dxy logo
首页丁香园病例库全部版块
搜索
登录

病例【神经】特别精彩病例|女,25岁,言语含糊、意识状态改变1天

影像核医学版版主 · 发布于 3 天前 · IP 江西江西
592 浏览
icon呱呱叫了 等 2 位达人已点赞

病例信息

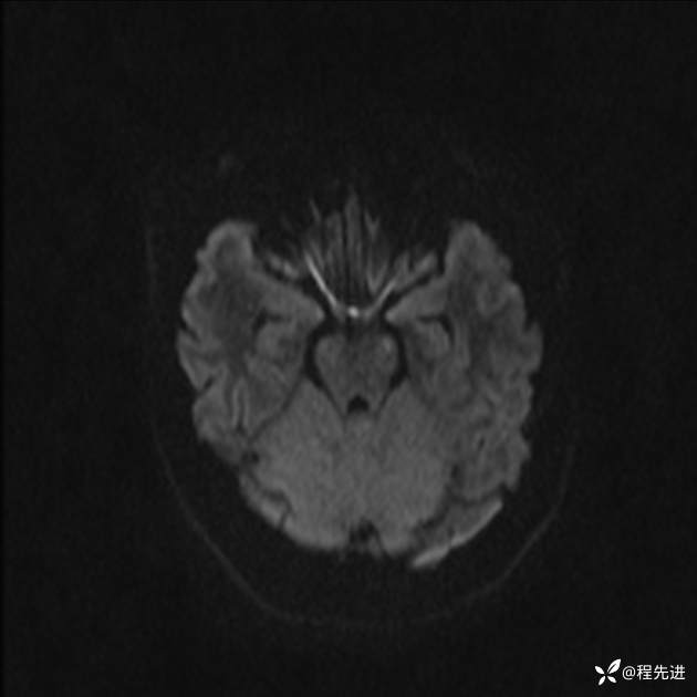
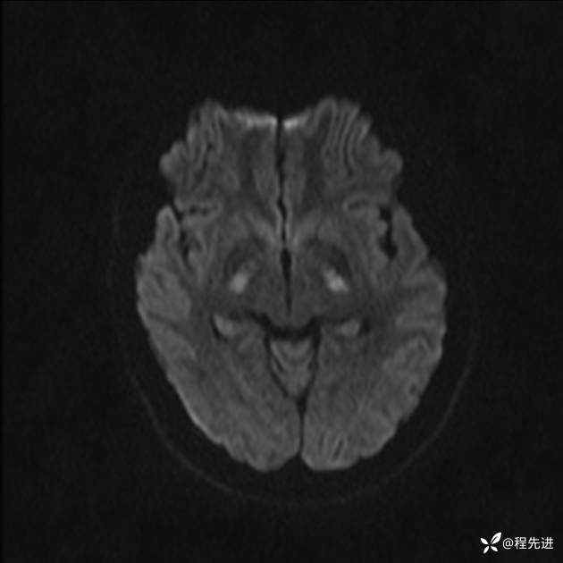
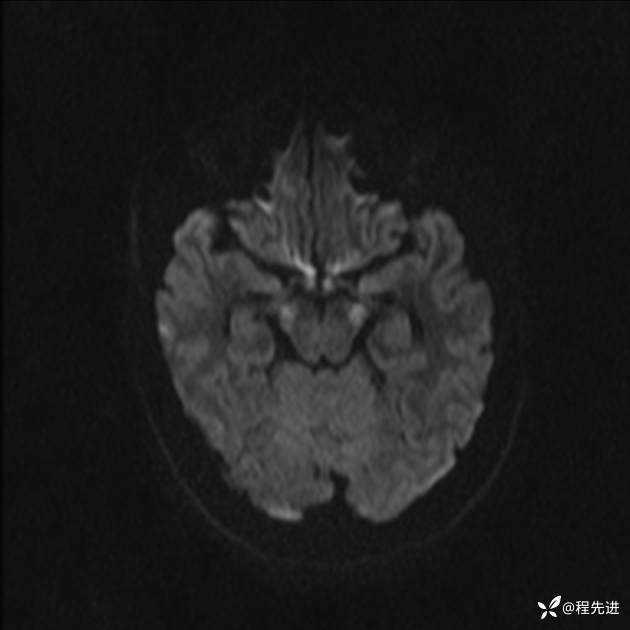
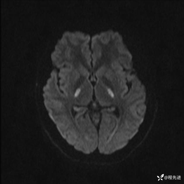
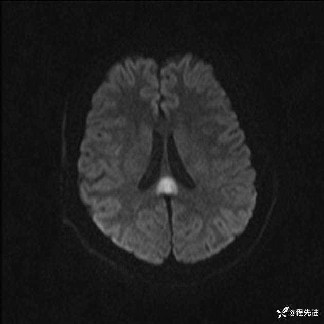
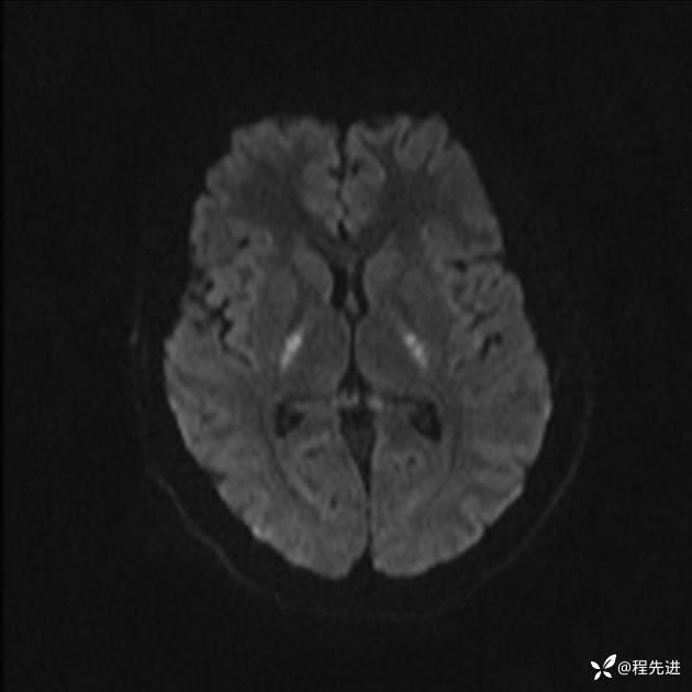
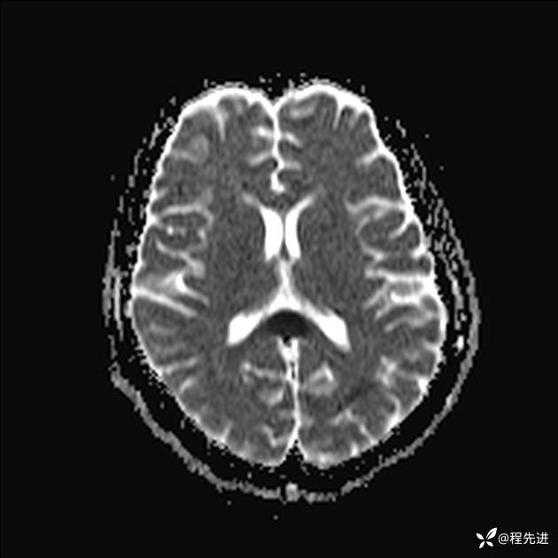
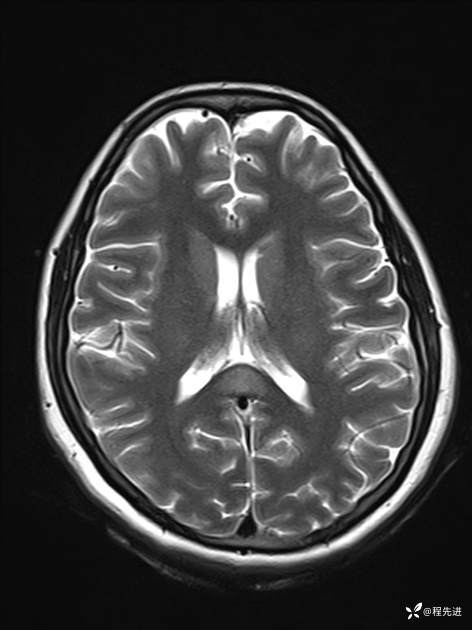
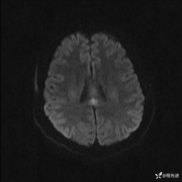
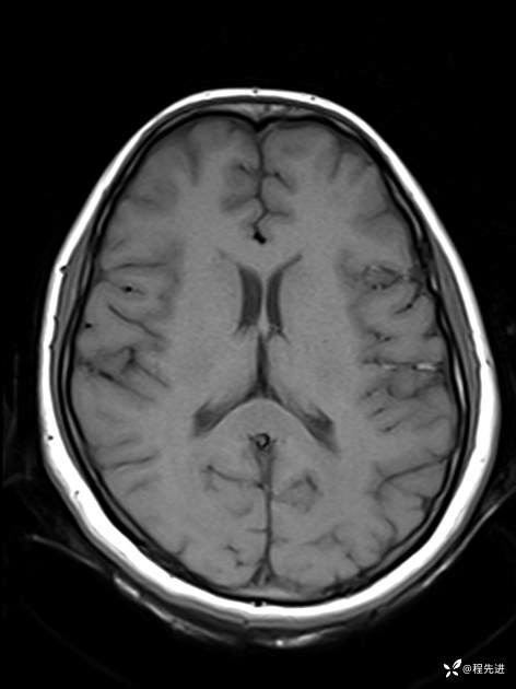
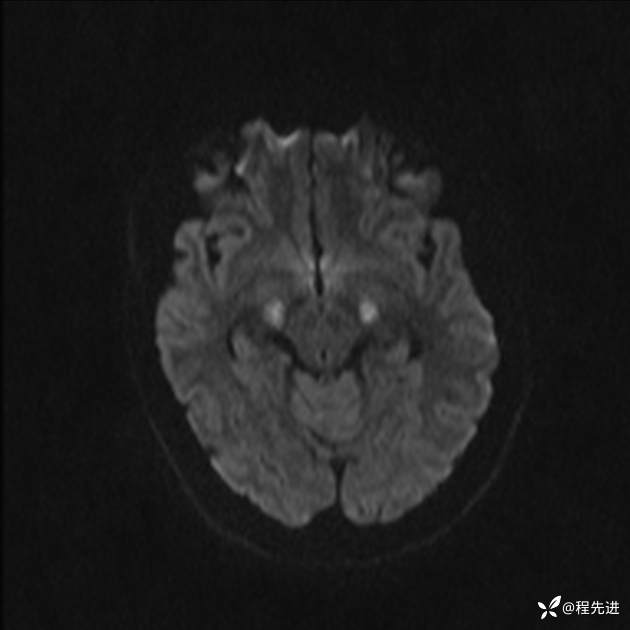
【患者信息】:女,25岁

【现病史及既往史】:言语含糊、意识状态改变1天。有下段剖宫产术10天病史。

【检查】

img
img
img
img
img
img
img
img
img
img
img
img
该帖还没有疾病标签去添加
19 4 15
同行评议(0)
已评议
不开通精选
开通精选
精选已授权,待上线
评议结果暂未公布
参与评议
去邀请
NaN
病例完整NaN
临床实用NaN
诊疗科学NaN
学术价值NaN

全部讨论(0)

默认最新
avatar
19
分享帖子
share-weibo分享到微博
share-weibo分享到微信
认证
返回顶部