分享图集|早产儿视网膜病变国际分类(第三版)
近期,由我国上海交通大学医学院附属新华医院赵培泉教授和中日友好医院陈宜教授等来自17个国家和地区的34位眼科医生共同参与制定的早产儿视网膜病变国际分类(ICROP)第三版发表于Ophthalmology杂志上,为全球范围内对早产儿视网膜病变(ROP)分类创建了标准术语,希望对大家的临床工作有所指导!
关键摘要
01、分区
视网膜3个分区以视盘为中心,最靠近后极部的视网膜血管化位置或 ROP 病变表示为该眼的分区。
后极部Ⅱ区:指Ⅰ区边缘延伸至Ⅱ区的2个视盘直径区域,此区域病变相较于更周边的Ⅱ区病变更令人担忧。
切迹:用于描述ROP病变在水平线附近向更后方视网膜区域的局部侵犯,大小在1-2钟点范围左右。此类ROP 分区应记录视网膜血管化最接近后极部的区域,并带限定词“切迹”(如“继发于切迹的Ⅰ区病变”)。
02、Plus 和 plus 病变前期
Plus病变指视网膜血管扩张和迂曲,而plus病变前期指视网膜血管扩张和迂曲,但不足以诊断为plus病变。从正常到plus病变前期再到plus病变,是一个连续变化的过程。应从Ⅰ区血管变化确定是否存在plus病变,而不是仅通过窄视野照相区域内的血管或血管异常的象限数来确定。
03、急性疾病分期(1-3期)
急性疾病分期是通过血管区-无血管区交界处的结构来定义的,1期分界线,2期嵴样改变,3期视网膜外新生血管形成或扁平新生血管。如果同一只眼存在超过1个的ROP分期,则按最严重分期对该眼进行分类。
04、急进型ROP
以前使用急进性后部型ROP描述位于Ⅰ区或Ⅱ区后极部严重、快速进展的ROP。后来逐渐认识到这种情况可能发生于视网膜后极部以外和较大的早产儿,尤其是在资源有限的地区,因此委员会建议使用新术语“急进型ROP”代替“急进性后部型ROP”。
05、视网膜脱离(4和5期)
4期:部分视网膜脱离。4A期未累及中心凹,4B期累及中心凹。
5期:全视网膜脱离。5A期,通过检眼镜可见视盘(提示开漏斗型视网膜脱离);5B期,由于晶状体后纤维血管组织或闭漏斗型视网膜脱离,视盘不可见;5C期,5B期伴有眼前节异常(如明显的前房变浅、虹膜角膜晶状体粘连、角膜混浊),提示闭漏斗型视网膜脱离。
06、病变范围
按时钟钟点分为12个区域。
07、消退
ROP消退及其后遗症可以是自发消退,也可以在激光或抗VEGF治疗后,可完全或不完全消退。应记录持续性视网膜无血管区的位置和范围。
08、再活化
指治疗后ROP病变再活化,可以包括新的ROP病变和血管变化。当 ROP 再活化后分期,建议标注再活化(如“再活化2期”)。
09、长期后遗症
以前的ROP国际分类未强调后遗症,包括晚期视网膜脱离、持续性视网膜无血管区、黄斑异常、视网膜血管变化和青光眼等。
01、分 区

右眼和左眼示意图显示ROP分区和钟点范围,实线表示I区至III区分界线。后极部II区:I区边缘延伸至II区的2个视盘直径区域(虚线)。左眼示例为II区1期约3个钟点的病变。
02、plus病变和plus病变前期
plus病变指视网膜血管扩张和迂曲。plus病变前期定义为视网膜血管异常扩张和迂曲,但不足以诊断为plus病变。

图. 轻度plus病变前期,较正常更明显的动脉迂曲和静脉扩张。

图. plus病变前期,动脉明显纡曲,但静脉扩张较轻。

图. plus病变前期,中等程度动脉纡曲和静脉扩张,但大多数委员会成员认为不足以诊断为plus病变。

图. plus病变,明显静脉扩张和动脉纡曲。plus病变与外周眼底表现不成比例,扁平的新生血管形成(3期,白色箭头)。

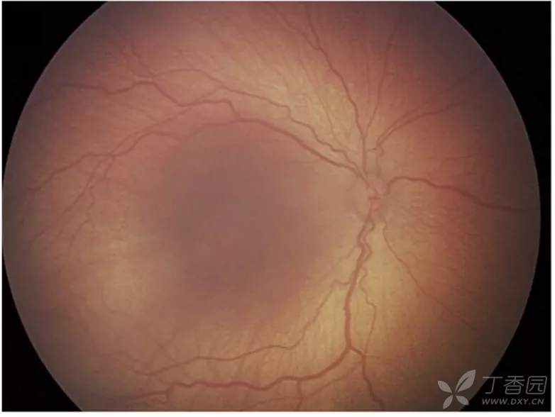
图. 严重plus病变,动、静脉纡曲扩张。

图. 严重plus病变,伴后极部3期病变(箭头),是典型的急进型ROP。
从正常到plus病变是一个连续变化过程。下图色标表示委员会成员对平均血管严重程度的分级(从绿色[正常]到红色[plus病变]),证明血管严重程度呈连续性改变。

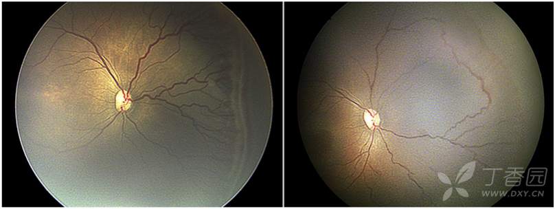
03、早产儿视网膜不完全血管化

当不存在ROP时,委员会建议使用术语不完全血管化(如上图描述为右眼“II区不完全血管化”)。
04、急性早产儿视网膜病变1至3期
ROP 1期:分界线

图左. 1期:视网膜血管区和无血管区之间的分界线(白箭)。
图右. 1期分界线(白箭)和切迹(黑箭头),视为“继发于切迹的I区病变”,伴plus病变前期。
ROP 2期:嵴

图左. 2期嵴,比1期更厚的凸起(白箭)。
图右. 2期嵴,注意嵴后爆米花样病变(白箭)和plus病变前期。
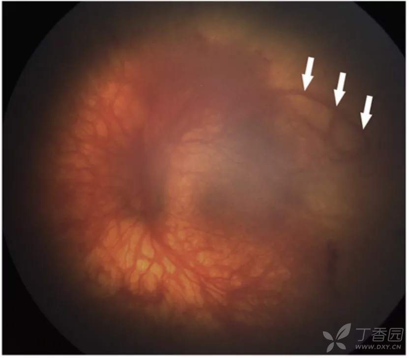
ROP 3期:视网膜外新生血管形成

图左. 3期视网膜外新生血管形成(白箭),伴plus病变。
图右. 2期(黑箭头)和3期病变(白箭)以及爆米花样改变(白箭头),伴plus病变。
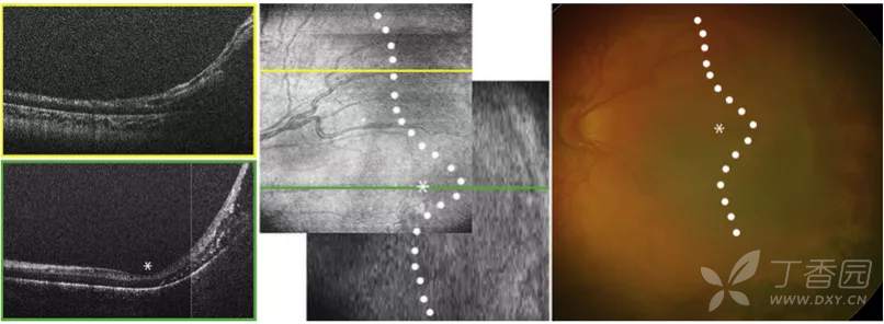
ROP 1至3期OCT图像

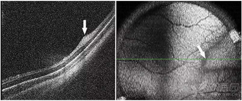
图. OCT图像上的1期分界线(白箭)与视网膜血管-无血管连接处对齐。

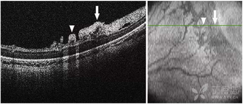
图. OCT图像上的2期脊(白箭)表现为视网膜内层局灶性增厚、隆起,与en face图像上血管区-无血管区交界处较宽的暗边界一致。

图. OCT图像和en-face图像显示3期视网膜外新生血管形成(白箭)。
05、急进型早产儿视网膜病变

图. I区严重血管收缩、毛细血管无灌注、非生理性扩张的血管袢、动静脉分流和plus病变。

图. I区视网膜血管区和无血管区边界可见扩张的血管袢(白箭),弥漫性平坦的视网膜外新生血管,颞上方最为明显,伴严重plus病变。

图. 严重plus病变,扁平的视网膜外新生血管伴纤维化,上方收缩(白箭头),视网膜内和玻璃体出血。

图. I区视网膜血管和无血管区边界不清(白箭),伴严重的plus病变,FFA可见明显的血管闭塞和毛细血管无灌注。
注:由于急进型ROP的关键诊断特征是疾病进展速度和血管异常,而不是疾病的位置,因此委员会建议使用新术语 “急进型ROP”来代替以往的“急进型后部ROP”。
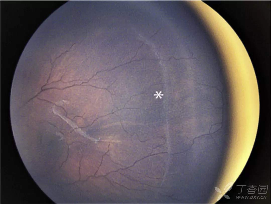
06、急性早产儿视网膜病变4期:部分视网膜脱离

图. 4A期, 视网膜外新生血管牵引可导致视网膜隆起(白点),中心凹(星号)未见脱离,视网膜外新生血管(白箭)可能较脱离区更周边。

图. 4A期ROP,周边嵴区域出现360°牵引性视网膜脱离。

图. 4B期黄斑脱离。

图. 4B期视网膜脱离伴视网膜下出血和黄斑脂质渗出。

图. 火山状4B期,后极部ROP患眼,病理性新生血管收缩导致血管化视网膜脱离形成火山状结构。
急性ROP4期OCT图像

图. 4A期视网膜脱离:OCT可见中心凹视网膜附着(星号),视网膜内渗出(高反射点)、周边部视网膜脱离和视网膜劈裂。

图. 4B期视网膜脱离:OCT可见中心凹视网膜脱离(星号),在检眼镜检查中很难识别。
07、急性早产儿视网膜病变5期:完全视网膜脱离

图. 5A期:视网膜完全脱离并可见视盘,提示开放漏斗型脱离。

图. 5B期:由于纤维血管组织,视盘不可见。

图. 5B期:外部照片眼前节正常,由于晶状体后纤维血管组织形成,视盘或视网膜不可见。B超显示完全性视网膜脱离,呈后部闭合漏斗状结构。

图. 5C期:眼前段特征改变为晶状体前移位、明显的前房变浅、中央虹膜-晶状体前囊膜-角膜内皮粘连,中央区角膜混浊(星号),无法观察到闭合漏斗状视网膜脱离。
08、急性早产儿视网膜病变消退

图. 激光治疗后的消退。左图为3期ROP伴plus病变治疗前;中图为治疗1周后3期病变变薄、变白。右图治疗后1个月病变消退。

图. 抗血管内皮生长因子(VEGF)治疗急进型ROP后plus病变消退。

图.在抗VEGF治疗后3期病变消退,plus病变改善,周围无血管视网膜血管化。
注:ROP病变消退可以是自发消退或者在激光或抗VEGF治疗后,可以表现为完全或不完全消退。需要记录“持续性视网膜无血管区”的部位和程度。
09、早产儿视网膜病变远期后遗症

图. 18岁患者既往有未经治疗的ROP病史,表现为牵引性和渗出性视网膜脱离。

图. 7岁患儿有自发消退ROP病史,超广角FA可见持续性视网膜无血管区(星号),颞下方异常的血管结构(圆圈)。

图. 7岁患儿有自发消退ROP病史,超广角FA可见颞下方不完全消退的3期病变处存在持续性视网膜无血管区和渗漏(星号)。

图. 15岁患儿有极度早产史,之前无ROP治疗史,超广角眼底图像(左侧)可见不完全消退的与持续性视网膜无血管区(星号)。2年后(右侧)患者出现累及黄斑部的孔源性

图. 1型ROP激光治疗史的7岁患儿,OCTA显示中心凹轮廓不完全(左)和中心凹无血管区边界不清(右)。
10、早产儿视网膜病变再活化

图. 既往矫正胎龄32周时抗VEGF,周围视网膜无血管区血管化,在矫正胎龄38周时发现分界线(白箭),称为再活化1期ROP。

图. 既往矫正胎龄38周时抗VEGF治疗,图为矫正胎龄100周,周边无血管区视网膜血管化,在原来嵴的位置残留纤维化(星号),因不伴随血管活动性增加,故不代表再活

图. 既往矫正胎龄37周时抗VEGF治疗,矫正胎龄68周时发现周边无血管区视网膜血管化,伴再活化1期病变(白箭),原来嵴的位置可见多个环形血管襻(星号)。

图. 既往矫正胎龄33周和52周经抗VEGF治疗,矫正胎龄67周时发现在血管化边缘(白箭)的后方出现再活化3期病变(星号)。

图. 既往矫正胎龄36周时抗VEGF,矫正胎龄50周时出现再活化3期病变(白箭),原来嵴(星号)。

图. 既往矫正胎龄34周时抗VEGF治疗,矫正胎龄45周时FFA可见病灶边缘再活化(白箭)和原边缘(星号)均存在渗漏。

图. 矫正胎龄34周时抗VEGF治疗I区病变(左侧,白箭),矫正胎龄38周时病变消退(中间,白箭),矫正胎龄51周时同一位置出现再活化3期病变(右侧,白箭)
未见周围无血管区视网膜血管化
注:ROP在治疗后病变再活化,包括新的ROP病灶和血管改变。如果ROP再活化后分期,建议标注再活化(如:再活化2期)。抗VEGF治疗后的再活化比自发消退后更常见,完全激光光凝后则很少发生。
















































