dxy logo
首页丁香园病例库全部版块
搜索
登录

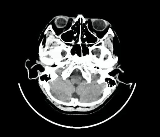
病例【神经】男,10岁,头部外伤偶然发现,您的诊断?

影像核医学版达人 · 发布于 2 天前 · 来自 iOS · IP 吉林吉林
257 浏览

病例信息

【患者信息】:男,10岁。

【主诉】:头部外伤。

【现病史及既往史】

【检查】

previewplay video


【临床诊断】

【治疗经过及结果】

脑外伤 (39)
纠错
5 1 2
同行评议(0)
已评议
不开通精选
开通精选
精选已授权,待上线
评议结果暂未公布
参与评议
去邀请
NaN
病例完整NaN
临床实用NaN
诊疗科学NaN
学术价值NaN

全部讨论(0)

默认最新
avatar
5
分享帖子
share-weibo分享到微博
share-weibo分享到微信
认证
返回顶部