世界神经内镜主席施罗德教授论鞍上颅咽管瘤开颅和经鼻内镜手术的差异
颅咽管瘤是一种良性肿瘤,虽然起源于垂体到下丘脑之间的很短一节垂体柄,但它能够生长成各种不同类型、质地、生长方向、各种各样的颅咽管瘤。不同解剖部位的颅咽管瘤可以是囊性的、实性的或囊实性的,还有部分肿瘤可能会存在一些钙化。它发生的主要部位在鞍区,也可以在鞍内、鞍上、鞍后、三脑室内部生长,可以侵袭到所有这些区域或部分这些区域。6-10岁儿童、26-30岁及41-45岁成人是颅咽管瘤的发病高峰年龄。男性一般多于女性。

颅咽管瘤可从垂体-下丘脑轴的任何一点发生并沿此轴发展,肿瘤可从位于蝶鞍到大脑的第三脑室,大约50%的肿瘤起源于第三脑室底水平的漏斗和/或灰结节区域,主要向第三脑室发展。 患者可出现头痛、视力损害和由中枢性尿崩症导致的多饮多尿等症状,儿童可出现发育迟缓,成人可出现性功能障碍和下丘脑综合征(如体温调节紊乱、水电平衡紊乱)。

颅咽管瘤病变的起源及部位决定它周围的重要解剖结构,包括视神经、垂体柄、下丘脑、还有颈内动脉的分支,基底动脉的分支,尤其基底动脉、后交通动脉和大脑后动脉跟肿瘤的关系可能会非常密切,此外还有脑干等。视神经跟视力有关系,垂体柄跟内分泌有关系,下丘脑决定病人认知能力和术后内分泌功能,脑干则是人体的“生命中枢”,颈内动脉、基底动脉这些大血管总管人体血液运输,手术切除过程中一旦损伤这些重要结构,可能导致灾难性、不可逆的神经功能损伤。
颅咽管瘤的手术治疗是现代神经外科挑战性的手术难题之一,这是因为肿瘤位置与下丘脑,垂体柄,视神经,视交叉和血管相毗邻,而正是这些决定了手术入路以及肿瘤切除的复杂性和术后并发症。目前用于鞍上区颅咽管瘤的开颅手术入路有额下入路、翼点入路、经胼胝体,或它们的组合入路。而在过去的几十年内,神经技术的极速发展使得神经内镜下经鼻蝶手术入路在神经外科领域占有了一席之地。对于鞍上颅咽管瘤,当前神经内镜经鼻蝶手术已成为传统开颅手术的替代方法,但目前文献中还缺乏有关生活质量和嗅觉功能等的相关数据。
INC世界神经外科顾问团成员教授、国际神经内镜联合会候任主席Henry W.S. Schroeder教授在其2021年发表在《Neurosurgical Review》上的《Quality of life and olfactory function after suprasellar craniopharyngioma surgery——a single-center experience comparing transcranial and endoscopic endonasal approaches》的论文中,教授所在的德国格赖夫斯瓦尔德大学(Greifswald University)神经外科专家组通过对该医学院接受手术治疗的所有鞍上颅咽管瘤患者进行病例随访和分析,总结了开颅手术与经鼻内镜手术后患者生活质量和嗅觉、视力、垂体等功能的差别。
在对这些患者的最后一次随访中,不同手术方式之后的嗅觉功能和生活质量(ASBQ,SNOT-22)以及视觉和垂体功能被评估。最终结论表明:术后新发的垂体前叶和垂体后叶功能减退症,经鼻内镜手术组(E)发生率较低。术后一般生活质量、鼻窦功能和嗅觉功能在两种手术方式后相当。经鼻内镜手术组(E)相对比而言,拥有较好的视力情况、较低的尿崩症发生率和肥胖发生率,但发生脑脊液漏和尿崩症的风险较高。
1、开颅手术:翼点入路和额外侧入路是经颅手术治疗鞍上颅咽管瘤的首选,所有手术均由资深作者Henry W.S. Schroeder教授完成。对患者进行全身麻醉后,仰卧位,头架固定,头部伸展旋转到对侧,以颧骨为最高点。皮肤切口通常位于发际线的后面。开颅手术后的关键步骤是通过打开侧裂池来释放脑脊液。尤其需要重视的是,肿瘤侵犯视交叉和下丘脑,通过视神经、视交叉或颈内动脉间的间隙去切除肿瘤。如果肿瘤有脑室内侵犯,则可以打开终板,使用神经内镜协助可以改善手术视野,从而避免或减少对视神经及视交叉的操作。
案例1
7岁男孩出现垂体功能减退的症状,如体重减轻、生长发育停滞、身体状况不佳和疲劳。就诊四周前,他一直抱怨头痛和呕吐,评估表明是全垂体功能减退。

a–c图MR成像显示囊性病变对比增强,高度怀疑颅咽管瘤

d图中,肿瘤(T)为通过右侧额外侧入路,暴露右视神经(ON)e图中,肿瘤包膜是用刀切开,f图显示钙化的肿瘤部分已被肿瘤切除

g图中,使用镊子的双向牵拉技巧解剖分离肿瘤;h图中,肿瘤(T)在30°神经内窥镜视野下正常显微镜难以显示;i图中,最终检查显示肿瘤全切除和视神经完整保留(ON)

j、k、l图显示,肿瘤得到全切,术后2年无复发,目前孩子在接受激素替代疗法
2、经鼻内镜入路:经鼻内镜手术切除鞍上颅咽管瘤也均由Henry W.S. Schroeder教授完成。在13例患者中,耳鼻喉科医生为外科医生进行了辅助。全身麻醉后,患者仰卧(30°)固定,经鼻入路的关键步骤是下鼻甲和中鼻甲的双侧偏侧化,鼻中隔皮瓣和鼻后部切除隔片并产生反向皮瓣。59%的患者切除了右侧中鼻甲,因为鼻腔狭窄。蝶骨期始于切除蝶骨台,然后磨除后组筛窦充分暴露蝶骨内的结节,切开蝶骨粘膜,此后,通过在鞍底上部钻孔, 暴露蝶鞍区、鞍膈和邻近的平面。颈部颈动脉和近侧视神经管通常没有东西覆盖。上部的海绵窦凝固后,V形切开硬膜切开。切开鞍膈,以暴露观察垂体柄。蛛网膜切开,识别垂体分支动脉。瘤内减压,并分离周边的神经血管。当患者出现全垂体功能减退时,肿瘤一般包绕侵犯垂体柄。当垂体功能正常,垂体柄注意保留。颅底用脂肪、纤维蛋白胶和鼻中隔皮瓣填塞封闭。当第三脑室被打开时,需放置腰椎引流管5天。
案例2
84岁女士视力减退。检查发现双侧视力下降、视野缺损。内分泌评估显示垂体功能完整。

a–c 图中,MR成像显示鞍上部分实性,部分囊性对比增强病变,高度可疑的颅咽管瘤。

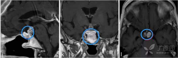
d图中,经鼻内镜手术入路暴露。视神经的隆起(ON)可以看到总颈动脉(C)和鞍状硬脑膜(S)。e图表示切除之后肿瘤隆起,肿瘤上表面暴露在30°内窥镜下观察。右前A2节段可见脑动脉和右视神经(ON)。f图中,从视交叉切开肿瘤,使用镊子双向牵拉分离暴露(视神经ON)、A1和前脑动脉的A2段(A1,A2)。

g图表示背侧肿瘤表面,垂体柄浸润(ST,在虚线)被可视化处理眼动脉(O),后交通动脉P1段(P)和后交通动脉(箭头)。h图表示肿瘤切除后,左视神经内出现严重的压迹(箭头),由于肿瘤对神经的压迫和A1区段引起的可以看到大脑前动脉(A1和A2)。i图中,最终检查显示垂体后叶浸润(ST)后部、交通动脉(箭头)、岩上段颈内动脉(C)和动眼神经(O)的肿瘤残留(T)

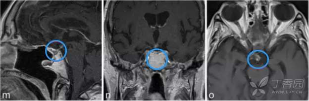
j-l图表示,在3个月后复查MR检查,显示术后垂体柄处有肿瘤少量残留。

m-o图显示,磁共振成像分期立体定向放射治疗后22个月,显示肿瘤明显缩小。病人经氢化可的松和甲状腺激素的替代治疗恢复良好。
神经内镜技术的相对优势
1、相比起显微镜手术,神经内镜有非常好的照明,视野好
2、无需牵拉重要的脑组织,术后反应轻
3、可以与显微镜同时操作切除肿瘤,操作方便简单
4、微创技术,患者恢复更快
综上,采用内镜经鼻入路切除颅底肿瘤具有诸多优势,可适用于脊索瘤、垂体瘤、颅咽管瘤、拉克氏囊肿、鞍结节脑膜瘤、海绵窦肿瘤、三叉神经鞘瘤等病例。
选择开颅还是经鼻内镜,需考虑以下因素
1、肿瘤的累及范围,若肿瘤居于中线,外侧在颈内动脉分叉部以内,则适合经蝶手术;若肿瘤明显向侧方生长,则建议开颅手术;少数肿瘤累及分叉部外侧,范围较小且该部分为囊性的病灶,经蝶手术也有全切机会。
2、手术通道:经蝶手术主要利用垂体与视交叉间的间隙,若术前矢状位磁共振提示该通道空间充分,则可经蝶手术;针对三脑室型颅咽管瘤,该通道狭小,部分学者采取视交叉上间隙亦可切除肿瘤,但手术难度较高。
3、肿瘤毗邻关系,若肿瘤完全包饶血管、神经等重要结构,或开颅术后复发者与周围结构黏连复杂,则经蝶手术难度更大,选择开颅手术可控性更高。
4、肿瘤质地、血供等因素,对实质性、质地韧、血供丰富的肿瘤,经蝶手术需要更高的手术技巧,应根据术者自身经验进行选择。
















































