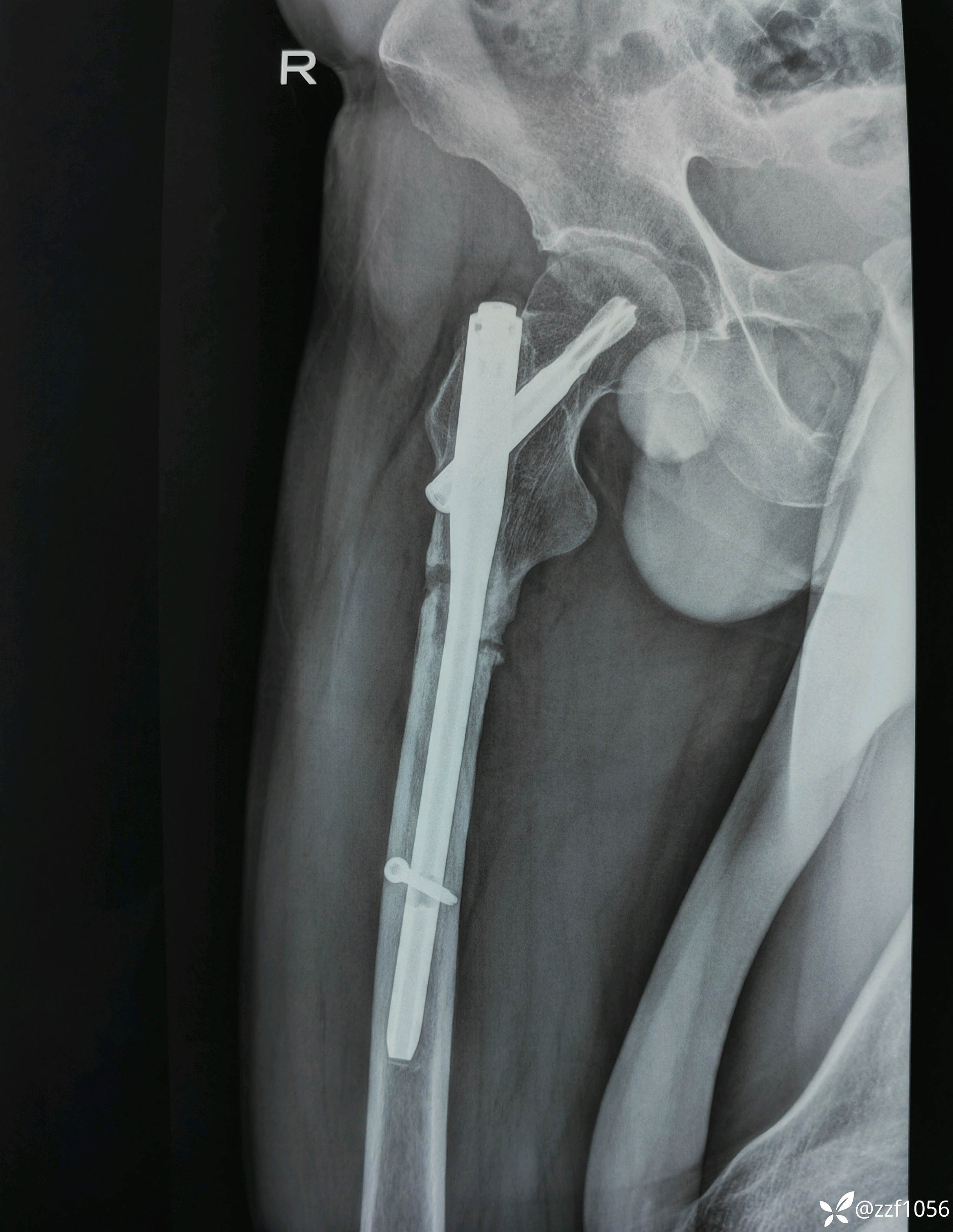
45岁转子下骨折PFNA术后一年骨不连
患者男性,45岁,右大腿骨折术后一年就诊。
右大腿无肿胀,无红肿,无皮肤破损,局部皮温不高,双拐保护,未完全负重,局部轻压痛,髋膝活动良好。
当时在外省某医院手术,术后连续性每隔两月复查,曾在我院复查两次,骨折端均无生长迹象。
请各位站友指导方案?



患者男性,45岁,右大腿骨折术后一年就诊。
右大腿无肿胀,无红肿,无皮肤破损,局部皮温不高,双拐保护,未完全负重,局部轻压痛,髋膝活动良好。
当时在外省某医院手术,术后连续性每隔两月复查,曾在我院复查两次,骨折端均无生长迹象。
请各位站友指导方案?



