【病例挑战】(答案已公布)第 1 期:阴部出现丘疹 1 个月,你的判断是?
简要病史:
患者,男,23岁,职员。主诉:阴部出现扁平丘疹1个月,无自觉症状。现病史:患者于就诊前1个月阴部出现数个扁平丘疹,不痛不痒,未予以治疗,后逐渐增多。
5个月以前有非婚性生活。发病以来,大小便饮食及睡眠均佳。既往史、家族史:既往体健,无类似病史。家族中无相似患者。体格检查一般情况:良好,系统检查无异常。

根据以上信息,你的分析和诊断是?
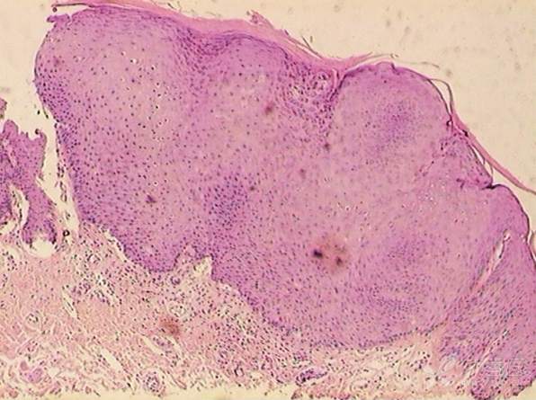
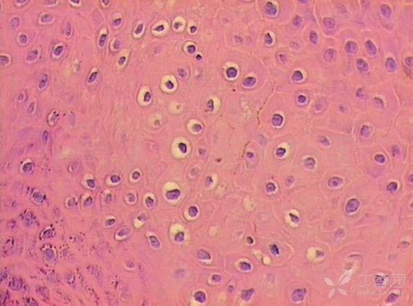
补充资料:组织病理,欢迎大家继续讨论哦~~


请在评论区说出你的见解及分析,优秀者会有丁当奖励(丁当均可用于丁当商城兑换),并会邀请进入【丁香园皮肤版同行交流群】,与专家进行交流学习哦~
【病例挑战】栏目将陆续推出精选病例与同行们一起讨论学习,敬请关注~
答案已公布,见23楼
想挑战更多病例?请点击👇
















































