双下肢麻木查因
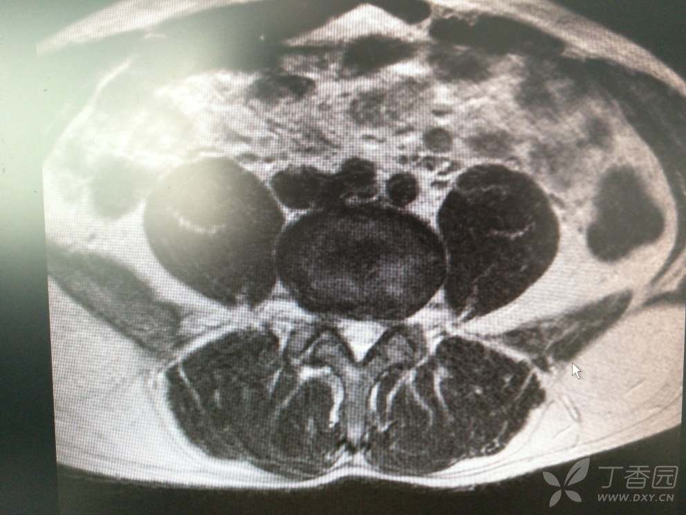
患者男,46岁,双下肢麻木2年余。
2年前无明显诱因出现双下肢麻木,双下肢沉重感,感觉对称,在坐位、平卧位时发生,活动或抬高下肢后缓解,无双下肢放射痛及乏力等。
查体:腰椎活动可,腰肌稍紧,L2-S1椎无明显压痛,双侧坐骨行程无压痛,直腿抬高试验(-),加强试验(-)肌力5级,肌张力正常,生理反射存在,病理反射未引出。
入院查MRI












我想问还是考虑L4/5 L5/S1椎间盘的变性引起的吗?
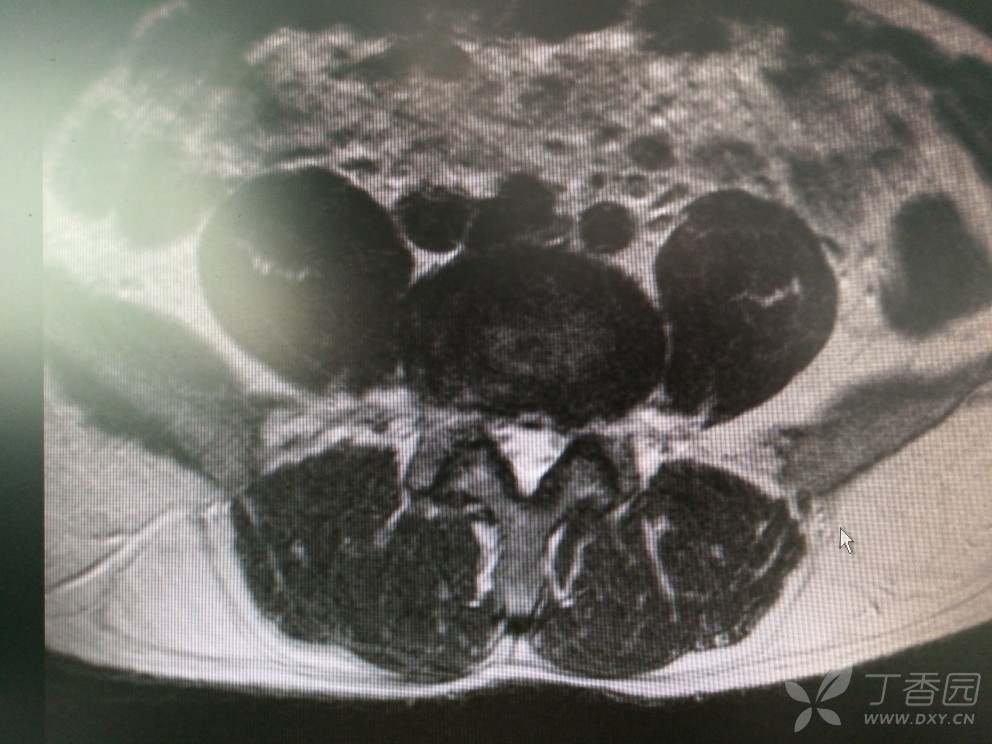
患者男,46岁,双下肢麻木2年余。
2年前无明显诱因出现双下肢麻木,双下肢沉重感,感觉对称,在坐位、平卧位时发生,活动或抬高下肢后缓解,无双下肢放射痛及乏力等。
查体:腰椎活动可,腰肌稍紧,L2-S1椎无明显压痛,双侧坐骨行程无压痛,直腿抬高试验(-),加强试验(-)肌力5级,肌张力正常,生理反射存在,病理反射未引出。
入院查MRI
我想问还是考虑L4/5 L5/S1椎间盘的变性引起的吗?