神经影像征象|手风琴征/屈曲征/开环征/马蹄征/月牙征/不对称性 / 偏心性靶征
神经征象
手风琴征 / 屈曲征 (见于CT和MRI)


图像

FINDINGS: 轴位T2显示大脑前半球中线处肿块,周围环绕环形T2高信号。双侧额叶脑回侧移(箭头所指),和轻度血管源性水肿。
诊断
脑外肿瘤(脑膜瘤)
讨论
颅内肿块的正确定位对于准确的诊断和手术计划至关重要。脑内肿块扩大脑实质,并伴有周围血管性水肿。与脑内病变相比,脑外肿块移位并压迫邻近的大脑,伴脑回向内弯曲(“手风琴”或“屈曲”征),并且水肿较少。脑外肿瘤的其他有用表现包括“ CSF劈开”和“硬脑膜尾”征。脑膜瘤是最常见的脑外肿块,占所有脑肿瘤的15%。
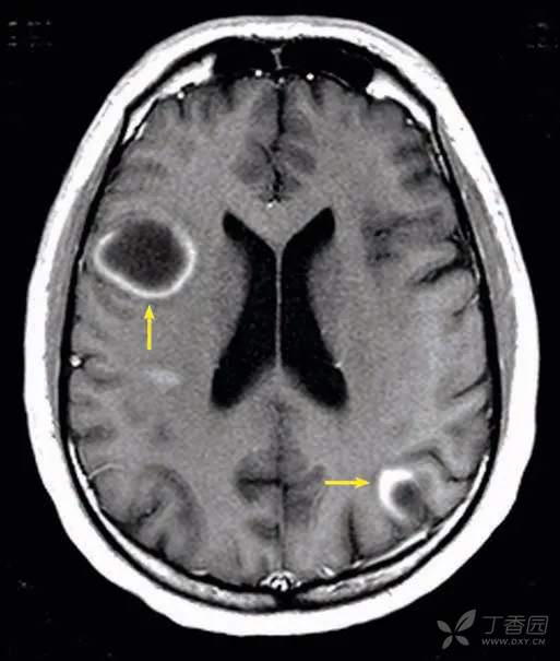
开环征 (见于CT MRI)

图像

表现
轴位MRT1增强图像显示多发强化病变,包括右额叶、左顶叶。这些曲线样强化,在边缘处中断。
鉴别诊断
• 脱髓鞘疾病
• 原发性肿瘤
• 淋巴瘤
讨论
大约一半的肿瘤性脱髓鞘病变表现出病理性增强。“不完整环”增强是一个相对特异性的征象,有助于鉴别急性脱髓鞘(尤其是多发性硬化症)与感染和肿瘤病因。增强部分代表脱髓鞘的活性(前沿)边缘,并向白质延伸。非增强部分代表脱髓鞘的无活性(尾部)边缘,指向灰质或基底神经节。也可出现中央不增强的核心,与神经胶质增生的慢性炎症有关。可出现血管源性水肿,尤其是在活动性疾病区域。脑环形强化病变的一般记忆符号为“ MAGIC DR L”:转移,脓肿,多形性胶质母细胞瘤,梗塞(亚急性),挫伤,脱髓鞘疾病,放射坏死和淋巴瘤。除脱髓鞘疾病外,在免疫功能低下的患者中,低级别的原发性肿瘤和淋巴瘤中偶尔会出现“不完整环”样增强。
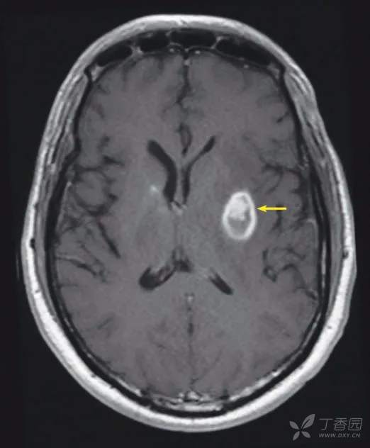
不对称性 / 偏心性靶征(见于 CT、MRI)

图像

表现
轴位对比增强的T1WI显示左基底节区见一环形强化病变,并有大的偏心性结节(箭头)。
鉴别诊断
•弓形虫病
•其他感染
•恶性肿瘤
讨论
弓形虫病是指刚体弓形虫的感染,通过接触作为主要宿主的受感染猫的粪便,或者通过食用受感染的生肉,如猪肉而发生。从猫的粪便中摄取的卵囊和从被污染的肉中摄取的组织囊在血液中转变成速殖子。这些优先停留在中枢神经系统和肌肉组织,在那里它们发育成囊性缓殖子。在孕妇中,速殖子也可以穿过胎盘屏障并引起新生儿感染。弓形虫病的脑部病变通常是多灶性的,环形强化,大的不规则结节,表现为炎症,出血和坏死的综合。在大脑皮层和脑灰质深处,结节常常是偏心位(“不对称靶”征),在病理学上,对应于有穿透性血管的坏死脓肿。深部实质病变可显示为更加同心的表现(“同心靶”征),这是弓形虫病的特征性表现,病理上与中央出血相对应。相反,细菌性脓肿典型地是不伴有结节的光滑的环形强化。脑囊虫病表现为小的钙化性“点状”病变,病理上对应于寄生的头节。原发性囊性肿瘤和转移瘤通常是更加不均质的表现。
注:文章内容为转载
















































