dxy logo
首页丁香园病例库全部版块
搜索
登录

病例【心脏】今日留图

医师 · 发布于 2023-02-24 · 来自 iOS · IP 内蒙古内蒙古
1389 浏览
icon范特西_ 推荐
这个帖子发布于 2 年零 263 天前,其中的信息可能已发生改变或有所发展。
img

胸骨旁大动脉短轴切面


img

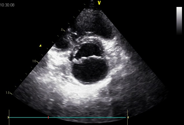
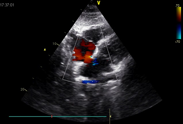
二尖瓣短轴观并反流



img

心梗后:左室下后壁的室壁瘤


img

右冠状动脉


img

左冠状动脉


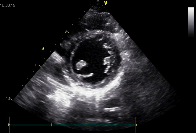
乳头肌短轴观

previewplay video


二尖瓣短轴观,瓣叶是否有些厚?

previewplay video


心包内有积液

previewplay video


房间隔缺损一例:

img


img


img



previewplay video


左室流出道梗阻一例

img

SAM阴性,但仍考虑流出道梗阻


急性心肌梗死 (813)
左心室室壁瘤形成 (20)
积液 (89)
房间隔缺损 (37)
纠错
6 13 14
同行评议(0)
已评议
不开通精选
开通精选
精选已授权,待上线
评议结果暂未公布
参与评议
去邀请
NaN
病例完整NaN
临床实用NaN
诊疗科学NaN
学术价值NaN

全部讨论(0)

默认最新
avatar
6
分享帖子
share-weibo分享到微博
share-weibo分享到微信
认证
返回顶部