雄兔脚扑朔,雌兔眼迷离;双兔傍地走,安能辨我是雄雌?
L陈云旗 等 3 位达人已点赞患者性别:男
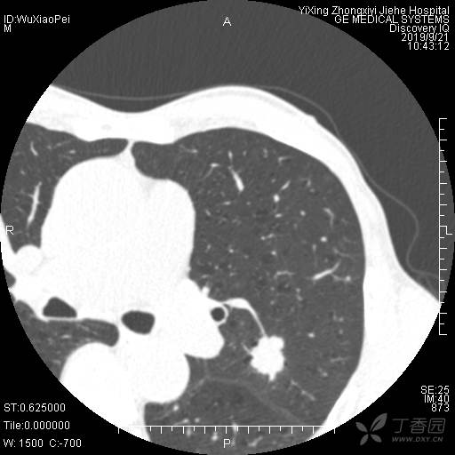
患者年龄:67
简要病史:咳嗽伴左腰痛一周。体检发现左上肺占位。
体格检查:未见明显异常。
辅助检查:外院CT提示:左上肺占位,肺气肿;超声提示:甲状腺小结节
临床诊断:右上肺占位(性质待查)
治疗经过:手术切除


































L陈云旗 等 3 位达人已点赞患者性别:男
患者年龄:67
简要病史:咳嗽伴左腰痛一周。体检发现左上肺占位。
体格检查:未见明显异常。
辅助检查:外院CT提示:左上肺占位,肺气肿;超声提示:甲状腺小结节
临床诊断:右上肺占位(性质待查)
治疗经过:手术切除


































