【腹盆】特别精彩病例|男,40岁,体检发现肝占位2周余(结果已公布)
胡志勇HZY 等 2 位达人已点赞病例信息
男性,40岁
主诉:因“体检发现肝占位2周余”入院。
现病史:患者2周前因左侧胸部疼痛伴脸部麻木到外院就诊,心电图未见异常并排外了心肌梗死,行胸部CT时提示肝占位,为进一步治疗,到我院门诊就诊,自起病以来,偶感左胸部疼痛,面部偶感麻木,左暖背部疼痛,无腹痛、腹泻、寒战高热,无皮肤巩膜黄染,患者精神饮食尚可,二便正常,体重无明显变化。
既往史:一般情况良好,否认肝炎、结核或其他传染病史,已接种乙肝疫苗、已接种卡介苗、已接种脊灰、已接种麻疹疫苗、已接种百白破疫苗、已接种了脑,过敏史:无,无外伤史,无手术史,无输血史,无特殊病史。
个人史:长期居住于原籍,职业专业技术人员,未到过牧区及疫区,无冶游史无吸海史,无吸烟史,偶尔应酬时喝酒。
实验室检查:甲胎蛋白稀释定量(DI-AFP):甲胎蛋白0.92ng/ml,癌胚抗原<0.30ng/ml,血清糖类抗原19-9 5.01U/ml,乳酸脱气酶 407IUL,轻丁酸脱氢酶 290IUL,甘油三西3.05mmol,尿酸630umolL,谷氨酷转肤酶61IU。
专科情况:腹部外形正常,全腹软,无压痛及反跳痛,腹部未触及包块,肝脏肋下未触及,脾脏肋下未触及,双肾未触及。
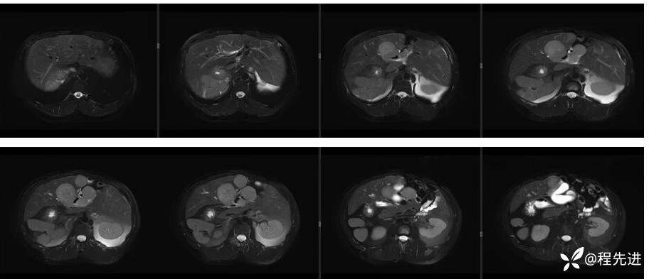
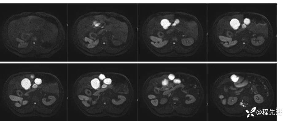
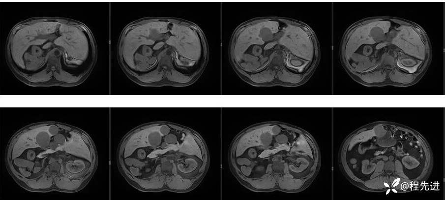
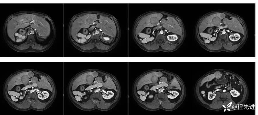
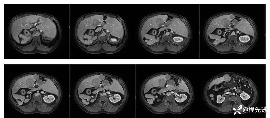
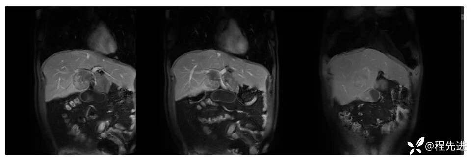
辅助检查:上腹部平扫+增强扫描提示:肝脏、脾脏、胰腺 、胃十二指肠左右倒置,脾脏形态失常,呈分叶团块状,考虑发育变异。肝左右交界区多发肿块,考虑:上皮样血管内皮瘤可能性大,或转移瘤?其它?请结合临床。脂肪肝。肝门胆管局限性扩张。胆囊折叠,壁稍增厚,慢性炎症?胰腺下方椭圆形结节,副脾?
影像检查























































