病例分享|ICU镇静镇痛个体化方案
情Ca晚期 推荐患者性别:男
患者年龄:64岁
主诉:反复咳嗽、咳痰、喘息6余年,加重1天。
简要病史:2月21日入呼吸科,经无创通气、抗感染后病情进展2月26日晚转入ICU。
既往:特发性肺纤维化、高血压3级极高危组,冠心病置入支架1枚。
个人史:教师,任教近40年,长期写板书。
体格检查:血压95/60mmHg(多巴胺20ug/kg.min),端坐呼吸 ,呼吸频率35-45次/分,指脉氧50-65%(PC-BiPAP无创通气,FiO2 100%)。烦躁,阵发性抽搐伴大小便失禁。双肺呼吸音减弱,可闻及大量爆裂音。HR 121次/分,律齐。四肢末梢冰冷,双下肢不肿。
辅助检查:
血常规:WBC 13.23 ↑ 10^9/L,NE% 91.0 ↑ %,LY% 3.8 ↓ %,HGB 132 g/L,PLT 271 10^9/L。
动脉血气:PH 7.26,氧分压30mmHg,二氧化碳分压71mmHg,乳酸8.0mmol/L,无创通气 FiO2 100%。
感染三项: C反应蛋白 8.8 mg/L,降钙素原 4.23 ↑ ng/ml,1-3-β-D葡聚糖 27.34 pg/mL。
痰液培养:大肠埃希菌、白色假丝酵母菌
SOFA:10分。
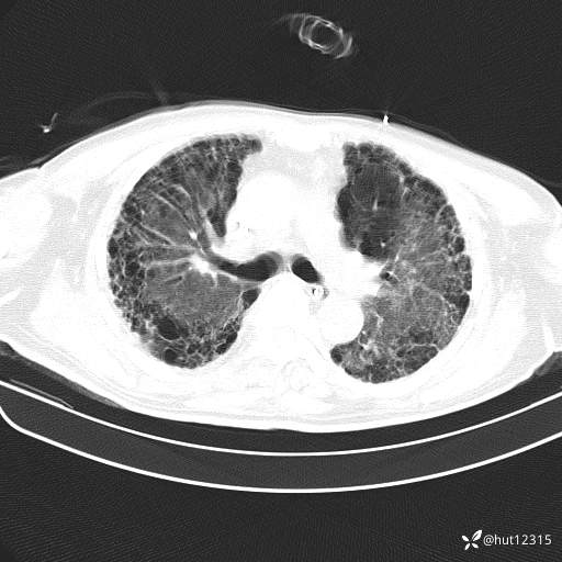
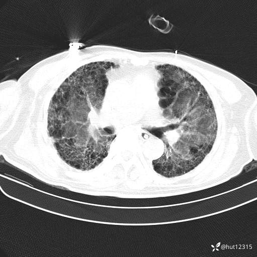
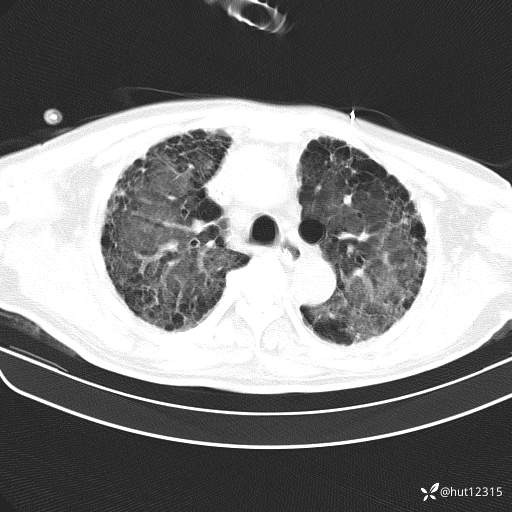
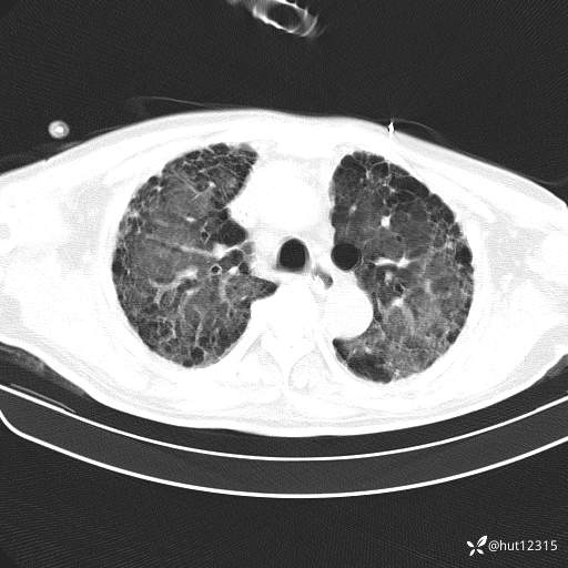
CT:肺纤维化并感染




临床诊断:
1.脓毒症,脓毒性休克
2.特发性肺纤维化并重症肺炎,ARDS
3.多器官功能衰竭
治疗经过:
1.器官功能支持:气管插管,有创呼吸机;循环支持;
2.强力抗感染+激素冲击:美罗培南+万古霉素+氟康唑,甲泼尼松龙;
3.营养支持:静脉+鼻饲;
4.镇痛镇静。
镇静镇痛方案:根据病情,个体化施行。
一、气管插管阶段
1.患者状态:氧合30、循环衰竭、端坐、烦躁
2.镇静目的:消除躁动,保证气管插管顺利进行
3.镇静目标:快速诱导麻醉
4.方案:

二、保护性肺通气阶段
1.患者状态:呼吸、循环衰竭、炎症反应进展期
2.镇静目的:减少氧耗,减少应激及炎症损害,保证保护性肺通气治疗
3.镇静目标:充分镇痛,深度镇静,RASS评分-5到-3分,CPOT≤2分
4.方案:

插管4小时后
自主明显增多,人机对抗:①氧合指数43.5,二氧化碳分压86mmHg,呼吸机压力报警;②脉搏:118次/分,血压:126/83mmHg(多巴酚丁胺5ug/kg.min,多巴胺10ug/kg.min,重酒石酸去甲肾上腺素0.3ug/kg.min)。
强镇静镇痛:①瑞芬太尼维持剂量增至250ug/h;②联用右美托咪定后因血压明显降低停用;③咪达唑仑维持剂量增加至5mg/h
结果:自主0-4次/分,CPOT 0分,RASS -4分
治疗后整体病情评估:感染控制,氧合、循环改善

三、感染控制,器官功能恢复阶段
1.患者状态:呼吸、循环逐渐稳定,逐渐下调呼吸机参数
2.镇静目的:耐管,防止意外脱管
3.镇静目标:充分镇痛,浅镇静,RASS评分0到-2分,CPOT≤3分
4.方案:瑞芬太尼镇痛,咪达唑仑镇静,每日晨间唤醒:06:00停镇静,每晚09:00启用。
整体病情评估及调整:3月6日PEEP 6mmHg,SPO2 40%,开始每日SPOPNT模式训练,3月10日拔管改为无创通气,BiPAP与高流量呼吸湿化治疗。

病情变化:3月10日拔管后5小时BiPAP无创通气下,17:45患者出现喘息、气促,呼吸、心率增快,指脉氧下降至70%,给予去枕平卧,简易呼吸器辅助呼吸,3分钟后上述症状缓解,能再次配合双水平气道正压无创通气,呼吸、循环相对稳定。
原因分析:
1.患者自3月2日开始晨间唤醒后,日间清醒状态下,每当ICU有新入、转出、抢救时,该患者均表现心率、呼吸增快,反复复查感染指标、氧合、心功能等情况均提示好转;
2.3月10呼吸、心率增快、指脉氧下降时正在抢救患者隔壁病房患者,当时伴有明显焦虑、坐立不安、恐惧表现。
综上,患者出现喘息、气促,呼吸、心率增快、指脉氧下降与焦虑有关。
复查血象、BNP、心肌酶、胸片较无加重
四、整体病情好转,准备转出ICU阶段
1.患者状态:循环稳定 ,无创通气,准备转出,有焦虑
2.镇静目的:缓解焦虑,抑制多度的交感兴奋
3.镇静目标:按需镇痛,稳定心境,RASS评分1到-1分,CPOT≤3分
4.方案:艾司唑仑片 1mg po q8h
患者转归:
3月13日转出至普通病房,使用无创通气;
3月28日出院,在家中使用家用无创呼吸机每日18小时
5月6日电话随访,无创呼吸机每日平均16小时,吸氧8L/min能耐受轻度活动
8月随访,无创呼吸机每日15小时,微信发来感谢小视频。
讨论:
ICU镇静镇痛应作为常规治疗:
由于疾病本身、治疗和环境的特殊性,ICU不可避免的存在疼痛、声光等等一系列不良刺激,产生焦虑、恐惧、睡眠障碍、谵妄等精神障碍,通过影响行为、神经体液等方式导致机体损害。适度的镇静镇痛治疗有效减少患者对不良刺激的感知,消除或改善精神障碍,并且能降低机体代谢负担,从而产生积极的治疗效果。
镇静镇痛常用药物:
1.阿片类镇痛药

2.镇静药

镇静镇痛常用评估量表
躁动-镇静评分(RASS评分)

ICU疼痛观察量表(CPOT)

















































