探案寻踪80.肺上多发多样化结节,一元论还是多元论?(公布答案)

患者性别:女性
患者年龄:73岁
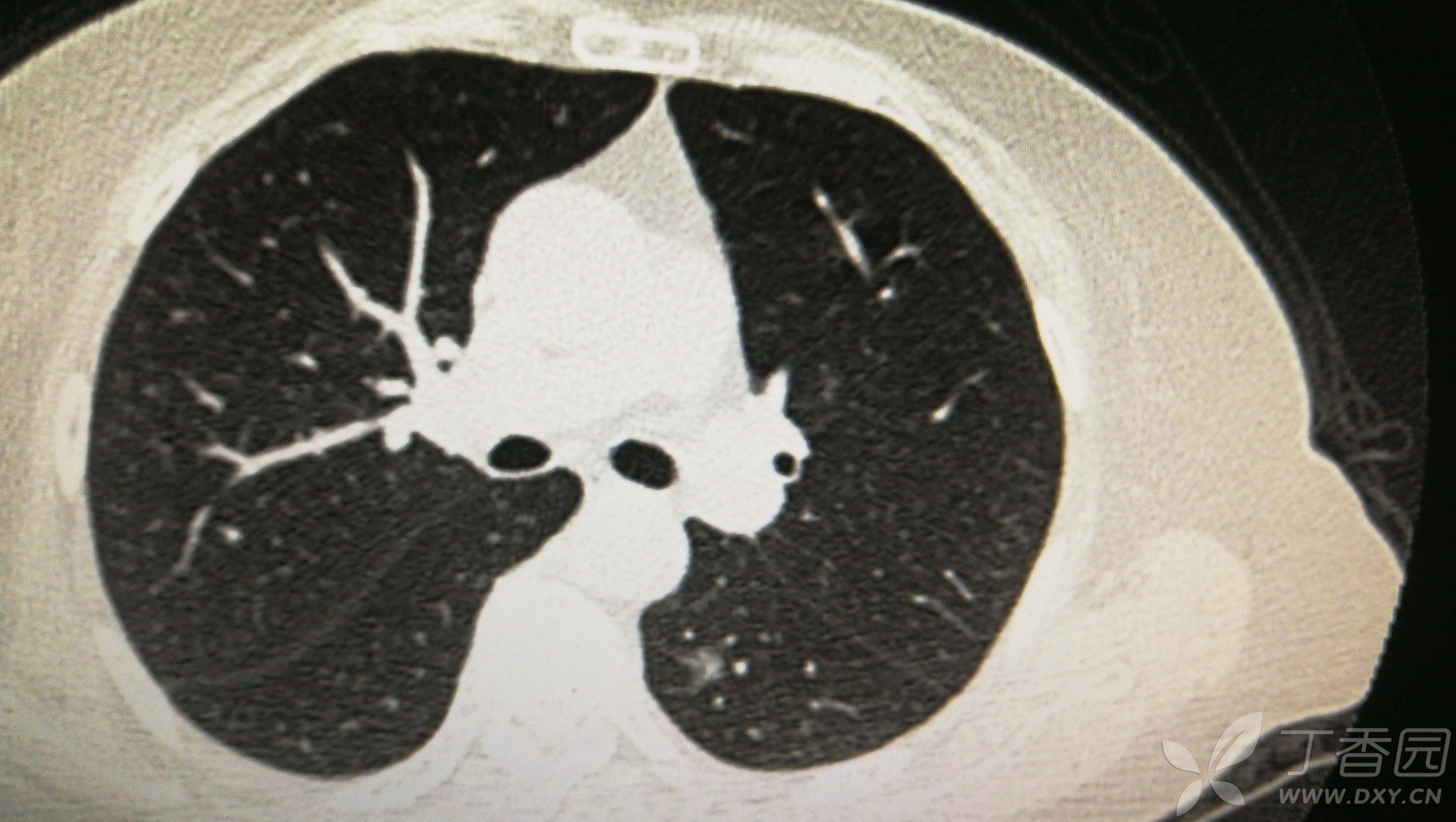
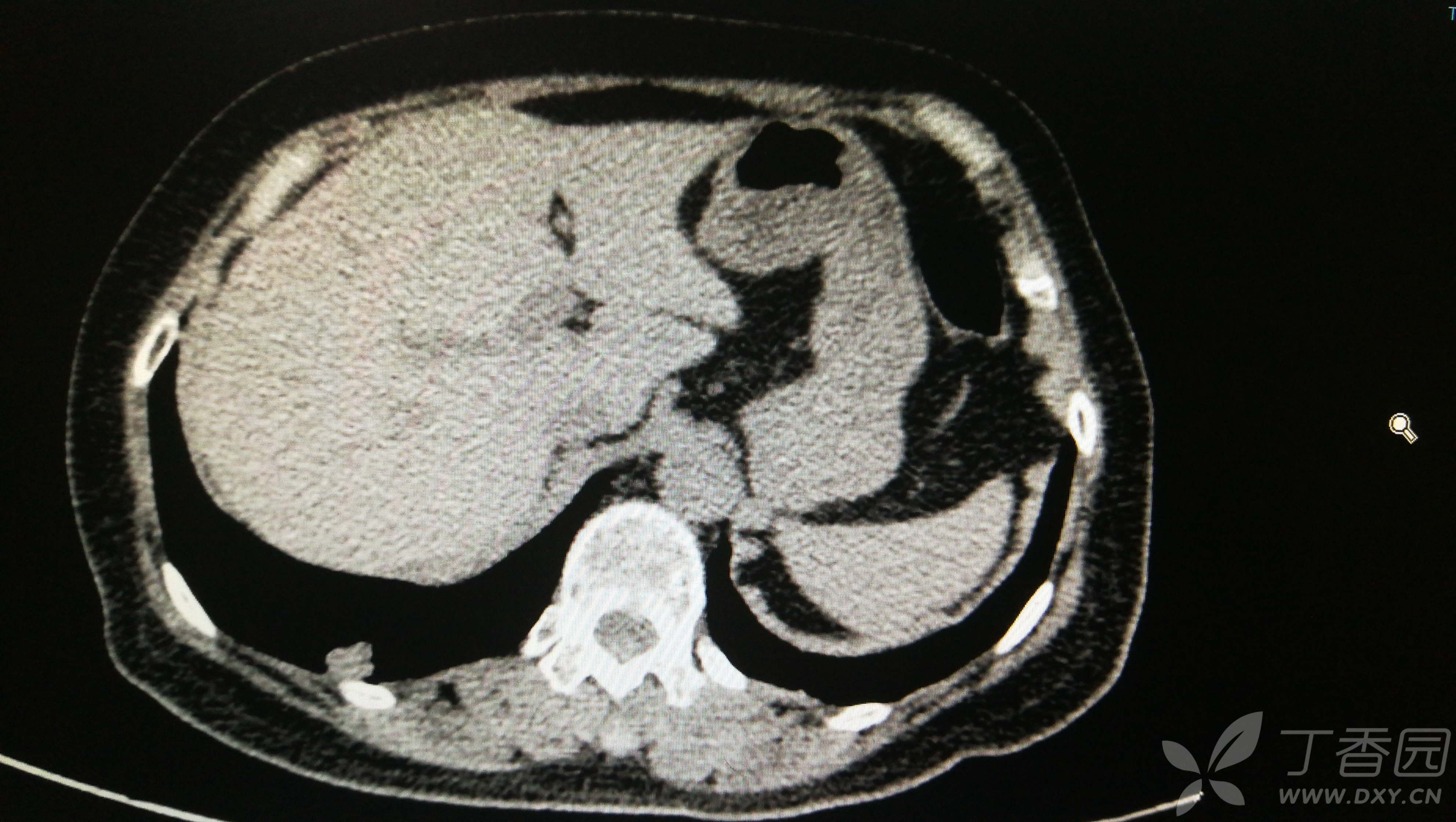
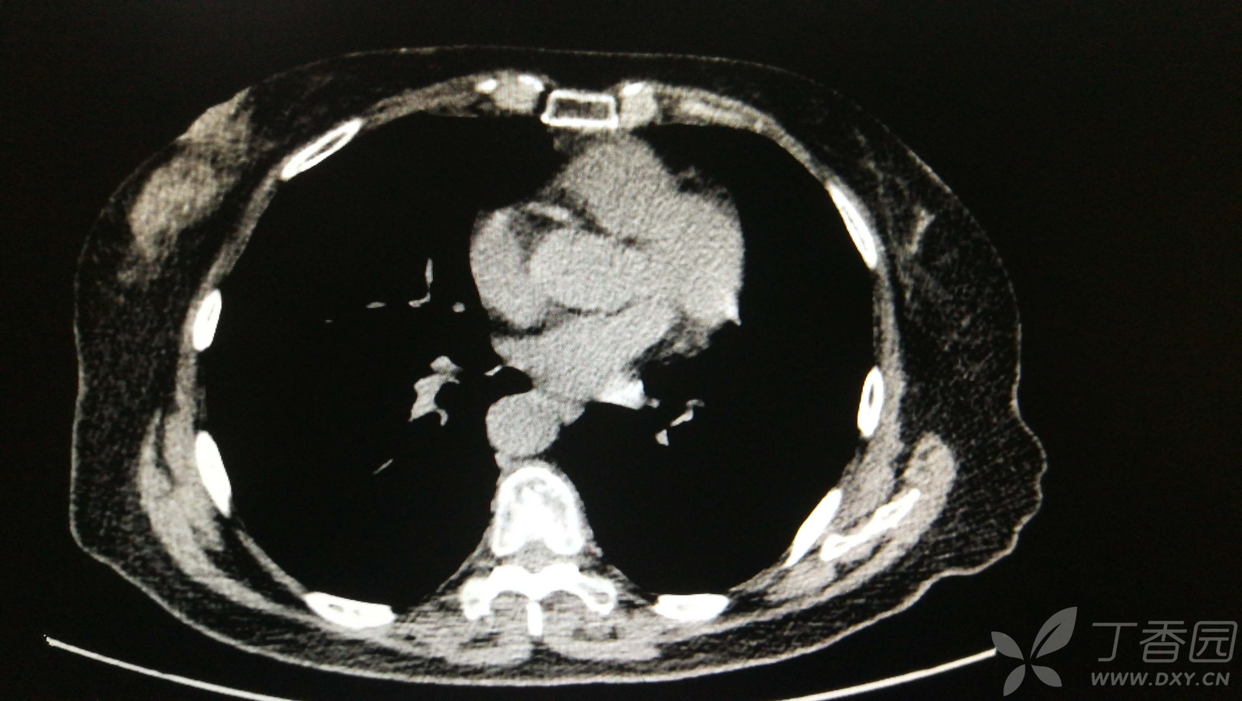
简要病史:查体发现双肺多发结节一个月。
辅助检查:胸部平扫CT







临床诊断:
①双肺多发磨玻璃结节
②右下肺实性结节
————手术————
由于患者高龄,合并内科疾病,且肺部结节多发,其他部位检查未见明显肿瘤病灶。因此,手术行胸腔镜右下肺外后基底段切除+右上肺楔形切除术。
术后病理:
①右下肺实性结节为浸润性腺癌。
②右上肺磨玻璃密度结节(分别为尖段、前段结节)均为微浸润性腺癌。
患者性别:女性
患者年龄:73岁
简要病史:查体发现双肺多发结节一个月。
辅助检查:胸部平扫CT
临床诊断:
①双肺多发磨玻璃结节
②右下肺实性结节
————手术————
由于患者高龄,合并内科疾病,且肺部结节多发,其他部位检查未见明显肿瘤病灶。因此,手术行胸腔镜右下肺外后基底段切除+右上肺楔形切除术。
术后病理:
①右下肺实性结节为浸润性腺癌。
②右上肺磨玻璃密度结节(分别为尖段、前段结节)均为微浸润性腺癌。