支气管树42亚段精准定位----右下叶背段篇

作为一名呼吸科医生,经常有病人拿着一张胸部CT找你,医生帮我看下片,比如下图。病人最关心的是这个结节病灶是良性还是恶性,开还是不开。但是单纯看片子,你是不能下结论的。这个时候你就能发挥专科的优势,做个气管镜吧。

气管镜技术是每一个呼吸科医生必须掌握的技术,扮演着抓捕这些结节的警察类角色。但是随着这些肺部结节越来越外周、隐匿。对于呼吸科医生的要求也越来越高。仅仅掌握肺部解剖5叶18段的结构是远远不够的,还需要进一步掌握亚段、甚至亚亚段的结构。比如上面这个病人的结节就比较远端,仔细一看似乎有一条支气管直直通到结节内部,那这条支气管到底属于哪个叶?哪个段?哪个亚段?甚至哪个亚亚段?如果搞清楚了,那我们是不是就能借助这一通道取到组织病理标本呢?我觉得有可能。
作为呼吸内镜医生看懂CT上那些纵膈的黑漆漆的“黑洞”尤为重要,因为这些黑洞都是支气管树的断层解剖。
我们先来看看支气管树的解剖结构:

我们可以看到整个支气管树逐级分支,越来越细,分支也越来越多,按照叶、段、亚段、亚亚段等进行分级。作为呼吸科医生18个肺段,我这里就暂不赘述了。那么支气管树上有多少亚段呢?我数了一下一共42个,天哪,你会觉得很多吧。但是掌握了规律,就不会觉得那么复杂了,下面请听我慢慢道来。
可以确定,每个肺段要么是2个亚段,要么就是3个亚段,如果都是2个亚段的话就有2x18=36个亚段,再加上两个背段、两个后基底段、左固有上叶尖后段、左固有上叶前段,这6个段都是3亚段,这样36+6=42个亚段。总体而言,有两个亚段结构都很简单,但是有3个亚段的结构就显得相当复杂了。为什么呢?因为2个亚段只需要平面结构概念,而3个亚段就需要三维空间立体结构的概念了,有没有恍然大明白的感觉,我估计听到这里,很多人还是不明白。但是请听我慢慢道来。
亚段的命名原则大部分遵循沿着肋骨走形,从脊柱发出,终于正中线胸骨,呈现先后背再前胸,先上后下的原则。具体见下图:


个人观点:
右侧支气管树亚段命名顺序规律:先后背再前胸,先上后下,逆时针方向;
左侧支气管树亚段命名顺序规律:先后背再前胸,先上后下,顺时针方向。
CT上也基本遵循这一规律,只是我们的CT大多都是水平面的断层解剖。

右上叶前段有2个亚段,按顺时针方向,先命名靠后的a亚段,再命名靠前的b亚段,其他叶段亚段大都可以依次类推(除了左固有上叶前段和尖后段)。由于在看支气管树,是在正前面观察,此时右侧支气管命名顺序是逆时针;但是我们看CT时,有点像从后背方向观察,这个时候右侧支气管命名顺序是逆时针。这么一解释,大家就不会有矛盾了。但是你只要遵循从脊柱出发沿肋骨走形,终于胸骨,不管是顺时针,还是逆时针,都不会出错。但是有些叶段也不会完全遵照这个原则,比如前面提到的左固有上叶前段和尖后段(下期见分晓)。
右上叶尖后前段6个亚段结构相对简单,具体可参考公众号“医学界呼吸频道”孙丹雄写的“气管镜下,如何准确定位亚段的病灶?”
本篇文章主要围绕右肺下叶背段3亚段,讲解其支气管树解剖表现、CT表现、内镜下表现,以及如何将3者表现融会贯通。
看右下叶背段支气管树可知,a、c亚段均靠近脊柱及纵隔,不同的是一个是向上走形,一个是向下走形,b亚段是远离脊柱及纵隔的向外侧发散,因此它又叫外侧支。命名顺序按照逆时针方向。

CT从上而下,依次出现a、b、c亚段。由于a亚段支气管走形是垂直于水平面的,因此CT上你可以看到一个小圆环结构,b亚段是平行于水平面的,因此CT上是呈现柱状双轨征,c亚段大多斜行于水平面,因此CT上可能呈现类似于环形跑道结构(只是打个比喻,每个人的支气管树结构变化很大,不一定都是规规整整的,有点扭曲,有个分支都是很常见的,但是先把标准的学会,再学异常的,你就能游刃有余了)。

再回来看这张图,其实这张图上包含很多信息,这个层面右肺的三个叶都呈现了,斜裂及水平裂都有,但是支气管树的管腔只有中叶和下叶,片上的病灶位于下叶,下叶最早出现的就是背段。经过CT的精准定位(你需要看薄层CT,最薄的那种,来来回回地翻看),我们知道结节可能位于右下叶背段b亚段,知道这个非常重要。

那我们可以开始做气管镜了,

如何才能确定病灶就在这里呢?经支气管超声探头可以明确。

在做超声时我们发现b亚段支气管出现了3个亚亚段,最早开口的是偏外侧的侧支(暂时称它bi),后出来的一个是稍向上走形的亚亚段(bii),一个是向下走形的亚亚段(biii)。

我们最后在bii亚亚段探查到暴风雪状混杂密度声像,定好位后进行活检(镜头视角固定统一,探及病灶远端及近端后,在小探头出活检孔道处予以马克笔表示两点间范围,再把线型小探头与活检钳并行对比,再在活检钳相应位置距离上标记远端及近端两点,用标记好的活检钳活检)。再回顾性分析薄层CT(我建议初学者可以将胸部CT水平翻转,这样CT的左右结构就和镜下表现一致了),我们发现,b亚段确实有3个分支,一个向外侧走,一个稍向上,一个稍向下。经过来来回回推演,就会进一步加深你的空间想象能力。b亚段3个亚亚段的CT水平翻转后见下图:

最后病理报告为腺癌。

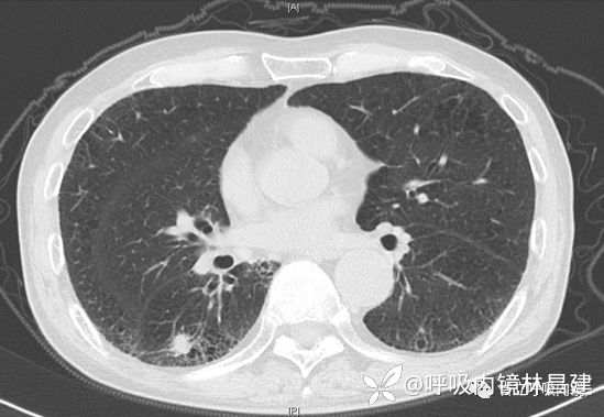
再看下下面这张CT

只看这一张你是很难定位的,你需要前前后后,不断翻看,才能进行三维重建。CT从上而下,依次出现a、b、c亚段。由于a亚段支气管走形是垂直于水平面的,因此CT上你可以看到一个小圆环结构,b亚段是平行于水平面的,因此CT上是呈现柱状双轨征,c亚段大多斜行于水平面,因此CT上可能呈现类似于环形跑道结构(只是打个比喻,每个人的支气管树结构变化很大,不一定都是规规整整的,有点扭曲,有个分支都是很常见的,但是先把标准的学会,再学异常的,你就能游刃有余了)。

看过了CT,我们很明确知道这个病灶应该是在右肺下叶背段的c亚段,需要做超声探头检查吗?我觉得有可能不需要,因为病灶离背段开口很近,或许镜下就能看到,
好了,我们开始做气管镜了,


我们可以看到,右下叶背段c亚段开口被新生物完全堵塞了,可以直接进行活检取病理了。
我们发现粗粗看上去整个背段其实一开始是分两个洞的,即两个开口,这个结构有点类似于右上叶后段的两个亚段,因为背段的a、c亚段开口靠的很近,经常合在一起靠向后方,类似于右上叶后段a亚段,背段b亚段靠前走,类似于右上叶后段b亚段。经常有人将右下叶背段b亚段当成c亚段,这是不对的,首先b亚段大都很粗,由镜头进入背段是有拐弯90度,误把b亚段看成是向下走形的c亚段,其实b亚段是跟CT层面相符的水平方向走位,c亚段是靠内后侧走的,并不是那么靠前。如果还是不能理解,有两种方法,一是用超声来明确你的推断,二是带有亚段的支气管树模型进行验证,用支气管镜伸到模型的b亚段,再从外部观察是否是在b亚段。
如果你还是不能理解那就死记硬背,把下面这张示意图记住,你就知道镜下哪个是背段b亚段了

右中间干支气管远端三个管腔是右侧支气管的特征性结构,在CT上按照从上到下,分别是右中叶支气管、右下叶基底段、右下叶背段。如下图:

由于胸部CT跟实际解剖是左右颠倒的,即CT上左手边是右肺,右手边是左肺,于是我们需要把CT水平翻转(左右颠倒),见下图:

但是这个上中下结构还不是我们内镜下常见的结构,这是为什么呢?我们先看下内镜下这个结构是怎么样的,见下图:


在气管镜操作过程中,为了获得更大视角,往往会将气管镜顺时针旋转90度(镜头顺时针旋转,引起的图像旋转其实是逆时针,这个你可以自己动手演练一下,或者做气管镜时亲自操作一遍就懂了),因此你把CT片逆时针旋转90度,你会获得跟镜下图片表现一致的结构。所以当你再看这张示意图时,你就不会显得那么突兀了。

或者你再把这张示意图顺时针旋转90度,然后再水平翻转一下,你再回去对照原先的CT,你会发现这个也是成立的。见下图:

水平翻转后


最后,我们直接在c亚段开口活检送病理,病理结果为低分化鳞癌。

右下叶背段a亚段的病灶,由于上弯角度太大,小探头及活检钳无法拐上去,故碰到右下叶背段a亚段的病灶就无法活检或刷检,只能通过灌洗获得细胞学病理,这点需额外提醒一下。
现在随着科学技术的发展,各种导航技术层出不穷,虚拟导航,磁导航......
但是我觉得目前最好用的导航技术还是薄层CT,只有你真正看懂了CT,把CT图片装载进你的大脑,进行三维重建,你就能呈现类似于虚拟导航的支气管树图像。当你心里有个这个大致图像,你做气管镜时便能胸有成竹,心里有数
本文作者:福建省立医院 林昌建
策划编辑:林昌建
责任编辑:林昌建
美术编辑:林昌建
















































