dxy logo
首页丁香园病例库全部版块
搜索
登录

冻伤后肺感染,病原如何考虑?

感染科医师 · 发布于 2020-05-26 · IP 浙江浙江
1936 浏览
推荐、达人点赞 2 项荣誉
这个帖子发布于 5 年零 179 天前,其中的信息可能已发生改变或有所发展。

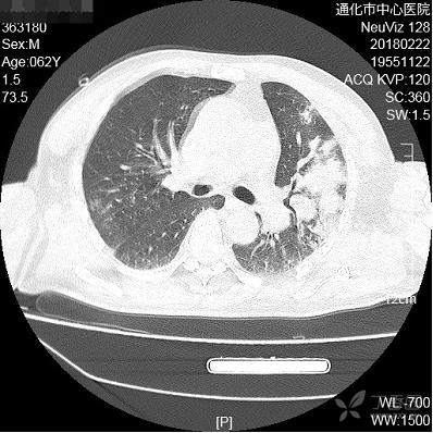
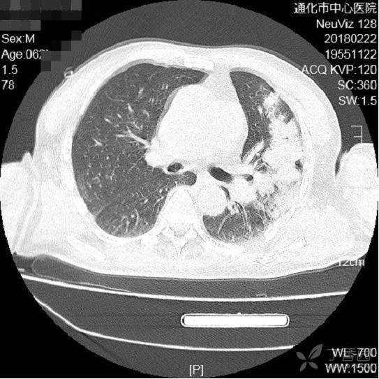
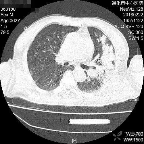
男,62岁。一氧化碳中毒昏迷而冻伤,因发现急性肾功能衰竭入住肾内科,入院后发现寒战发热、咳嗽、咯粘稠黄痰。嗜酒:2两/日,吸烟:3-5支/日。无糖尿病。 

血常规白细胞1.2万。  

治疗:头孢哌酮舒巴坦静点

img
img
img
img
img
img
img
img

考虑什么细菌感染?

17 24 12

全部讨论(0)

默认最新
avatar
17
分享帖子
share-weibo分享到微博
share-weibo分享到微信
认证
返回顶部