【博士生活】为啥胆囊切除之后,吃多了还会疼?(二)
同门师兄,行胆囊摘除术后一个月,
仍然无法回到工作岗位,
进食过多,或荤腥油腻,
原胆囊部位,还是会疼痛。
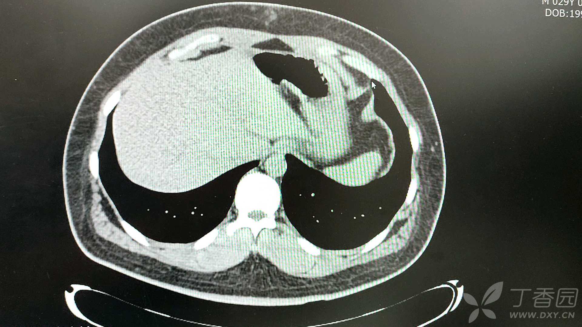
CT(水平面) 如下:


继续上贴,
询问疼痛原因?

附:
我的一些感触,
博士阶段大多已经三十而立,
身体不舒服,影响的不止学业,
还有生活和心情以及金钱。
所以还是照顾好自己吧,各位……
同门师兄,行胆囊摘除术后一个月,
仍然无法回到工作岗位,
进食过多,或荤腥油腻,
原胆囊部位,还是会疼痛。
CT(水平面) 如下:
继续上贴,
询问疼痛原因?
附:
我的一些感触,
博士阶段大多已经三十而立,
身体不舒服,影响的不止学业,
还有生活和心情以及金钱。
所以还是照顾好自己吧,各位……