警察叔叔血小板下降,双肺烟花绽放,真凶已缉拿归案。
55岁男性,主诉:咳嗽咳脓痰1周就诊。
1周前上呼吸道感染症状后出现咳嗽、咳痰,无发热,痰液带黑色。1月来乏力,上楼梯时明显,逐渐加重。
既往:不明原因血小板减少3年,最低时8*10⁹/L。近半年使用激素治疗,已经减量至甲泼尼龙4mg qd。否认慢性肺部疾病、糖尿病,从不吸烟。职业:民警。
体格检查:T 36.8°C BP 132/80mmHg HR 78/min RR 18/min SpO2 95%(吸氧5L/min下)神志清楚,双肺呼吸音偏低,未闻及啰音,后背、腹部片状紫癜。余无异常。
初步检查:
血常规和感染标志物:WBC 11.2*10⁹/L PLT 43*10⁹/L N 0.91;CRP 154mg/L,PCT 0.27ng/ml。
血气分析:pH 7.52 PO2 53mmHg PCO2 32mmHg,FiO2 21%。
肿瘤标志物:NSE 56.3ng/ml(0-16.3)。外周血淋巴细胞亚群:CD4 T细胞 67/uL。T-SPOT 阴性,血清G试验阴性,GM试验阴性,曲霉IgG阴性。
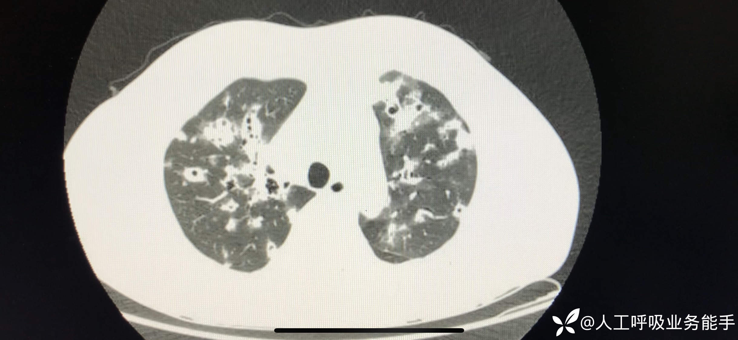
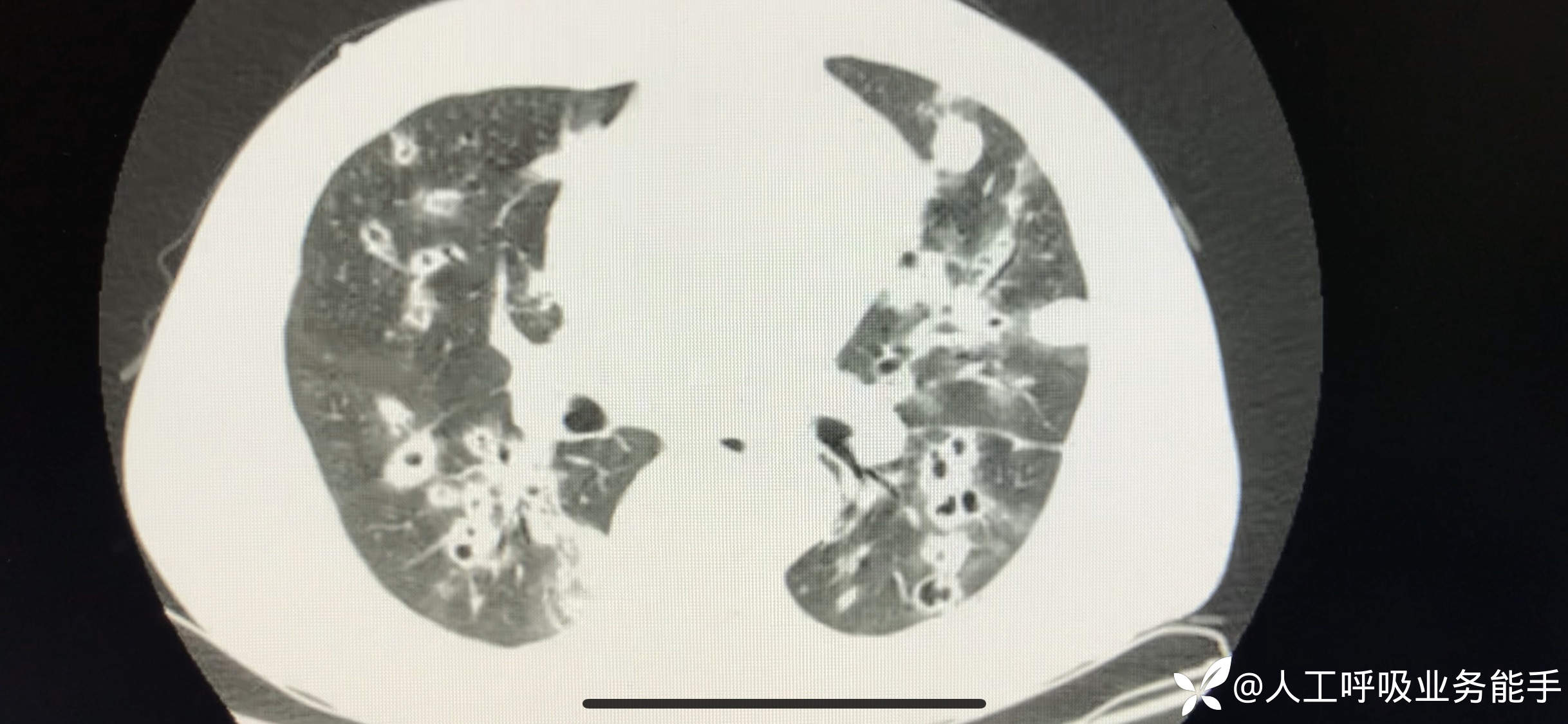
初诊影像:














支气管镜检查后确诊

















































