dxy logo
首页丁香园病例库全部版块
搜索
登录

吸引眼球的好病例 就看你的了。。。

影像核医学版达人 · 发布于 2022-12-07 · IP 安徽安徽
1952 浏览
推荐、达人点赞 2 项荣誉
这个帖子发布于 2 年零 349 天前,其中的信息可能已发生改变或有所发展。

患者性别:男

患者年龄:73岁

主诉:咳嗽1月余。曾有血尿一次。后背部酸痛不适1-2年左右,无明显消瘦。


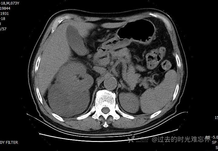
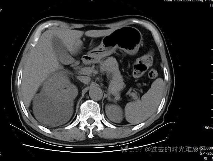
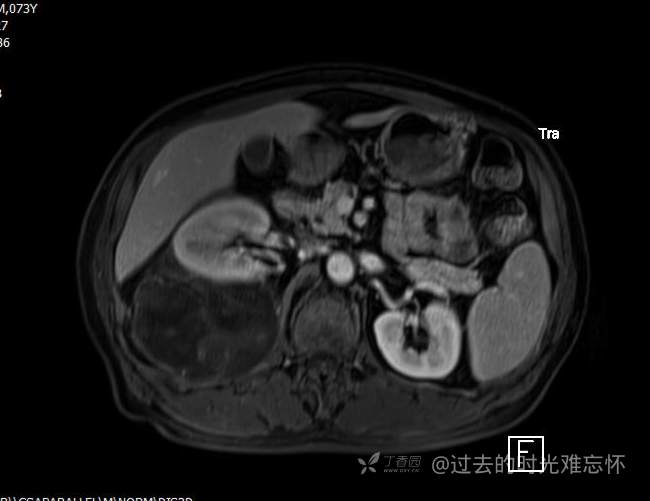
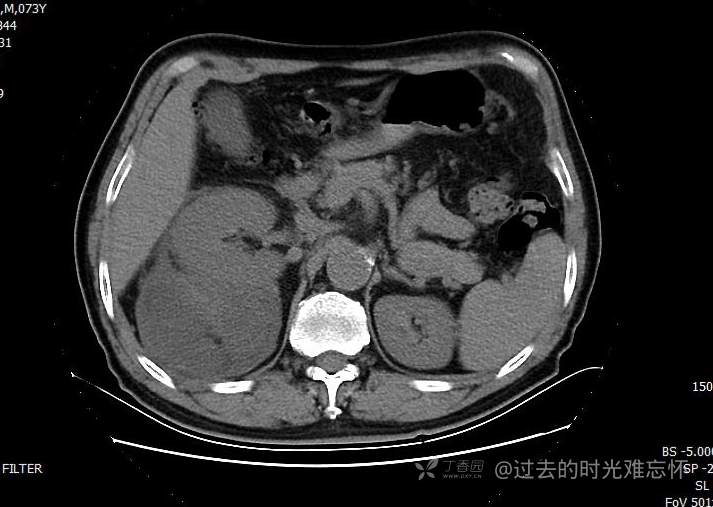
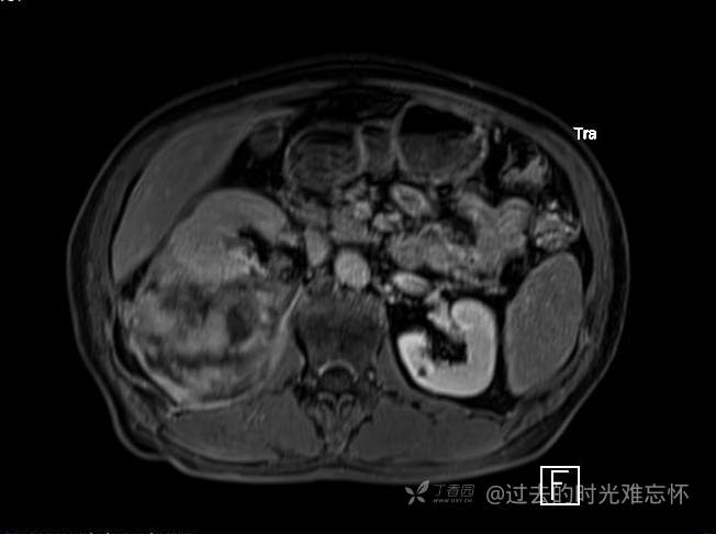
辅助检查:CT MRI

临床诊断:占位

治疗经过:手术


img
img
img
img

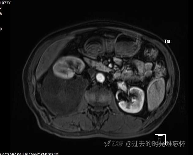
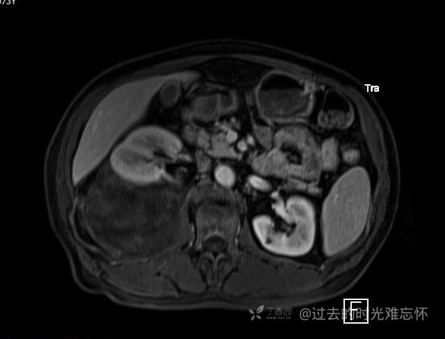
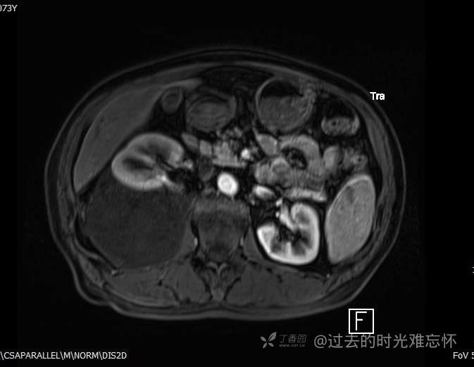
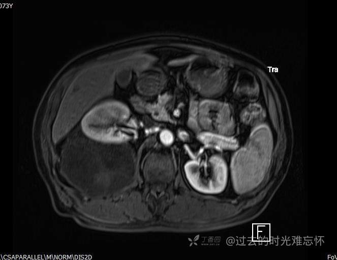
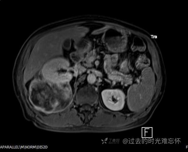
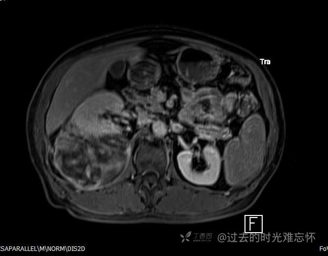
T1 及 T1压脂


img
img
img
img
img
img
img
img

T2压脂


img
img
img
img
img
img

ADC DWI


img
img

增强


img
img
img
img
img
img
img
img
img
img
img
img
img
img
黏液样脂肪肉瘤 (12)
纠错
16 15 11
同行评议(0)
已评议
不开通精选
开通精选
精选已授权,待上线
评议结果暂未公布
参与评议
去邀请
NaN
病例完整NaN
临床实用NaN
诊疗科学NaN
学术价值NaN

全部讨论(0)

默认最新
avatar
16
分享帖子
share-weibo分享到微博
share-weibo分享到微信
认证
返回顶部