男74岁,肺癌遇到新冠,顽固性血小板减少?什么原因?如何处理?
情Ca晚期 推荐患者性别:男
患者年龄:74
主诉: 主因确诊肺癌1年余,胸闷憋气3天于2023-09-11 11:30入院。
简要病史:患者于 1 年余因咳嗽查胸部增强 CT:考虑左肺上叶恶性肿瘤样病变,双肺多发结节。行肺穿刺活检,病理:鳞状细胞癌,诊断:左肺鳞癌(cT3N0M0 IIB 期)局部晚期。2022-03-1 7、2022-04-07、2022-04-30、2022-06-24 、2022-07-17、2022-08-12 给予白蛋白结合紫杉醇 +卡铂+替雷利珠单抗化疗 6 周期;2022-09-03、2022.10.05 给予替雷利珠单抗免疫治 2 周期。 2022-11-29 开始给予肺部肿瘤放疗治疗,放疗结束后患者无明显不良反应出院。2023-04-0 1、2023-05-01 给予替雷利珠单抗免疫治疗 2 周期。患者于入院前 3 天出现咳嗽、咳痰,为白粘痰,活动后喘息,伴胸闷、憋气,
既往冠心病、房颤病史8 月余,院外口服药物(单硝酸异山梨脂、稳心颗粒、利伐沙班);否认高血压、糖尿病病史;否认药物、食物过敏史。
体格检查:T37.4℃,P70次/分,R19次/分,BP120/73mmHg。神清,呼吸平稳,浅表淋巴结不大,双肺叩清音,双肺未闻及干湿性啰音,心率 70 次/分,律不齐,低音心音强弱不等,脉搏短绌。腹部平坦,软,全腹无压痛,无反跳痛及肌紧张,肝脾肋下未触及,双下肢无水肿。
辅助检查:血常规:白细胞数目:9.97×10^9/L,中性粒细胞数目:8.49×10^9/L,血小板正常,, D-二聚体:2.41mg/L,凝血常规: 凝血酶原时间:16.3秒, 国际标准化比值:1.4,活化部分凝血酶原时间:35.4秒,纤维蛋白原浓度:8.01g/L, 甲状腺功能:血清总T3:0.48ng/ml, 血清总T4:50ug/dL,血清游离T3:2.01pg/ml,降钙素原:1.263ng/mL,神经元特异性烯醇化酶NSE:31.03ng/ml, 细胞角蛋白19片段CYFRA21-1:5.83ng/ml,癌胚抗原:5.72ng/ml,注意复查。血沉:89MM/H,注意复查。肾功能、心肌酶、钾钠氯大致正常。
临床诊断:肺炎,肺癌
治疗经过:(抗生素选用莫西沙星)、抗炎(甲泼尼龙)、抗凝(利伐沙班)、止咳(复方甲氧那明)、化痰(乙酰半胱氨酸)、改善甲功(左甲状腺素钠)及对症支持治疗。
讨论:入院后新冠肺炎,加抗病毒治疗,及莫西沙星后哌拉西林他唑巴坦,呼吸道症状好转,血小板下降,20~30,促血小板生成素、激素等效果不明显。
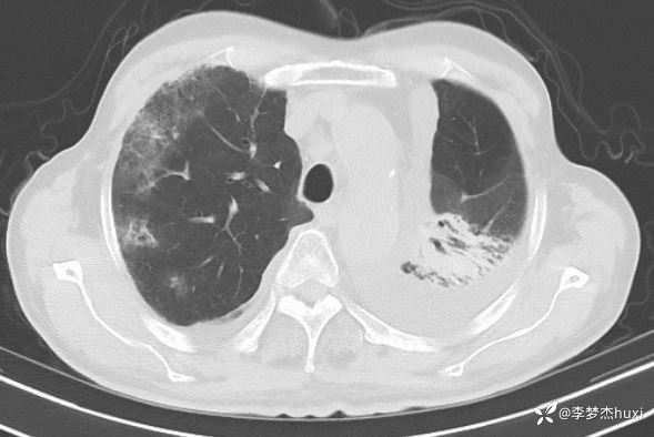
2023.9.11:




:2023.9.15




2023.9.25





















































