【神经】特别精彩病例|全身乏力,手脚发麻半日
李梦杰huxi 等 3 位达人已点赞病例信息
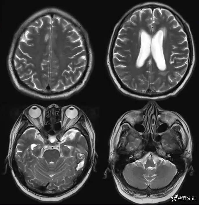
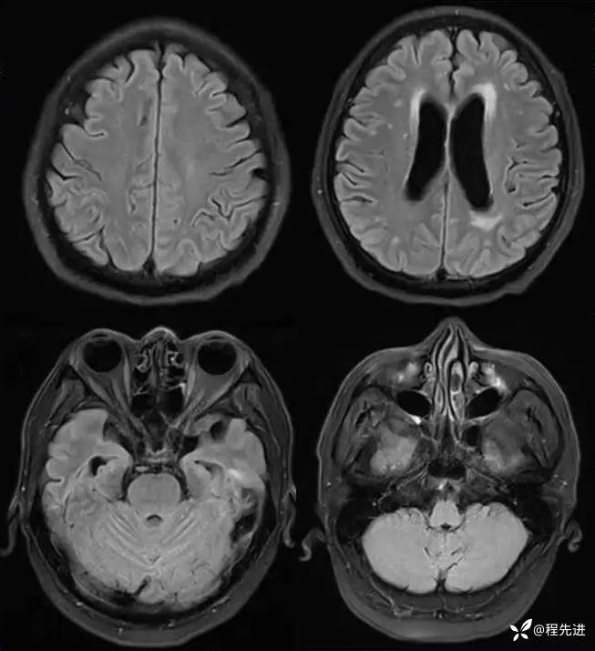
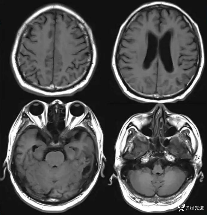
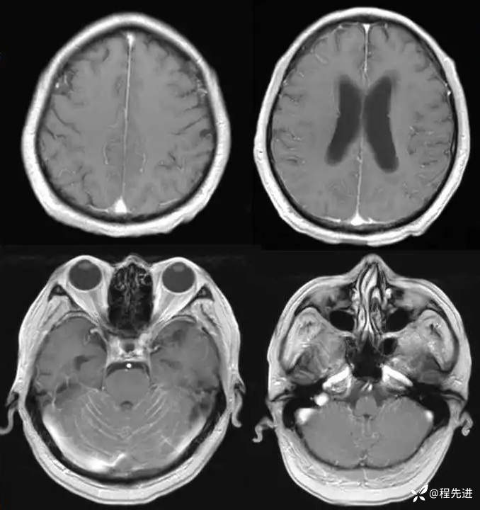
患者性别:男
患者年龄:64岁
主诉:全身乏力,手脚发麻半日。
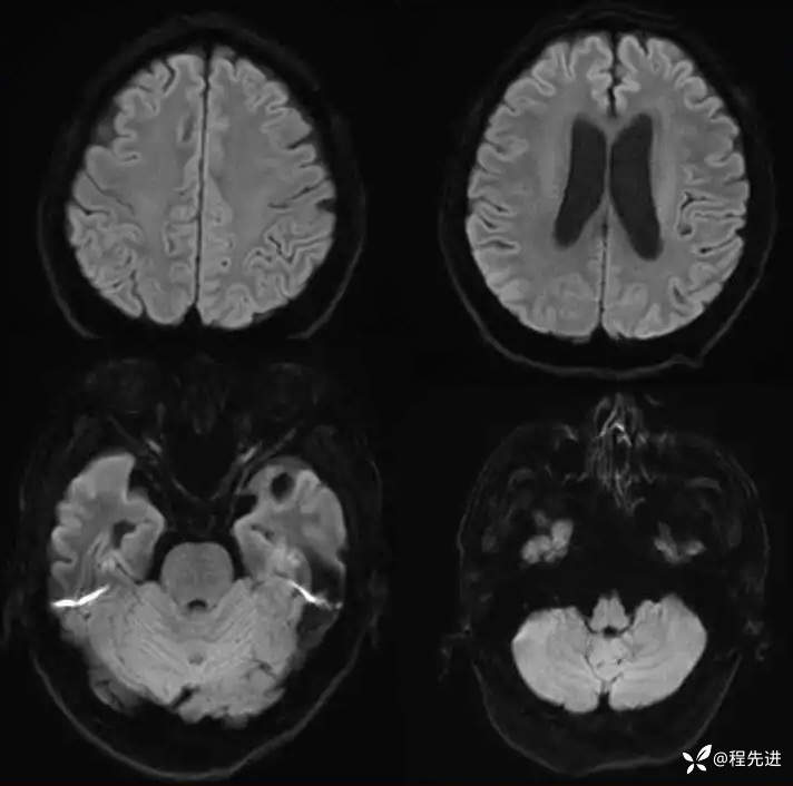
现病史:患者确诊肺腺癌1年余,化疗联合靶向治疗,门诊转来。
癌胚抗原:14.67 ng/mL
MR平扫+增强:






期待您的点赞支持!
期待您的精彩解读!
李梦杰huxi 等 3 位达人已点赞病例信息
患者性别:男
患者年龄:64岁
主诉:全身乏力,手脚发麻半日。
现病史:患者确诊肺腺癌1年余,化疗联合靶向治疗,门诊转来。
癌胚抗原:14.67 ng/mL
MR平扫+增强:






期待您的点赞支持!
期待您的精彩解读!
