60岁女性,胃窦病变,考虑啥
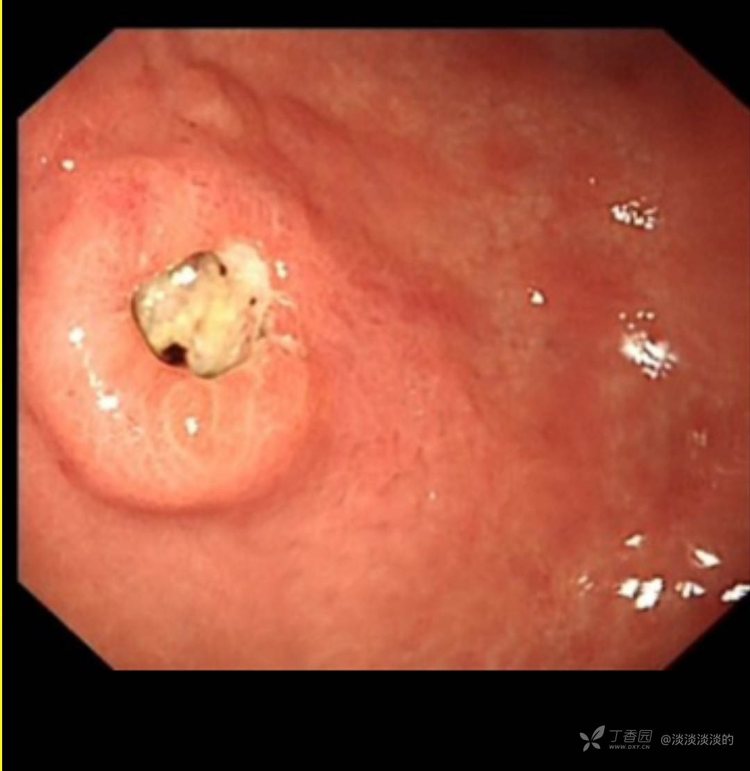
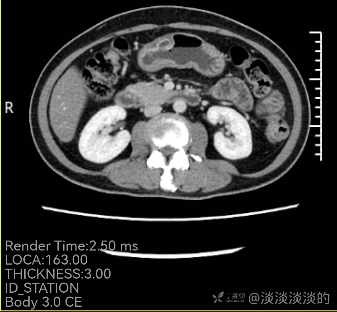
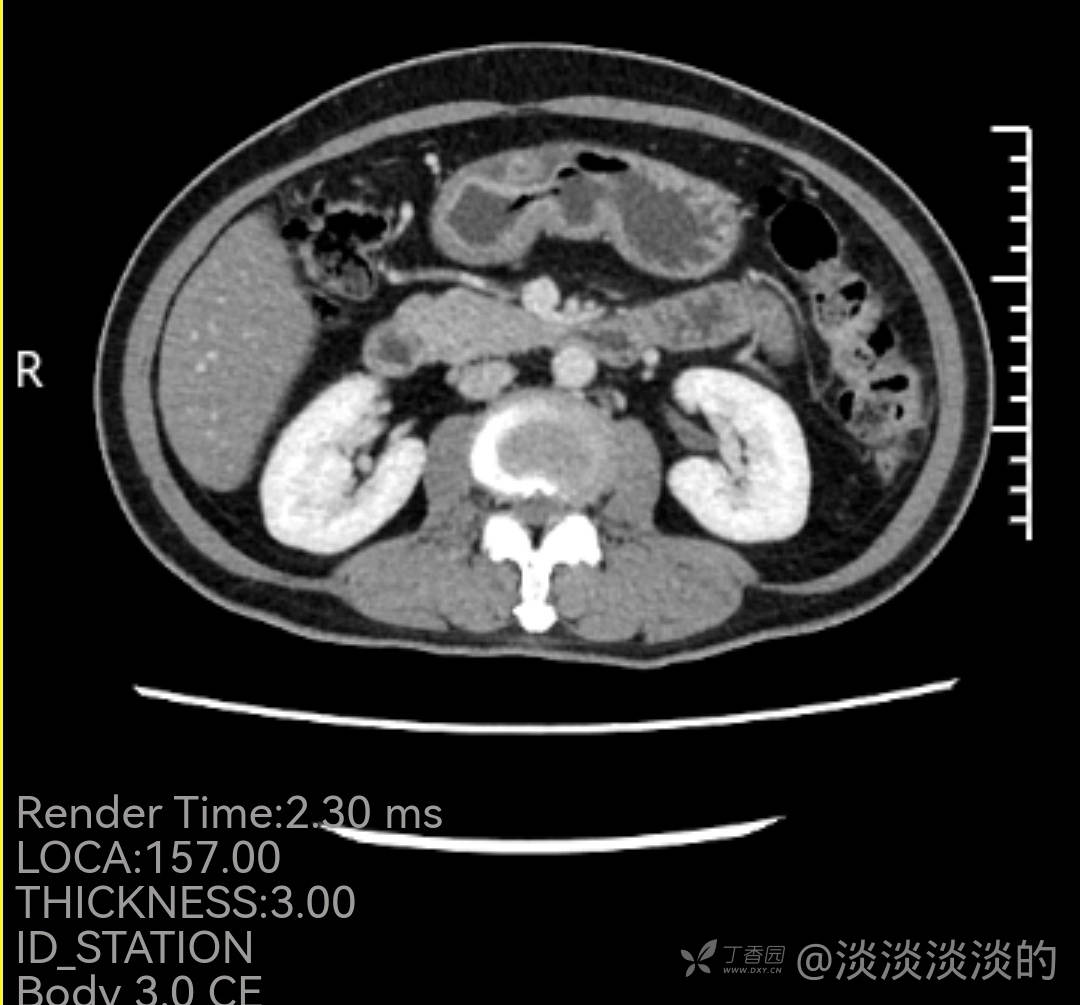
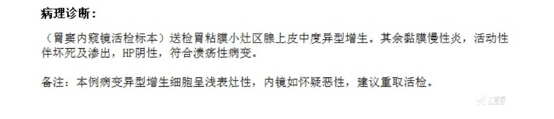
60岁女性,18年胃镜检查提示慢性胃炎,此次因上腹痛1月就诊,门诊检查发现胃窦前壁近胃角一病变,内镜,病理,增强CT如下,常规化验血检查没有明显异常,因病理良性,复查胃镜见最后1张,活检报告未出。
请教大家考虑这个病变倾向于什么?下一步是否需要做哪些检查,例如超声内镜?







60岁女性,18年胃镜检查提示慢性胃炎,此次因上腹痛1月就诊,门诊检查发现胃窦前壁近胃角一病变,内镜,病理,增强CT如下,常规化验血检查没有明显异常,因病理良性,复查胃镜见最后1张,活检报告未出。
请教大家考虑这个病变倾向于什么?下一步是否需要做哪些检查,例如超声内镜?







