dxy logo
首页丁香园病例库全部版块
搜索
登录

【病例讨论】36岁女性左肾实性占位,讨论治疗方案(公布病理诊断!)

泌尿外科医师 · 发布于 2012-06-21 · IP 广东广东
3.0 万 浏览
icon推荐
这个帖子发布于 13 年零 160 天前,其中的信息可能已发生改变或有所发展。
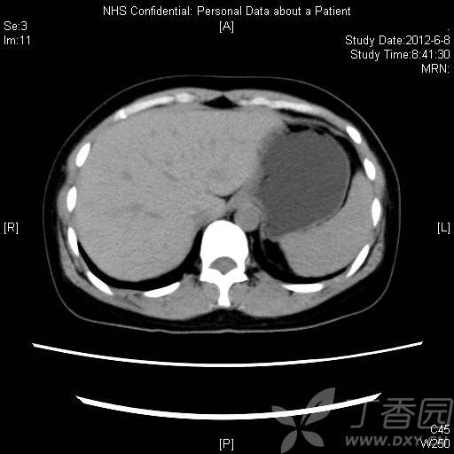
患者36岁女性,体检发现左肾实性占位,无自觉症状。
【讨论】
1、诊断?
2、是否需要行进一步检查?
3、治疗方案:观察?手术——保留肾单位手术?肿瘤剜除?单纯肾切除?根治性肾切除?
B超:
img

img

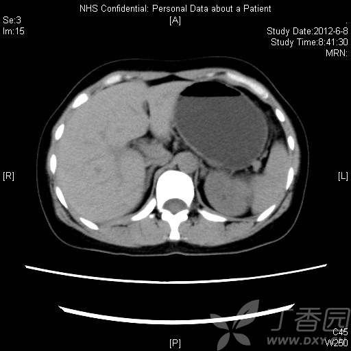
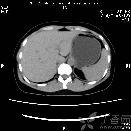
CT资料:

img


img


img


img
img


手术图片及大体标本图于2012年6月27日公布,敬请关注!(没有楼层提示了,见谅,大约在第2页尾)

















分享一例会诊病例
6783 讨论
该帖还没有疾病标签去添加
175 49 2
同行评议(0)
已评议
不开通精选
开通精选
精选已授权,待上线
评议结果暂未公布
参与评议
去邀请
NaN
病例完整NaN
临床实用NaN
诊疗科学NaN
学术价值NaN

全部讨论(0)

默认最新
avatar
175
分享帖子
share-weibo分享到微博
share-weibo分享到微信
认证
返回顶部