【神经】特别精彩病例|多尿、烦渴、多饮3月,恶心2月余
病例信息
【患者信息】:男,49岁
【现病史及既往史】:
多尿、烦渴、多饮3月,恶心2月余
既往史无殊,有糖尿病、高血压家族史。
【检查】:
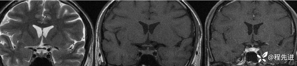
辅助检查:血渗透压:Sosm314mOsm/kgHO,尿渗透压:435mOsm/kgH0,尿比重1.011,Na149mmol/L


病例信息
【患者信息】:男,49岁
【现病史及既往史】:
多尿、烦渴、多饮3月,恶心2月余
既往史无殊,有糖尿病、高血压家族史。
【检查】:
辅助检查:血渗透压:Sosm314mOsm/kgHO,尿渗透压:435mOsm/kgH0,尿比重1.011,Na149mmol/L


