视盘水肿(Disc Edema)
9 视盘水肿(Disc Edema)
摘要
视神经乳头水肿(Optic nerve head edema)是用来描述视神经乳头肿胀的总称。它可能与视神经头疾病(前部视神经病变)或颅内压升高有关,在颅内压升高这种情况下,视盘水肿几乎都是双侧的,被称为视乳头水肿(papilledema)。许多视神经病变可与视盘水肿有关,包括前部缺血性视神经病变、一些视神经炎和一些压迫性视神经病变。其他系统性疾病如严重高血压和眼部疾病如后部葡萄膜炎和视网膜中央静脉阻塞也可表现为视神经乳头水肿。针对视盘水肿的系统性诊断路径常常可以得到一个明确的诊断。视神经乳头水肿患者的评估通常是紧迫的,因为它可能反映了危及视力或生命的疾病。
关键词:视盘水肿(disc edema)、视乳头水肿(papilledema)、视神经乳头膜玻璃膜疣(optic nerve head drusen)、假性视乳头水肿(pseudopapilledema)、颅内高压(intracranial hypertension)、系统性高血压(systemic hypertension)
9.1 视盘水肿介绍
视神经乳头水肿,或称视盘水肿,是一个用来描述筛板前的局限性肿胀(图9.1)的非特异性术语。

图9.1 (a)右眼视神经肿胀。视盘边缘模糊,无中央视杯。(b)肿胀视神经的矢状切面
9.2 视神经水肿的机制
视神经水肿的机制包括:
- 局部视神经损伤,如炎症(前部视神经炎或视乳头炎)、缺血(前部缺血性视神经病变)、眼压波动(高眼压,如急性青光眼;低眼压,如低眼压症)和毒性。
- 视神经压迫(视神经肿瘤或眼眶肿物)和颅内压升高(视头水肿)导致的逆向轴浆流受阻。
9.3 真性视盘水肿与假性视乳头水肿的鉴别诊断
真视神经乳头水肿与假视乳头水肿的鉴别诊断是必要的(表9.1,图9.2,图9.3)。在大多数病例中,假视乳头水肿的出现是由于先天性视神经异常,不需要任何检查,而真性视盘水肿与许多相关的疾病有关。


图9.2 (a)真性视盘水肿见(b)荧光素钠血管造影显示渗漏(晚期)

图9.3 (a)假性视乳头水肿见(b)荧光素钠血管造影无渗漏(仅有视盘晚期染色)
9.4 视盘水肿的鉴别诊断
视盘隆起不伴有真性肿胀:
● 视盘异常 。
◦有髓神经纤维(图 8.50, 图 9.4)。
◦ 玻璃膜疣 (图8.44,图 9.5)。
◦ 视盘倾斜 (图 8.49)。
◦ 视盘拥挤
● 视盘浸润。
● Leber遗传性视神经病变。

图8.50 (a)有髓神经纤维。(b)视神经下方的有髓神经纤维。(c)远离视盘的有髓神经纤维。

图9.4 有髓神经纤维。

图8.44 (a,b)双眼视神经乳头玻璃膜疣。视神经乳头层次可见晶洞样钙化。它们抬高血管,可能导致小梗死或轴突受压,引起视野缺损。(c,d)同一患者自发荧光中所见双眼视神经乳头玻璃膜疣(用荧光血管造影相机拍摄无赤光照片)

图9.5 视神经乳头玻璃膜疣。

图8.49 (a,b)高度近视患者视神经倾斜(右侧更差)。(c)Goldmann视野显示不遵循垂直子午线的双眼颞侧视野缺损。
真性视盘肿胀
● 颅内压升高 (视乳头水肿;图9.6)。
● 炎性视神经病变(图9.7)
◦ 脱髓鞘。
◦ 结节病或其他炎性疾病。
◦感染。
●视神经视网膜炎。
● 血管性视神经病变。
◦ 前部缺血性视神经病变(图 9.8)。
– 非动脉炎性。
– 动脉炎性。
◦ 糖尿病性视神经病变。
◦ 视网膜中央静脉阻塞(图9.9)。
◦ 颈动脉海绵窦瘘。
◦ 恶性系统性高血压(图9.10)。
● 玻璃体视乳头牵拉。
● 压迫性视神经病变。
◦ 肿瘤。
– 脑膜瘤(图9.11)。
– 血管瘤。
– 淋巴管瘤。
◦ 非肿瘤。
– 甲状腺眼病。
– 眼眶炎性假瘤。
● 浸润性视神经病变。
◦ 肿瘤性。
– 白血病。
– 淋巴瘤。
– 神经胶质瘤。
◦ 非肿瘤性。
– 结节病。
● 中毒
● 代谢/营养不足。
● 外伤性视神经病变。
● 低眼压。

图9.6 (a, b)颅内压升高导致的双眼视乳头水肿。

图9.7 (a)右眼前视部神经炎伴中度视盘水肿。(b)眼眶轴位强化并抑脂T1加权磁共振成像显示右眼视神经增强(箭头)

图9.8 (a)右眼前部缺血性视神经病变,伴有轻度视盘水肿和少量乳头周围出血。(b) 30-2 Humphrey视野检查显示相应的下方的上下性视野缺损。

图9.9 视网膜中央静脉阻塞伴视盘水肿及远离肿胀视神经的大量视网膜出血。

图9.10 恶性系统性高血压伴严重的视盘水肿、视网膜出血和视网膜渗出。

图9.11 (a)左眼视神经鞘脑膜瘤伴视盘水肿及视神经睫状分流血管。(b)眼眶轴位强化CT显示沿左眼视神经的增强(箭头)。
9.5 视盘水肿患者的评估
一旦视盘水肿被证实,就应该确定它是与视神经疾病(视神经病变)有关还是与颅内压升高有关。视乳头水肿是专门描述由颅内压升高引起的视盘水肿的术语(图9.12)。所有其他视盘水肿被称为视盘水肿或视神经肿胀。表9.2比较了前视神经病变和颅内压升高引起的视盘水肿的特点。

图9.12 (a,b)颅内压升高导致的双眼不对称性(右眼较左眼严重)轻度视乳头水肿。

导致颅内压升高和视乳头水肿的机制如下:
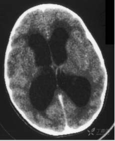
● 脑积水 (图9.13)。
● 颅内占位。
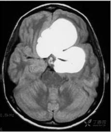
◦ 肿瘤和脓肿(图9.14)
◦ 颅内出血。
◦ 硬膜下、硬膜外出血。
◦ 大的血管畸形。
● 脑膜疾病。
◦ 感染。
◦ 炎症。
◦ 肿瘤。
● 静脉压增高 。
● 脑静脉血栓。
● 特发性颅内压增高(Idiopathic intracranial hypertension ,IIH)

图9.13 头部非增强轴位CT显示梗阻性脑积水(脑室扩张)

图9.14 脑部轴位液体衰减反转恢复磁共振成像显示一个大的脑肿瘤,其占位效应导致颅内压升高。
许多引起颅内压升高的疾病是危及生命的紧急情况。发现视乳头水肿应立即进行检查,最好是在有现代神经影像的专科中心进行检查,同时还应进行神经和眼科会诊。
检查应包括以下内容:
- 寻找潜在的神经疾病。
- 仔细评估视功能(视力和正式视野检查),因为视乳头水肿可导致继发性视神经萎缩造成永久性视力丢失。
- 检查血压(严重的系统性高血压或恶性高血压可引起双眼视盘水肿,类似视乳头水肿)。
精辟论述
虽然视乳头水肿是颅内压升高的可靠征象,但没有视盘水肿并不能排除头痛患者颅内压升高的可能性。
静脉压升高引起颅内压升高的症状和体征,包括乳头水肿。
静脉压升高的原因包括所有导致静脉回流降低的原因(图9.15)。

图9.15 (a)脑脊液(CSF)引流至颅内静脉窦。脑脊液被动地通过蛛网膜颗粒被吸收(大多数在上矢状窦内)。在静脉高压或静脉血栓形成的情况下,脑脊液吸收减少,脑脊液压力增加(来自Schuenke M, Schulte E, Schumacher U. Prometheus. Atlas of Anatomy. Head and Neuroanatomy. Illustrations by M. Voll and K. Wesker. 1st edition. Stuttgart: Thieme)。(b)颅内静脉系统解剖。(出自 Schuenke M, Schulte E, Schumacher U. Prometheus. Atlas of Anatomy. Head and Neuroanatomy. Illustrations by M. Voll and K. Wesker. 1st edition. Stuttgart: Thieme)
- 右心功能不全。
- 肺动脉高压。
- 睡眠呼吸暂停综合征。
- 上腔静脉综合症。
- 颈静脉阻塞。
- 用于血液透析的静脉导管阻塞或狭窄。
- 硬脑膜瘘。
- 脑静脉狭窄。
- 脑静脉血栓形成
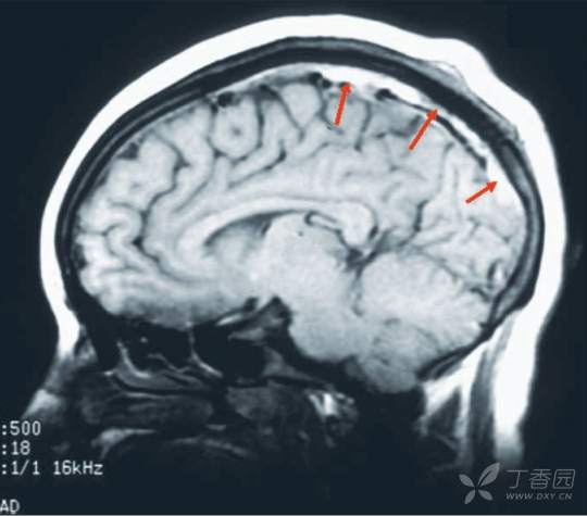
脑静脉血栓形成是颅内压升高的典型原因(图9.16;参见第20章)。患者可能表现为孤立的颅内压升高,因而酷似IIH。早期识别可预防破坏性中风和慢性视乳头水肿引起的视力丢失。

图9.16 矢状位非增强T1加权磁共振成像显示因脑静脉血栓形成导致的上矢状窦高信号。
当评估乳头水肿伴有疑似视乳头水肿(颅内压升高)的患者时,需要紧急进行神经影像学检查以排除颅内病变(图9.17)。脑增强磁共振成像(MRI)是理想的检查,是发现颅内占位、浸润和脑膜病变以及脑静脉血栓的最敏感的方法。非增强的CT通常是急诊室的首选检查方法,但在大多数情况下对这些患者并无帮助,除非随后进行脑MRI。的确,CT有助于发现颅内出血、脑积水和大的占位病变,但不能排除任何其他颅内病变。头部CT正常的患者应进一步进行脑MRI检查(见第4章)。在乳头水肿的情况下,正常的脑MRI扫描提示脑膜病变、静脉高压或IIH是颅内压升高的原因。必须进行腰椎穿刺,测量脑脊液(CSF)压力并进行脑脊液分析。

图9.17 视盘水肿的诊断。CSF:脑脊液;OCT:光学相干断层扫描成像;OP:脑脊液压力。
9.6 视乳头水肿分类及进展
视乳头水肿患者最初通常没有视觉症状。他们可能会抱怨闪光或一过性视力模糊(一眼或双眼出现短暂的视力丧失),通常因姿势改变而诱发,如弯腰后站起。未经治疗的慢性视乳头水肿导致视力丢失:中心视力直到晚期仍为正常,患者出现隐匿性进行性视野收缩(图9.18,图9.19,图9.20,图9.21,图9.22)。

图9.18 (a,b)早期视乳头水肿。视盘边缘模糊且隆起。可见视乳头周围晕圈。

图9.19 (a,b)中度视乳头水肿。所有边界都模糊不清,视盘看起来变大。血管也被遮蔽。可见视乳头周围晕圈。

图9.20 (a,b)严重的视乳头水肿。整个视神经乳头隆起并被大量出血和棉絮斑遮蔽。看不到神经和血管的边缘。静脉扩张、迂曲。

图9.21 (a,b)严重的慢性视乳头水肿。视神经向前突出,呈圆顶状。可见渗出延伸累及黄斑。

图9.22 继发性视神经萎缩。(a,b)随着时间的推移,即使在颅内压持续升高的情况下,未经治疗的视乳头水肿也会减轻。视盘开始萎缩,视网膜血管变细并被鞘膜包裹。(c,d)视神经变得平坦和苍白。以前视盘水肿的乳头周围病变持续存在。
精辟论述
颅内压升高只有在存在视神经乳头水肿的情况下,才会因视神经病变从而导致视力丢失。患者假定有颅内高压,但视神经正常,则没有失明的风险。
正式的视野检查(Humphrey视野检查见图9.23)在视乳头水肿时通常是异常的。盲点扩大和鼻侧缺损在初期较为常见(图9.23a)。视野缺损可以进展,通常呈向心性,累及视野中心30度(图9.23b)。如果颅内压升高未及时治疗,严重的破坏性视野丢失(图9.23c)往往是永久性的(注意,即使在底部例子中看到严重的视野丧失,视力仍然相对保持在20/25 OD[右眼]和20/40 OS[左眼])。

图9.23 视乳头水肿时视野缺损的进展(24-2 Humphrey视野)。(a)早期改变呈盲点扩大。(b)视野收缩,鼻侧更严重。(c)严重的收缩。
精辟论述
慢性视乳头水肿导致视神经萎缩和永久性视力丢失。视神经萎缩发生时,视乳头水肿消退,视神经呈现萎缩(苍白),常伴有视乳头周围改变(图9.22)。严重的视神经萎缩患者即使颅内压升高,也不会出现视乳头水肿(死亡的神经不会肿胀)。
9.7 特发性颅内压增高(Idiopathic Intracranial Hypertension,IIH)
IIH以前称为假性脑瘤,其定义为影像学正常、脑脊液内容物正常的颅内压增高。根据定义,脑膜病变或脑静脉血栓形成引起的视乳头水肿不属于IIH。IIH患者有颅内压升高的症状和体征,如头痛、恶心、搏动性耳鸣、视乳头水肿(及视力丢失),以及单眼或双眼第六颅神经麻痹引起的复视。这种疾病的处理是基于头痛的严重程度和视力丢失的发生,特别是视野缺损。

视频9.1 特发性颅内压增高患者的第六颅神经麻痹https://www. thieme.de/de/q.htm?p=opn/ tp/260714403/9781684200740_ video_09-01&t=video
9.7.1 特发性颅内压增高的诊断
IIH的诊断标准如下:
- 颅内压升高的体征和症状(包括视乳头水肿)。
- 清醒的患者除外展神经麻痹外,无定位性神经体征(视频9.1)。
- 正常的神经影像学检查(神经影像学应包括高质量的MRI扫描,联合或不联合磁共振静脉成像[MRV]或计算机断层静脉造影[CTV],以排除脑静脉血栓形成)。颅内压增高的非特异性体征也很常见,包括空蝶鞍、扁桃体疝、眼球壁变平、视神经鞘扩张、脑膜膨出和颅内横静脉窦狭窄。
- 有记录的脑脊液压力增高(250mmH2O),但CSF成分正常。
- 排除颅内压升高的原发性结构性或全身性原因(如慢性脑膜炎或脑静脉血栓形成)。
9.7.2 导致特发性颅内压增高的原因
该病病因尚不清楚。它通常累及年轻、肥胖的女性,并可能与其他因素有关。与IIH相关的主要因素是女性、肥胖或近期体重增加、睡眠呼吸暂停综合征和药物(维生素A、异维甲酸、四环素和环孢霉素)。
9.7.3 特发性颅内压增高的预后
虽然IIH通常被认为是一种相对良性的疾病,持续几个月后缓解而并无后遗症,但许多患者表现为不可逆的视力丢失和慢性头痛的慢性形式。
严重视乳头水肿的患者在就诊时常常有视野缺损(图9.23),如果视乳头水肿持续,视野缺损会恶化。由于中心视力最初是正常的,IIH患者通常意识不到视野缺损,有可能发现视力变化太晚而无法扭转视力损失。因此,在随访这些患者时,系统地获得重复的自动化视野检查是非常必要的。高达20%的IIH患者发生不可逆的视力丢失。
视力预后差的危险因素包括黑人、男性、病态肥胖、未经治疗的贫血、控制不良的系统性高血压和非常迅速的发病(暴发性IIH)。就诊时视力丢失或相对传入瞳孔缺损(提示因视乳头水肿引起的严重不对称性视神经损伤)的患者,同样视力预后较差。
大多数IIH患者会出现与颅内压无关的慢性每日头痛。这些头痛通常有多种机制,包括止痛药滥用引起的头痛。抑郁、生活质量差和认知障碍也时常被报道。
罕见情况下,未经治疗的慢性颅内压增高可导致颅底自发性脑脊液漏,引起耳漏或鼻漏。
9.7.4 特发性颅内压增高的治疗
IIH的治疗目标是缓解头痛、复视和保持视功能(图9.24)。自发性缓解率高。

图9.24 特发性颅内压增高的处理。
腰穿作为检查的一部分通常是治疗的第一步,因为它能立即降低颅内压。虽然腰穿对颅内压的直接效果是暂时的,但仅一次腰穿后患者得到长期改善和持续降低颅内压者并不罕见,这表明在一次腰穿后,脑脊液分泌和脑脊液吸收之间的平衡可能以某种方式被重置。腰穿后头痛没有得到改善(至少是短暂的),意味着不太可能完全是颅内压升高的结果。
当发现潜在的诱发或恶化因素时,纠正它是很重要的。
- 停止诱发的药物。
- 治疗贫血。
- 治疗系统性高血压。
- 治疗睡眠呼吸暂停综合征。
乙酰唑胺是IIH的主要内科治疗手段。大多数患者对每天1至2g的剂量有效。它能降低颅内压,对视乳头水肿最有效。患者的视乳头水肿改善但仍有慢性头痛者往往需要神经科专科医生进行头痛的专科治疗。托吡酯有时被首选用于慢性头痛及中度视乳头水肿的患者。
减少体重是IIH治疗的主要内容,体重减轻10%左右通常就足以导致长期改善。为了确保持续减少体重,减肥手术有时是必要的。体重增加与复发风险有关。
在极少数情况下,患者发展迅速的进展性视力丢失,需要急诊手术治疗。在这种情况下,简程静脉注射类固醇有时是有帮助的,但在IIH中,类固醇不应常规或长期使用(因为体重增加和反弹效应)。
IIH的手术治疗包括以下:
● 脑脊液分流手术 (由神经外科进行;图9.25)
◦ 脑脊液引流到腹膜最为常用。
◦ 腰大池分流或脑室腹膜分流。
◦头痛严重时首选。
◦约50%的腰大池分流因梗阻或中断需要再修。
● 视神经鞘开窗(由眼科医生实施)(图9.26)。
◦ 通过经结膜内侧或外侧入路行视神经硬脑膜鞘开窗减压。
◦ 首先在视力最差的眼上做(通常需要第二只眼手术)。
◦ 视力丢失明显而头痛轻微时首选。
◦ 三年内开窗失效的病例高达三分之一。
● 横窦狭窄者血管内静脉支架植入(由介入神经放射科医师实施;图9.27)。
◦ 大多数IIH患者存在双侧颅内横静脉窦远端狭窄(图9.27)。虽然这些狭窄可能促使颅内压升高(图9.28),但它们不一定是颅内压升高的主要原因,大多数患者不需要治疗。
◦ 在某些情况下,对狭窄静脉窦行血管内支架,以降低颅内静脉高压并降低颅内压。

图9.25 特发性颅内压增高。腰大池分流术后症状和体征改善。(顶部图像:分流前;底部图像:分流后)。可见双眼第六颅神经麻痹(双眼外展不足),双眼视乳头水肿以及视野缺损。

图9.26 (a,b)视神经鞘开窗。经结膜内侧或外侧入路暴露视神经鞘。用锋利的刀片在鞘上做几条缝隙或开窗,使脑脊液逸出(箭头)。

superior sagittal sinus:上矢状窦; transverse sinus:横窦; internal jugular vein:颈内静脉
图9.27 增强磁共振静脉成像显示特发性颅内压增高颅内主要静脉窦(红色箭头)和双侧横静脉窦远端局灶性狭窄(黄色箭头)。(a)静脉窦后面观,(b)静脉窦侧面观。

图9.28 特发性颅内压增高中的静脉高压。横静脉窦狭窄损害了从脑到颈内静脉的静脉回流,从而增加了颅内静脉压。静脉压升高可导致脑脊液(CSF)被动性进入颅内静脉窦的再吸收受损,从而导致颅内高压。颅内压(ICP)升高导致横静脉窦塌陷,因而横静脉狭窄加重,继而颅内静脉高压进一步恶化。
(以上内容翻译自《Neuro-Ophthalmology Illustrated Third Edition》P251-272,视频源自该图书附件视频文件。)















































