【神经】特别精彩病例|发热、头痛20天
病例信息
患者性别:女
患者年龄:24岁
主诉:发热、头痛20天
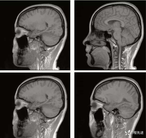
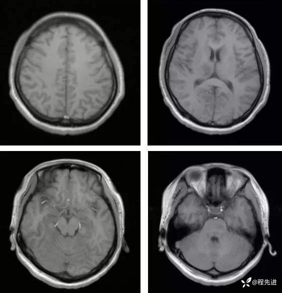
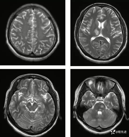
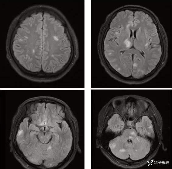
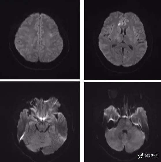
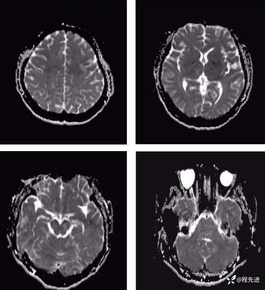
病史:患者20天前无明显诱因下出现畏寒、发热,热峰39.5℃,热型不规则,不伴咽痛,流涕,感头昏,有头痛,阵发性加剧,伴呕吐,为胃内容物非喷射性。患者在外院查头颅CT示:未提示异常。外院予以“头孢类、退热药”,无明显好转。我院急诊予以“泼尼松,热毒宁"治疗无明显好转
实验室检查:
血常规:WBC5.68*109/LN80.2%
空腹血糖 6.85 mmol/L
肝肾功能正常,电解质正常,抗链球菌溶血素“O”531.00 IU/mL,RF、CRP均正常,血沉27mm/h
外院胸部CT:两肺弥漫分布结节斑片影,考虑感染







期待您的点赞支持!
期待您的精彩解读!















































