dxy logo
首页丁香园病例库全部版块
搜索
登录

病例【神经】特别精彩病例|间断头晕、头痛1月伴右手麻木2周

影像核医学版版主 · 发布于 2024-09-13 · 来自 iOS · IP 江西江西
5894 浏览
icon胡志勇HZY 达人已点赞
这个帖子发布于 1 年零 72 天前,其中的信息可能已发生改变或有所发展。

病例信息

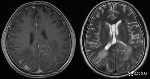
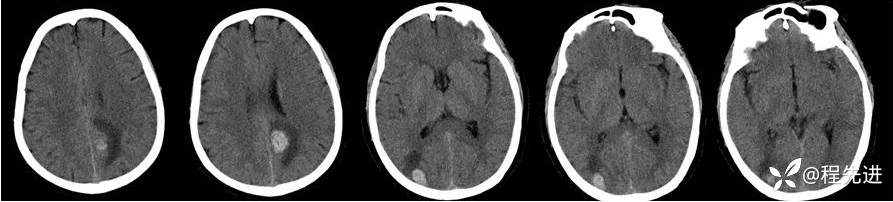
【患者信息】:女,65岁

【主诉】

【现病史及既往史】:间断头晕、头痛1月伴右手麻木2周。既往史:有左心房粘液瘤切除术

【检查】

CT:

img


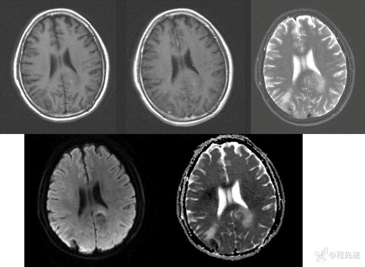
MRI:

img


img


img


img


img


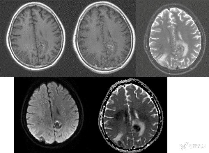
半年后:

img
该帖还没有疾病标签去添加
11 2 9
同行评议(0)
已评议
不开通精选
开通精选
精选已授权,待上线
评议结果暂未公布
参与评议
去邀请
NaN
病例完整NaN
临床实用NaN
诊疗科学NaN
学术价值NaN

全部讨论(0)

默认最新
avatar
11
分享帖子
share-weibo分享到微博
share-weibo分享到微信
认证
返回顶部