青年男患,大量胸水,嗜酸细胞增高,如何鉴别(有结果)
患者性别:男
患者年龄:24岁
主诉:气促半年,再发加重10+天
简要病史:半年前患者无明显诱因出现气促,伴咳嗽,性质为串咳,程度较重,伴咯血,色鲜红,量少,无晕厥、黑矇,无心悸、胸闷,无畏寒、发热,10+天前患者气促较前加重,偶有咳嗽,无畏寒、发热,无咯血、呕血,无心悸、胸闷,无腹泻、便秘等不适,就诊于院外院外未予特殊处理,现为系统诊治就诊于我院并收入院;既往否认“高血压、糖尿病、冠心病、肾脏病”等慢性疾病。否认“肝炎、结核、伤寒”等传染病史。吸烟史10+年,约10支/天,未戒,偶有饮酒。
体格检查:T 36.6℃, P 68次/分, R 20次/分, BP 111/63mmHg。自动体位,急性面容,神清合作。全身表浅淋巴结未触及。口唇无发绀,咽无充血,扁桃体无肿大,颈静脉无充盈,肝颈静脉回流征阴性。胸廓对称无畸形,未闻及湿啰音,左肺呼吸音明显减弱。心界不大,心率68次/分,律齐,各瓣膜听诊区未闻及杂音。腹软,全腹无压痛,无反跳痛及肌紧张,肝脾未及,移动性浊音阴性。双下肢无水肿,无杵状指(趾)。神经系统查体无阳性体征。
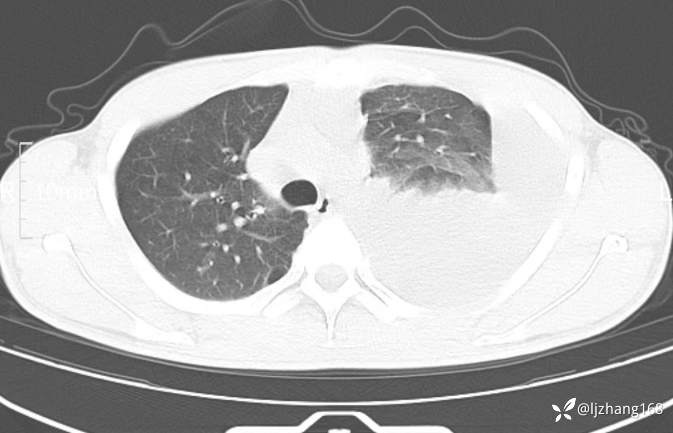
辅助检查:胸部CT:左侧大量胸腔积液。胸水常规:嗜酸性粒细胞 74 %、总细胞数 29600×10^6/L、白细胞数 1600 ×10^6/L、淋巴细胞 20 %。2023-12-17 胸水生化:腺苷脱氨酶 58.6 U/L、总蛋白 59.7 g/L。抗结核抗体(痰液)、(痰液)抗酸染色、尿常规、大便常规、未见明显异常。
临床诊断:左侧胸水原因
治疗经过:
讨论:诊断及鉴别
































































