动性浊音阴性。双下肢无水肿,无杵状指(趾)。神经系统查体无阳性体征。
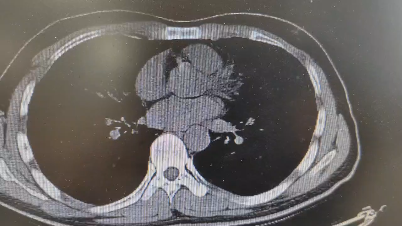
辅助检查:胸部CT:双肺多发磨玻璃影,考虑双肺弥漫性病变,间质性肺炎?病毒性肺炎? 其他?请结合临床随诊复查。血常规+全血超敏C反应蛋白:白细胞6.8x10^9/L、中性细胞比率63.3%、淋巴细胞26.4%、嗜酸性粒细胞比率0.4 %、单核细胞比率 9.8 %;( 超敏C反应蛋白 19.81 mg/L;心肌酶、电解质未见明显异常。
临床诊断:肺炎
治疗经过:
讨论:诊断及鉴别




















































