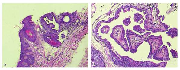
皮肤乳头状汗管囊腺瘤
原题:女学生颞部起疹9年,多次疗效不显,你诊断是?(已有结果)
答案已公布,详见29楼
病史简介:
患者,女,9岁,学生。
主诉:颞部起疹9年,偶觉轻微疼痛不适。
现病史:患者出生后即被发现右颞部有一肤色结节,约粟粒大小,表面光滑,随着年龄增长皮损逐渐增多、增大,皮疹呈带状排列;皮疹呈浸润性斑块、结节。2年前皮损显著增大,呈暗红色至棕褐色;部分结节表面伴血性及水样渗出物。疼痛轻微。曾间断在当地诊所予以外用药物(具体不详)治疗,疗效不明显。遂来我院治疗。患者自发病以来,饮食睡眠可,大小便正常。
既往史、家族史:既往体健,家族中无类似病史。
体格检查一般情况:一般情况可,发育正常,系统检查无特殊。


根据以上资料,你的诊断是?
请在评论区说出你的见解及分析,优秀者会有丁当奖励(丁当均可用于丁当商城兑换),并会邀请进入【丁香园皮肤版同行交流群】,与专家进行交流学习哦~
【病例挑战】栏目将陆续推出精选病例与同行们一起讨论学习,敬请关注~
想挑战更多病例?请点击👇
















































